![]() |
![]() |
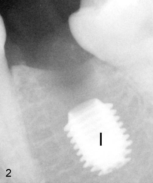
A 6x8 mm Bicon implant (3 mm post) was placed as distal as possible (I in Fig.2). Three months later, the implant was uncovered with evidence of osteointegration (arrowheads in Fig.3). A 4x6.5 mm 0 degree non-shouldered abutment with 3 mm post (A) was inserted into the implant well. The flat surface of the abutment needed to face distal in order to seat the abutment without interference. Return to main article
Xin Wei, DDS, PhD, MS 1st edition 05/02/2011, last revision 05/02/2011