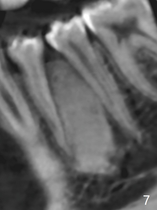
Sagittal (Fig.7) section.  It seems that the lesion does not invade the periodontium.

Radiopaque     Last     Next

Xin Wei, DDS, PhD, MS 1st edition 01/30/2020, last revision 02/01/2020