| Pre-op (bracketing 1/19/13) | Intra-op 1: 7/3/13 | Intraop 2: between 7/31/13-11/2/13 | ||||
![]() |
|
|||||
![]() |
![]() |
![]() |
![]() |
|||
![]() |
![]() |
|
||||
![]() |
![]() |
|
||||
![]() |
![]() |
![]() |
||||
![]() |
![]() |
|
||||
![]() |
![]() |
|
||||
![]() |
![]() |
|
||||
![]() |
![]() |
|
||||
What to do next?
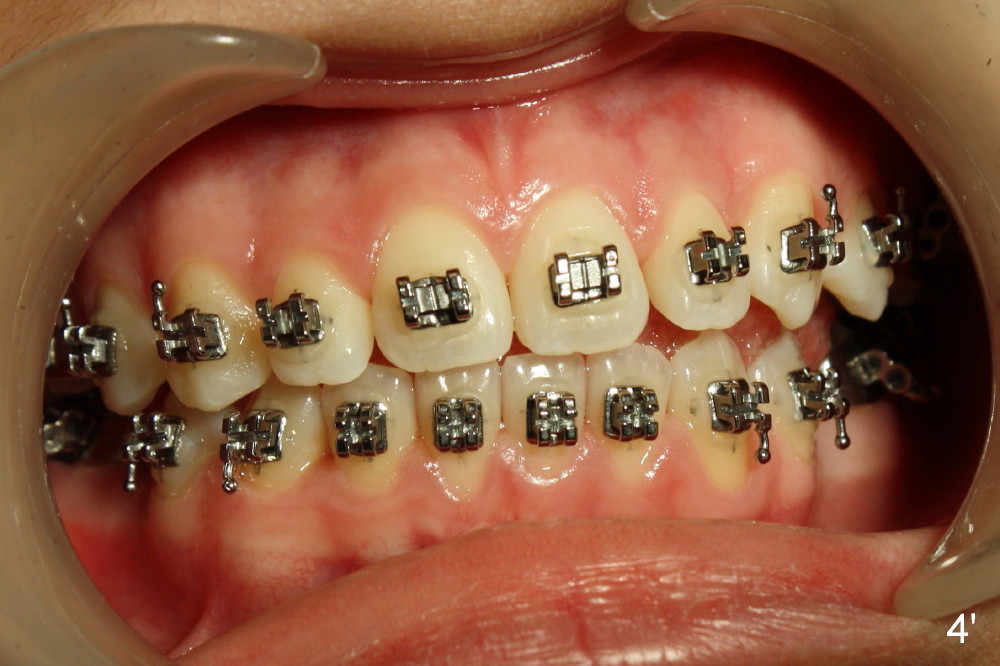
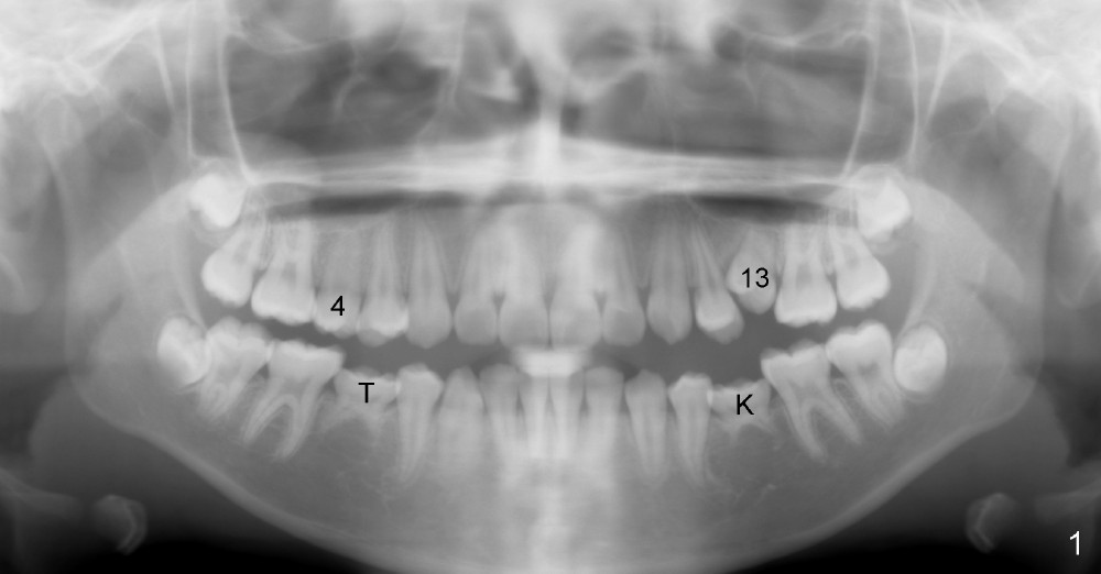
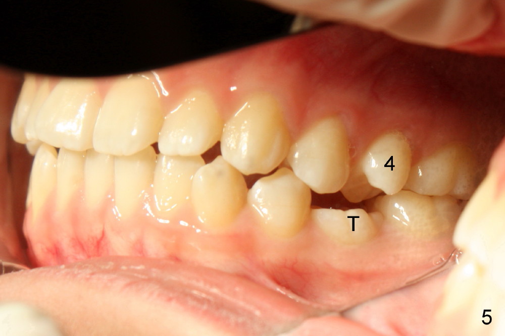
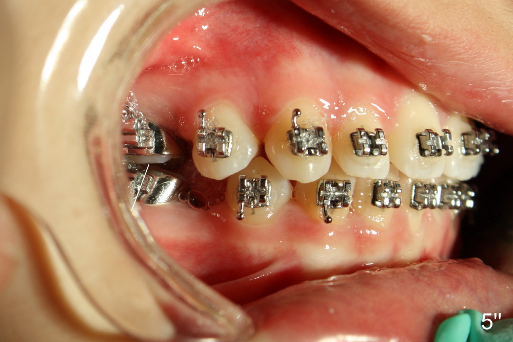
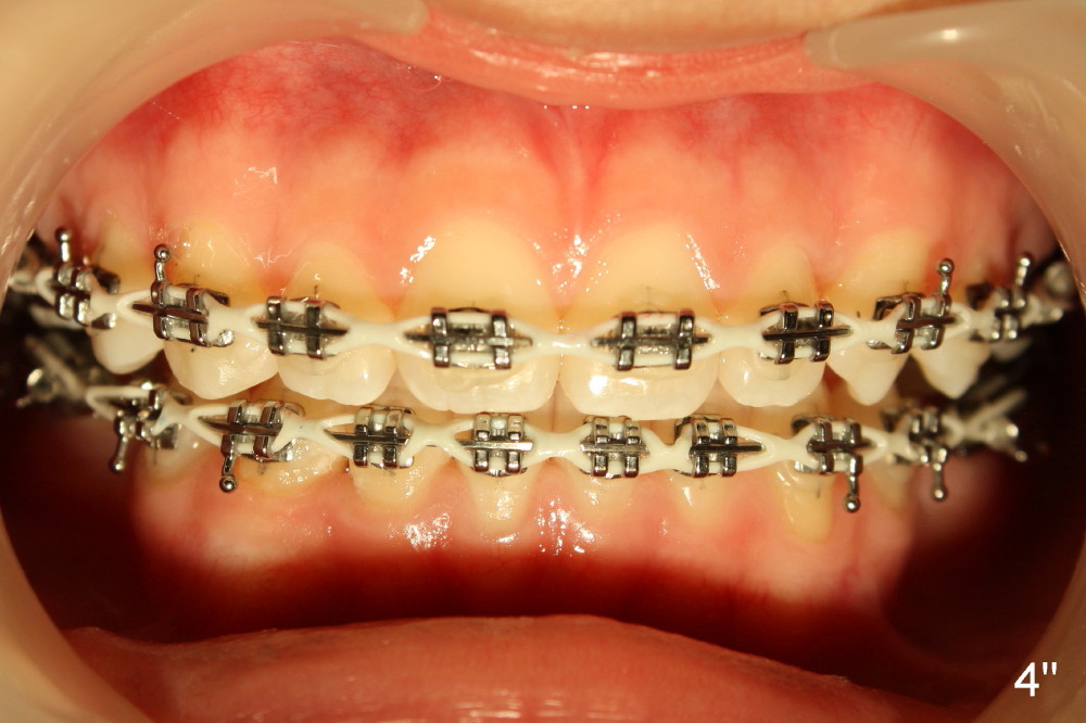
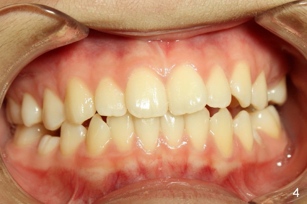
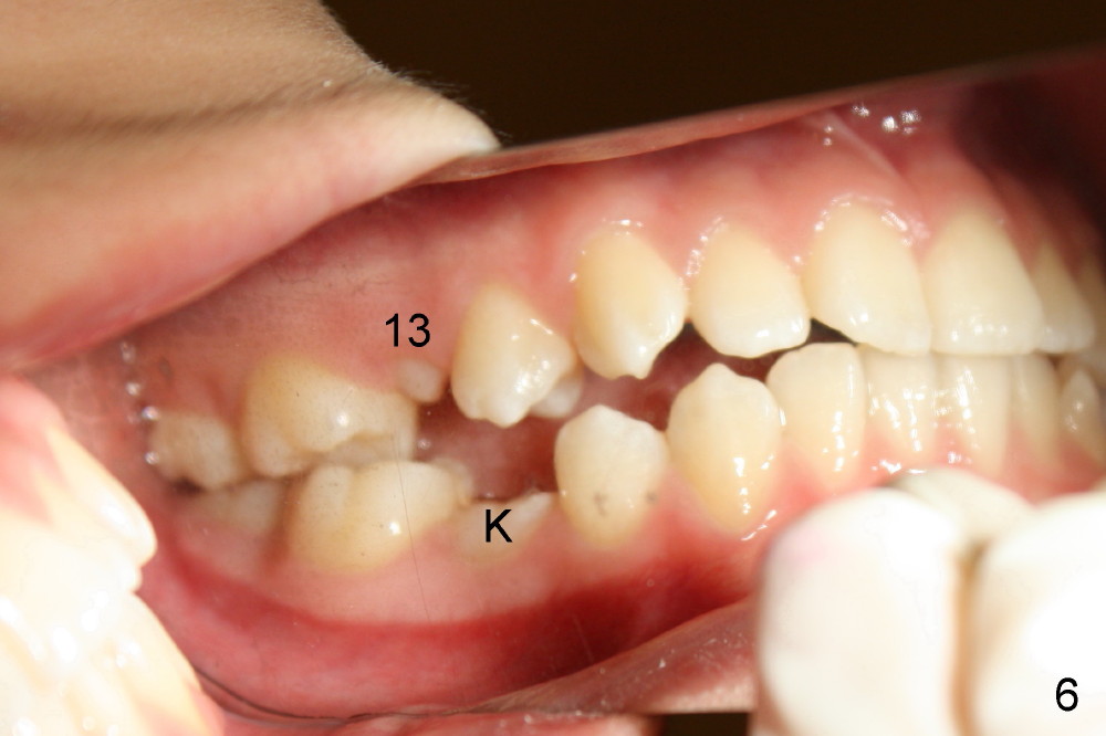
A 13-year-old Asian girl seeks orthodontic treatment for crowding. The lower 2nd bicuspids are congenitally missing (Fig.1,8), whereas the upper right one rotates 180° and the upper left is partially impacted (Fig. 1, 7). The lip muscles strain when the lips close (Fig.3). Orthodontic treatment started with extraction of four affected teeth (#4,13, K and T) 6 months ago. .018' niti wires are being used. Dental midlines do not coincide preop and intraop (Fig.4,4'). Pre-op front view shows that the upper dental midline coincides with the facial one (Fig.1'). There is Class I canine and molar relationship on the right (Fig.5,5',9,9'); open bite on the left (Fig.6,6',10,10').
Next steps: 1. Use elastics to close open bite on the left and to upright #31 (linguoversion, probably #18 to lesser degree) (Fig.8,8',9,9'); 2. Shift the lower midline to the left before closing 2nd bicuspid spaces. What is the best way to close spaces? Power chains for both arches or closed coil springs for upper and loop for lower (which is used for Tiffany Yue)? Since intraop profile is acceptable (Fig.2',3', as compared to Fig.2,3 (preop)), molars will be mesialized.
I think you are .022 bracket slot size Xin. This is the larger slot size than than the one I use (.018). .022 is ideal for sliding mechanics and you could use power chain, even in both arches. Be prepared to supplement with Class II elastics in order to maintain Class I molar occlusion!
tim shaughnessy Sunday, July 21, 2013 10:21 PM
What should we do when the left posterior open bite is corrected and power chains are placed both in upper and lower arch to close spaces late July?
When the patient returns in mid or late August, the upper spaces are expected to be closed, while there should be space between lower 1st premolar and 1st molar. The left molar relationship should be Class II, while that on the right more or less Class I. We will advice the patient to wear two elastics on the left and one on the right. Also check dental midlines.
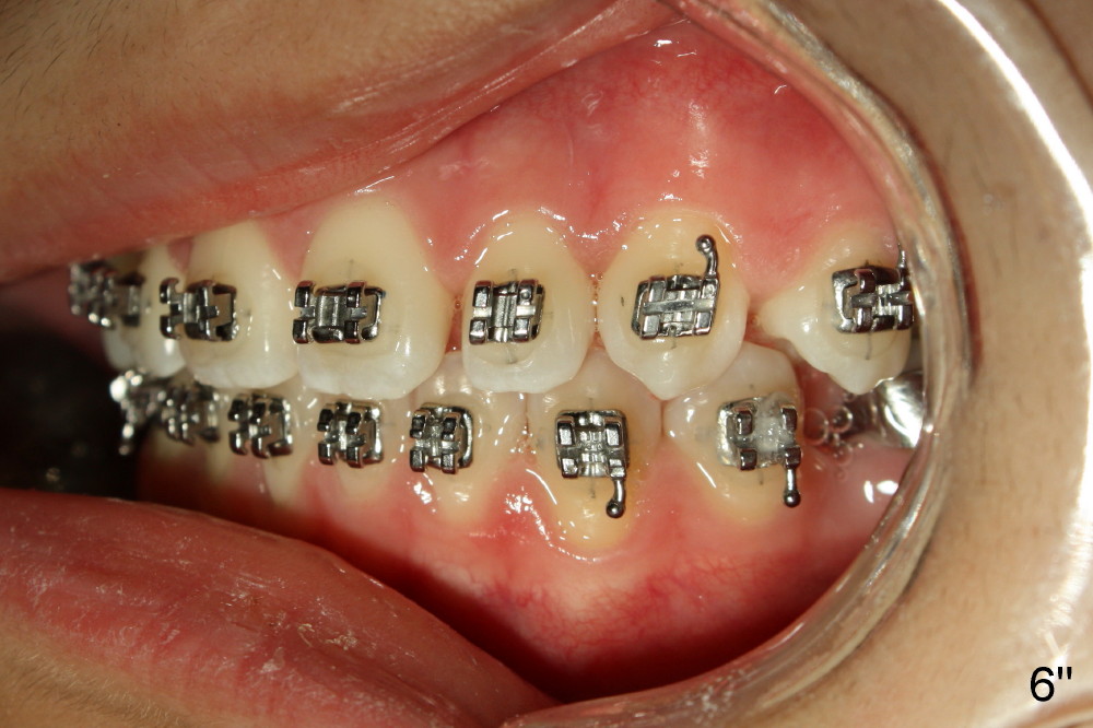
Update: The left open bite was closed less than one month by wearing elastics between upper and lower teeth (Fig. 6'''). The occlusal plane and midline improve (Fig.4''). Wires have gradually changed to .016x.016, .016x.022 and now .018x.025 with power chains. All the spaces are closed except the one in LR (Fig.7''-10''). What I cannot accomplish is to fix meisal (Fig.5'' (white line), 9'') and lingual (Fig.8'' arrows) inclination of LR molars, although elastic is instructed to be placed between UR7 buccal and LR7 lingual. The rectangular wires could be twisted to fix lingual inclination. Which should be done first: LR space or LR molar inclination? Click each figure for magnification.
Xin Wei, DDS, PhD, MS 1st edition 07/11/2013, last revision 11/03/2013