![]() |
![]() |
|
![]() |
![]() |
![]() |
![]() |
|
|
Ortho-Perio Treatment?
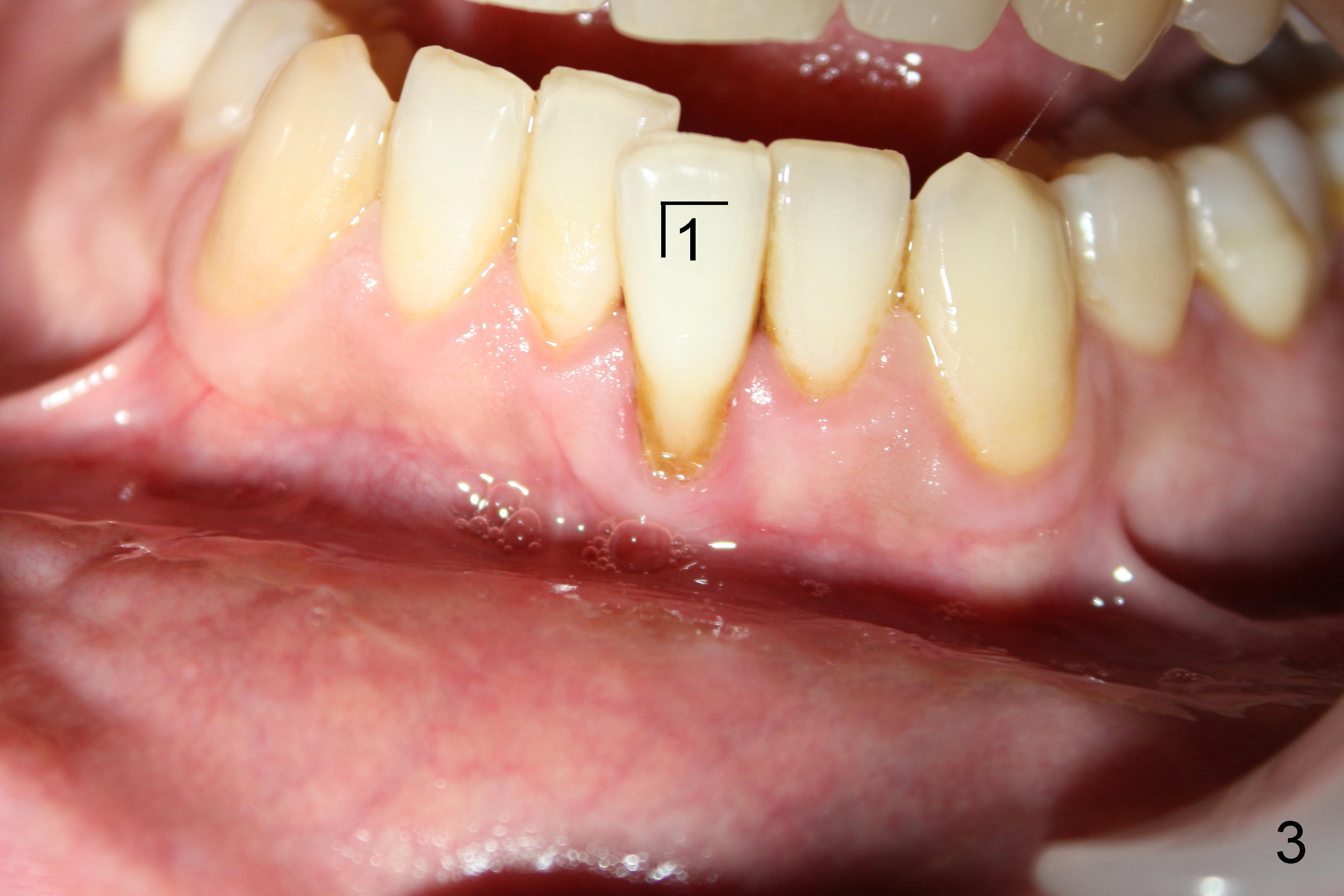
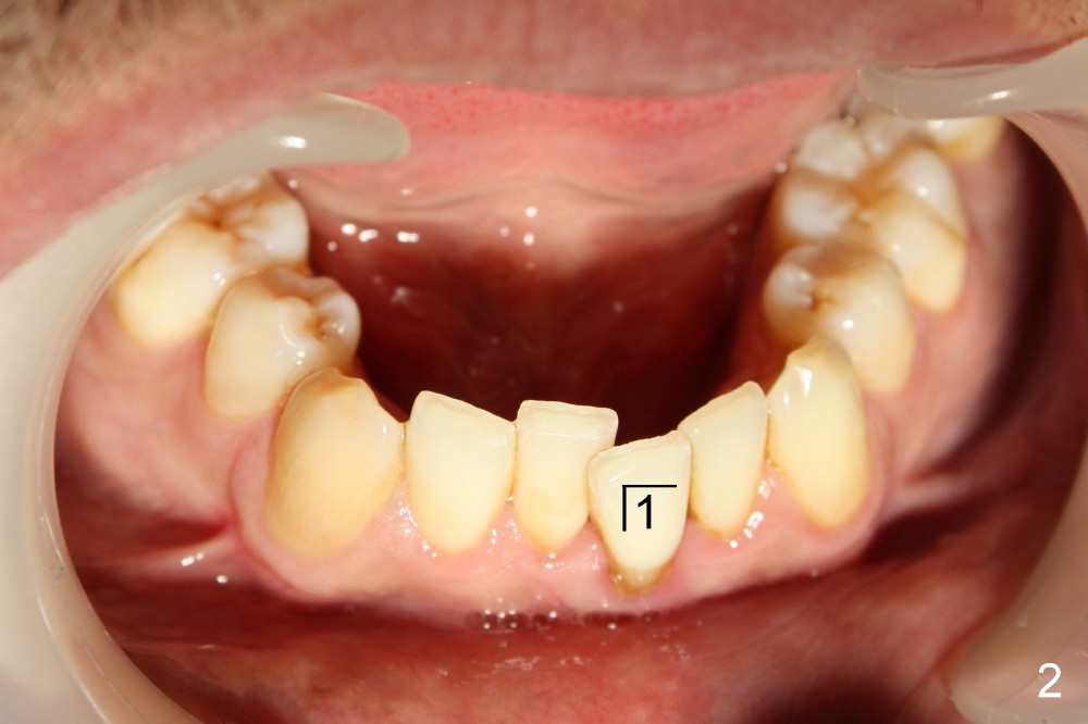
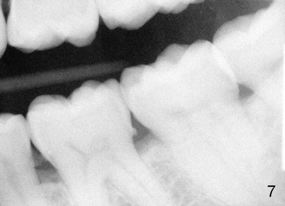
Forty-year-old man had ortho with extraction in his teens (Fig.1,2: B: bicuspid). Without wearing retainers, relapse occurs, particularly in the lower anterior. The lower left central incisor shifts labially with gingival recession (Fig.2,3). The attached gingiva is narrow for this incisor as compared to that of the neighboring tooth (Fig.4 between arrowheads). Although there is abundance of calculus, bone loss is mild to moderate (Fig.5-7). Scaling and root planing was finished today with schedule of perio maintenance every 3 months.
Both arches are narrow (Fig.1,2). Will be there space to move the lower left central lingually? Once the tooth is in normal position, gingival graft is performed to correct recession.
Return to Professionals
Xin Wei, DDS, PhD, MS 1st edition 02/14/2013, last revision 02/14/2013