![]() |
||
![]() |
![]() |
![]() |
![]() |
![]() |
![]() |
![]() |
![]() |
![]() |
![]() |
|
![]() |
![]() |
![]() |
![]() |
![]() |
![]() |
![]() |
Implant-Assisted Limited Ortho
Sometimes, limited ortho is needed before implant restoration. In fact implants and crowns can be used as an anchorage and/or to open bite, as will be described below.
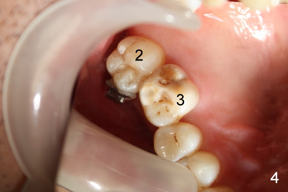
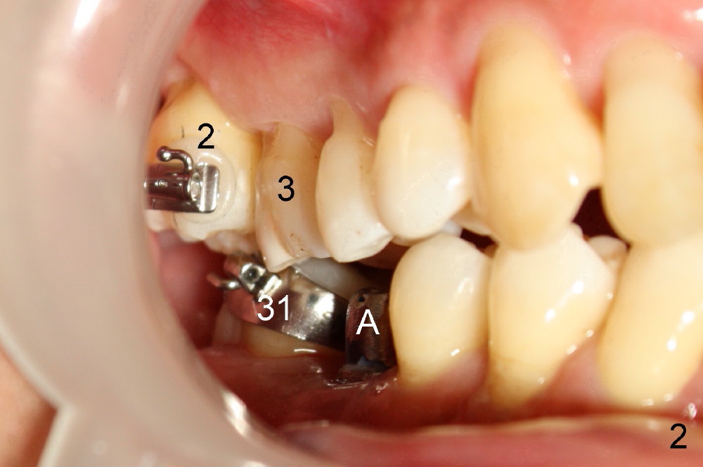
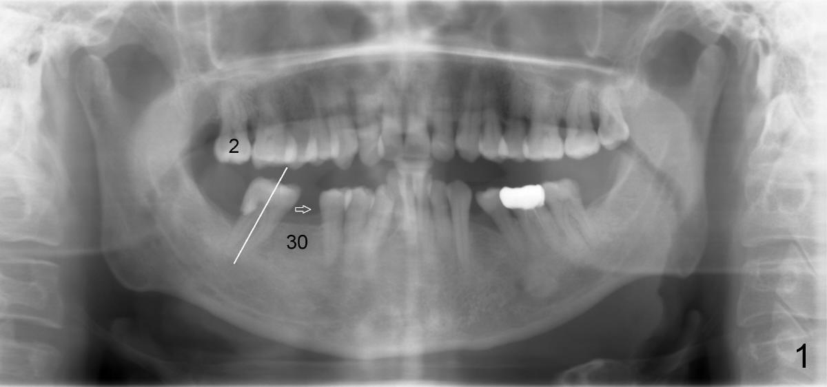
A 50-year-old man has lost the lower right 1st molar for several years (Fig.1: 30). The 2nd molar has shifted (arrow) and inclined (white line) mesially. It does not appear to occlude with the tooth #2 in this panoramic X-ray. It is planned to place an implant at the site of #30 and after osteointegration to use it as an anchorage to upright and distalize the tooth #31. Four and a half months after placement of a Tatum tapered implant (6x17 mm), a 5 mm 10 degree unipost ((short) abutment) is placed and prepared for temporary crown (Fig.2: A). Severe cross bite (overjet) is noted between the teeth #2 and 31. It is due to combination of the lingual inclination of the tooth #31 (Fig.3 (mirror view) arrow) and the buccal displacement of the tooth #2 (Fig.4 mirror image).
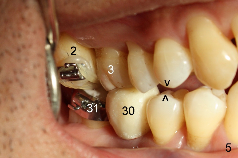
A molar band is placed for #31 and a bracket for #2 (Fig.5). A temporary crown (#30) is cemented with an intention to raise the occlusion. Notice the space between upper and lower premolars (between 2 arrowheads). There is also a space between #2 and 31. One to three elastic bands are placed between the buccal hook of #2 and the lingual cleat of #31 (Fig.5,6). One months passes without correction of the molar cross bite. More bands and brackets are placed in the upper and lower right posterior sextants (Fig.6). With combination action of elastics and segmental wires, the inclination of the tooth #31 is not only corrected buccolingually (blue arrow), but also mesiodistally (black arrow, uprighting). The implant crown is mainly used as an occlusal stop; because of constant wear, composite is being added (*) to its occlusal surface of the temporary crown to keep posterior occlusion open (let #2 and 31 move freely). In this case the implant is in fact not used as a pure anchorage to distalize #31 due to difficulty in placing an open coil spring between #30 and 31 tubes. The alignment of the upper right sextant improves under the tension (bending) of the wire (Fig.7 white arrowhead). The tooth #2 is being moved lingually. In fact, elastics are also placed between #3 lingual cleat (yellow arrowhead) and #30 buccal hook to improve #3 buccolingual position and/or inclination (compare Fig.4 and 7).
In 7 months, the right molar occlusion changes to Class I with normal overjet (Fig.8 mirror view). Class I posterior occlusion correction is evidenced by a gap between the teeth #30 and 31 (Fig.9 arrowheads) due to elastic retraction. There is no tension (bending) of wire between the teeth #2 and 3 in the final stage (Fig.10 arrowhead, as compared to Fig.7). A porcelain crown is subsequently cemented to the implant/abutment complex with occlusal equilibrium (Fig.11(mirror image) C). The remaining brackets and band are removed. Power chains in Fig.11 (arrowhead) were used to correct the rotation of the tooth #2 (Fig.10, bracket in the tooth was not well placed).
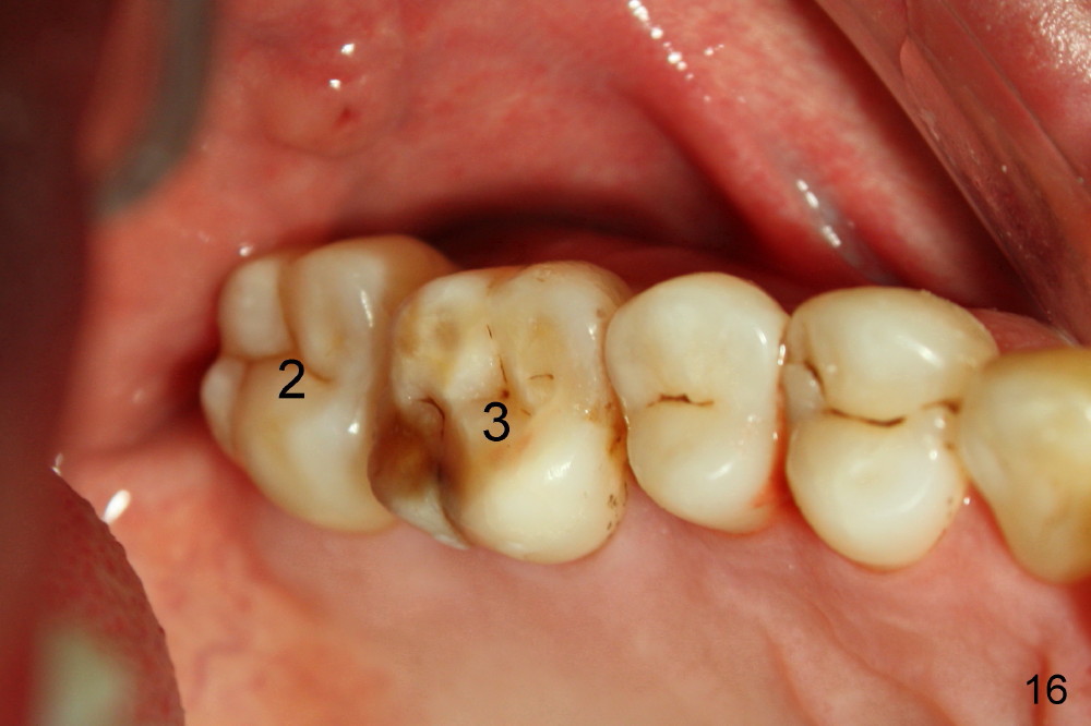
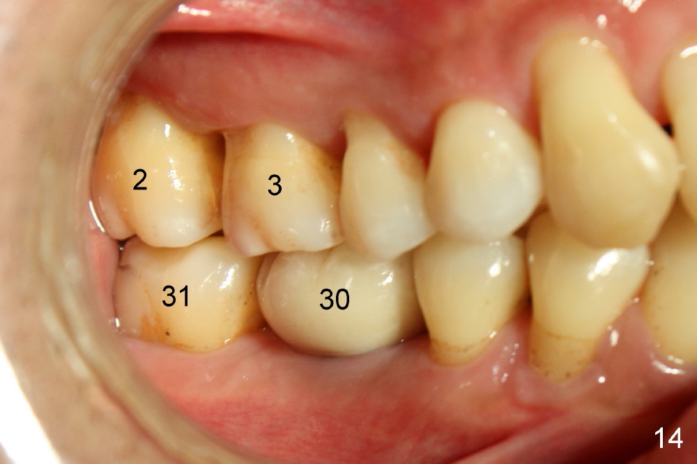
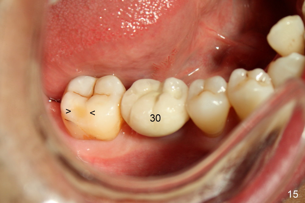
Fig.12-16 are taken 9 months after the orthodontic treatment. The lamina dura appears to form mesial and distal to the implant at the site of #30 (white arrowheads). There is no gross bone resorption associated with orthodontically moved teeth (Fig.12,13: #2,3,31). The posterior overjet remains normal (Fig.14). The arrowheads in Fig.15 indicate a worn facet, which was caused by the previous abnormal overjet (Fig.2). The alignment of the upper right quadrant also remains normal. The patient wears suction down retainers. He is pleased with improvement of mastication.
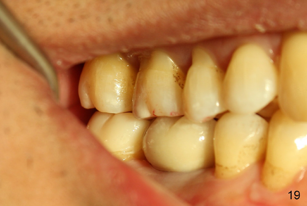
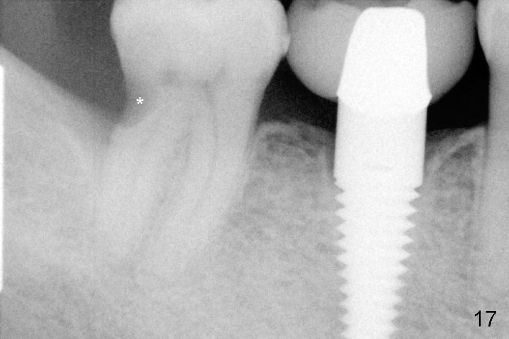
While the bone continues growing around the implant 1.5 years postop (Fig.17, as compared to Fig.12), the tooth #31 loses composite distally (*). A Zirconia onlay is cemented 1 year 10 months post implantation (Fig.18 arrowheads); the posterior interdigitation remains normal (Fig.19).
Return to Professionals, Fellowship Candidate Case Documentation Form, Implant & Ortho 2
Xin Wei, DDS, PhD, MS 1st edition 12/23/2012, last revision 01/19/2018