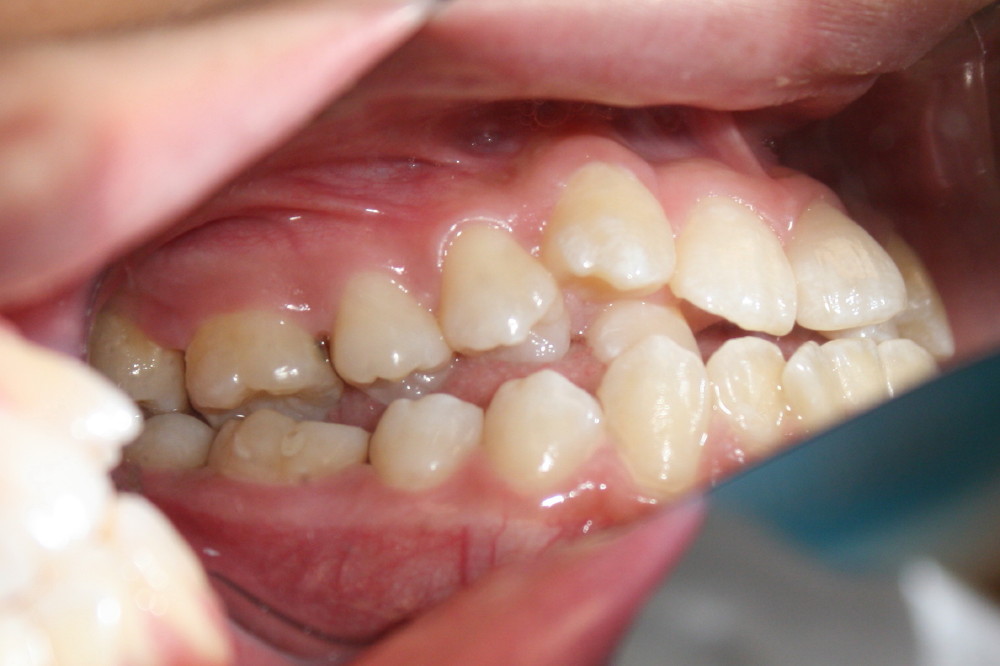
Fig.1  Fig.2  Fig.3 Fig.4
     
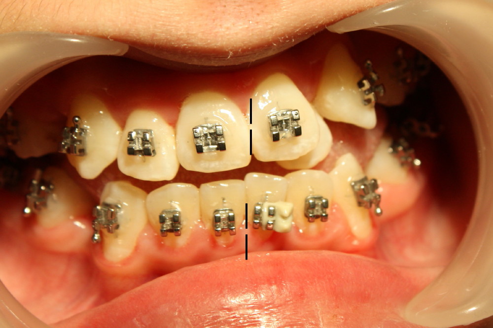
Fig.5  Fig.6 Right Mirror View  Fig.7 Left Mirror View  
   
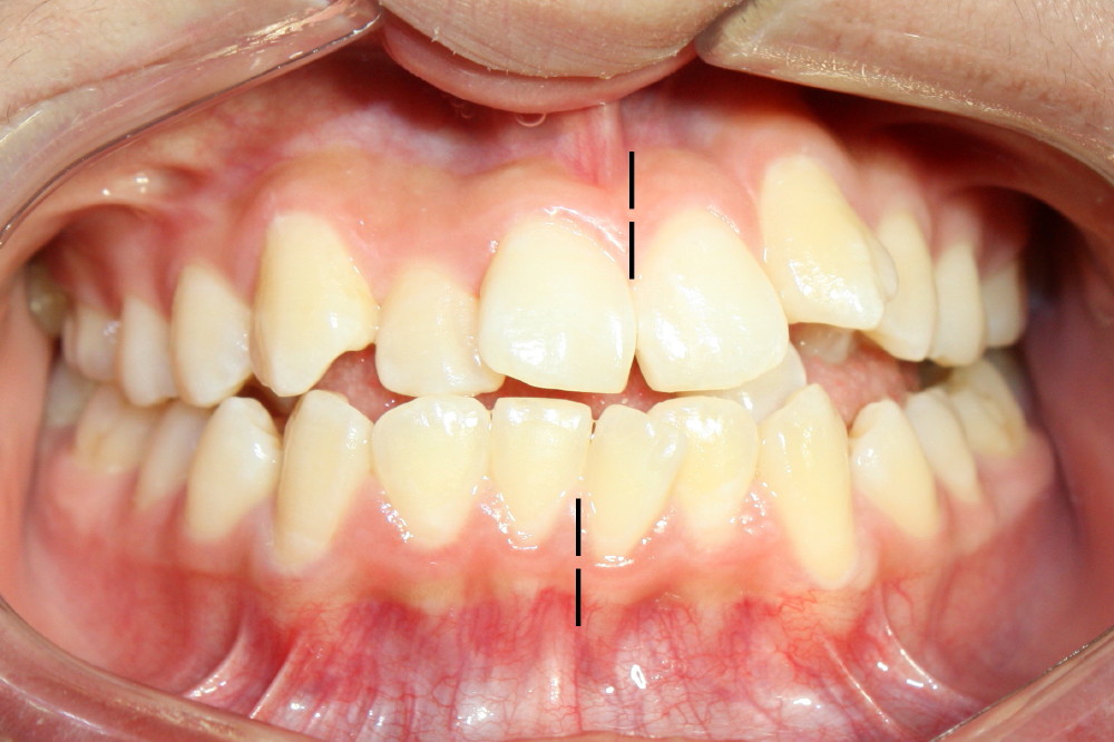
Fig.8  Fig.9 Fig.10

Open Bite

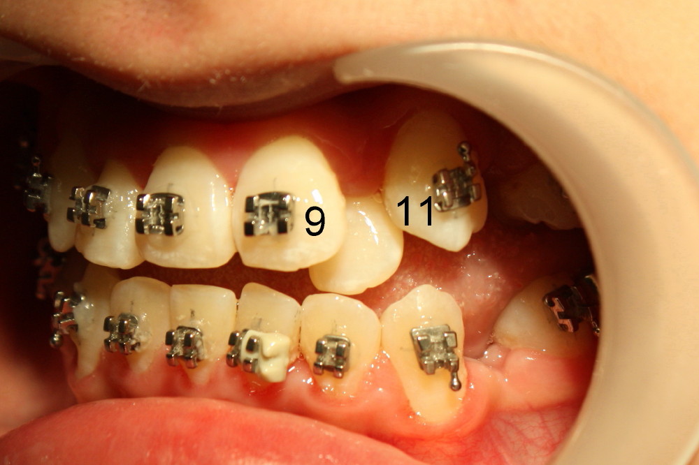
Sixteen-year-old (Fig.1,2,3) has severe crowding (Fig.4), with block out of #10 (Fig.5). He requests ortho and agrees extraction of 4 of the first bicuspids.  Prior to banding, bracketing and extraction in the same visit, open bite was noticed in the anterior and left posterior regions (Fig.5,6,7; possible surgery was discussed.  The open bite appears to get worse as ortho progresses (Fig.8 (2 months after treatment) and Fig.9,10 (4 months).  While gaining space for #10 (Fig.8-10) and moving the upper midline to the right (Fig.2), what can we do to alleviate the open bite?  Placing mini-implants to intrude 6s, and 7s, particularly upper or those in the anterior to extrude #11 for example?

He looks good clinically, i.e., does not have a long skinny face. I would align the teeth completely and even initiate space closure. Only then, perhaps consider TADs in the upper molar area for intrusion/bite closure as needed.
So, do not worry too much right now. I agree with the decision to extract premolars as the only possible way to resolve crowding and have any chance to produce positive overbite. Timothy Shaughnessy, DDS Thursday, January 17, 2013 10:10 AM

Xin Wei, DDS, PhD, MS 1st edition 01/05/2013, last revision 01/17/2013