Surgical Exposure of Impacted Upper 2nd Molar? 

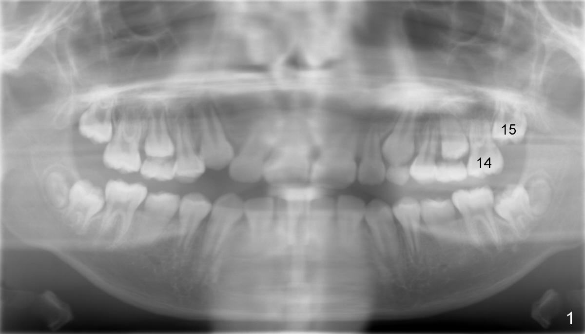
An eleven-year-old Chinese boy presented to my office for new patient exam in 2009.  Panoramic X-ray shows crowded dentition (Fig.1).  Orthodontic treatment was finished by a specialist in 2012.  Post-op X-ray shows that the tooth #15 (upper left 2nd molar) is impacted (Fig.2).  Fig.3 and 4 are magnification of Fig.1 and 2, respectively, demonstrating the change in the axis of #15 from 2009 to 2012 (red line).

Cone-beam CT confirms the impaction of #15 (Fig.5).  The palatal apex is closing.  The asterisk (*) is the tooth bud of #16 (3rd molar).

What is the treatment plan?

Hi Xin,
Incredible bad luck Xin. And my first choice would be to have the surgeon or your self luxate the tooth kindly,  in an effort to change the axial inclination. It seems to me when I have done this in the past it has been with lower second molars. I do not ever remember an upper second molar. Some type of material may be required to create distance between 14 and 15. The tooth generally survives the procedure and does not require RCT. However, that is the worst case scenario. I know of an example where the tooth did require RCT. Bears losing the tooth though. Now, your ace in the hole: If the third molar develops into a viable tooth, it can be substituted for the second molar. But currently, I am not willing to go that route because it looks very immature, and who knows what will become of it?
Tim Shaughnessy, DDS (orthodontist in Atlanta) 11/18/2012

Xin Wei, DDS, PhD, MS 1st edition 11/17/2012, last revision 11/18/2012