![]() |
![]() |
![]() |
![]() |
![]() |
![]() |
![]() |
![]() ![]() |
![]() |
![]() |
![]() |
![]() |
![]() |
Series Extraction for Severe Crowding
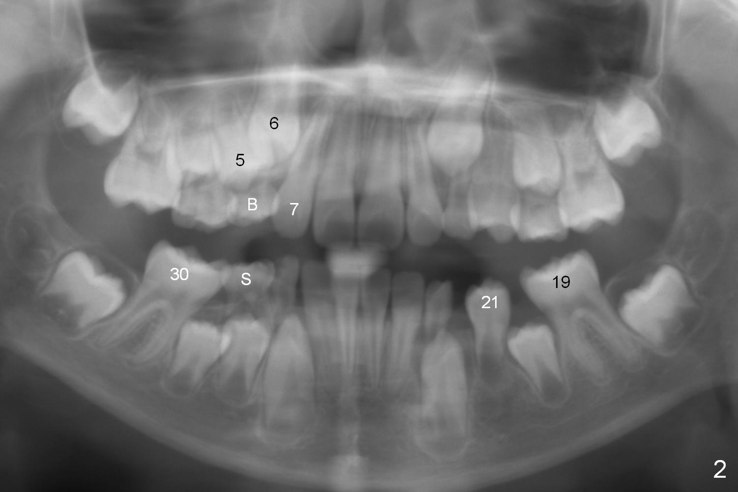
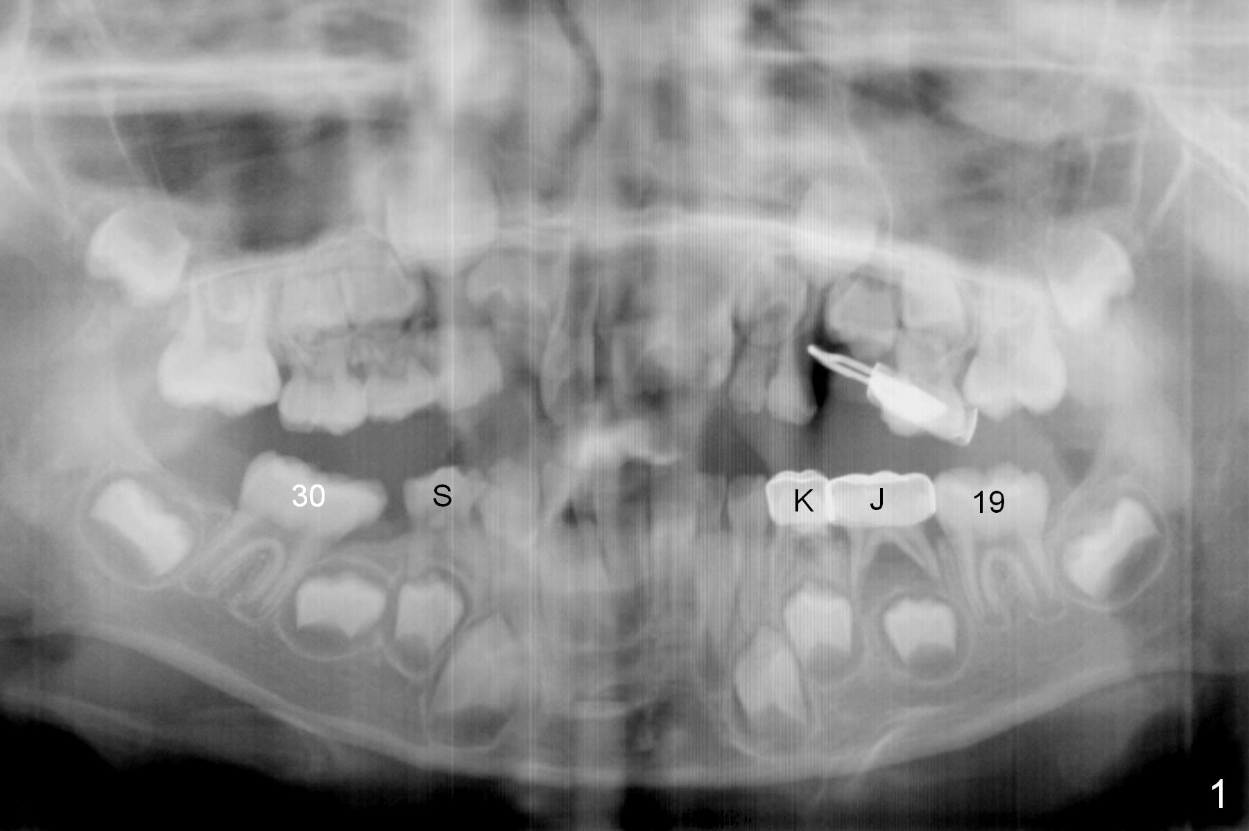
At age of 6 years 1 month, Linwei (boy) has crowding problem, especially in the lower right quadrant (Fig.1). At 9, the crowding also involves the upper right and lower left quadrants (Fig.2). A bilateral space regainer is placed for the lower arch a month later.
In 3 months, space has gained at J and T. Due to mobility of S, the space regainer is removed; a space maintenance is placed J (Fig.3 (9 years 4 months old)). The tooth #22 is erupting.
For upper and lower right crowding, series extraction is planned. First the tooth B is extracted. Within 1.5 months, the tooth #5 is erupting (Fig.4 (9 years 4 months old)). It will be extracted once it is fully erupted.
One month later, the tooth #5 erupts more (Fig.5,6) and is extracted (Fig.8-10). The tooth S is to be extracted to make room for #27 and 28 eruption (Fig.7).
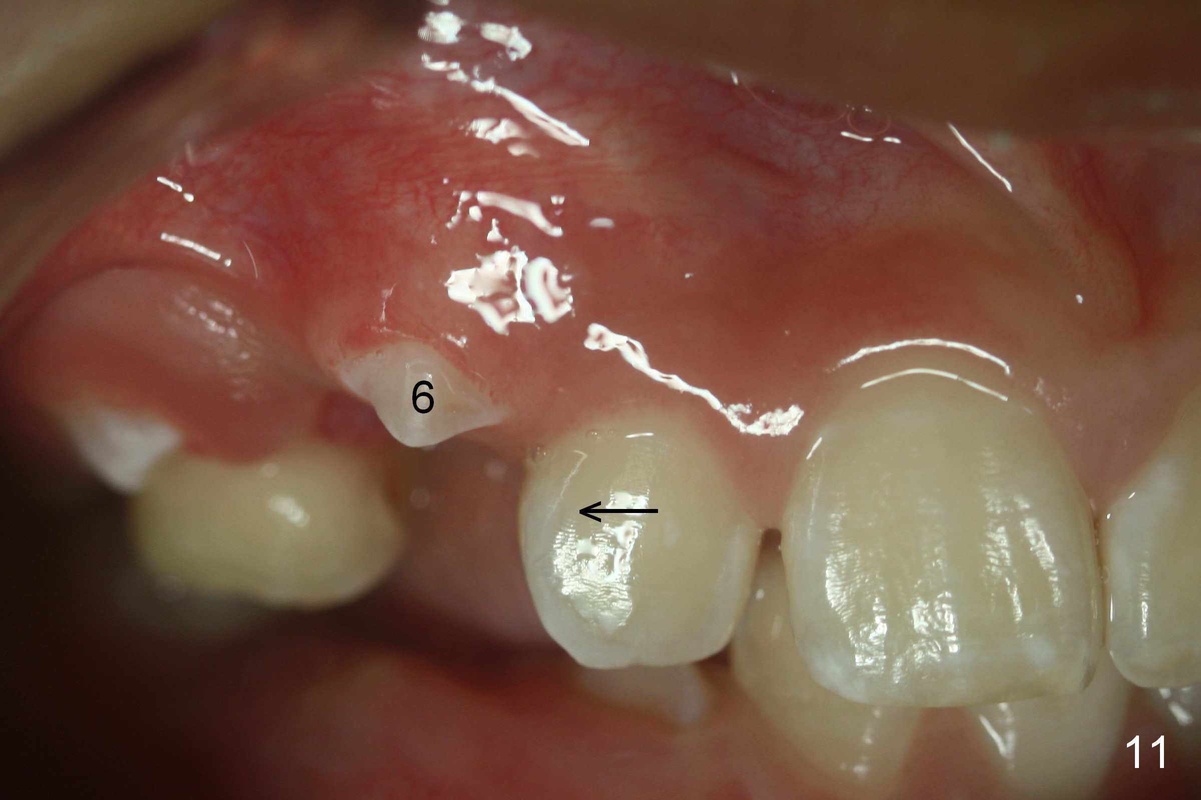
Another 1 month, the teeth #4 and 6 are erupting (Fig.11,12). The tooth A is to be extracted. It is assumed that the diastema between #7 and 8 (due to #7 mesial shift in turn due to #6 erupting, Fig.11 arrow (as compared to Fig.6 <)) will be closed once the tooth #6 erupts fully.
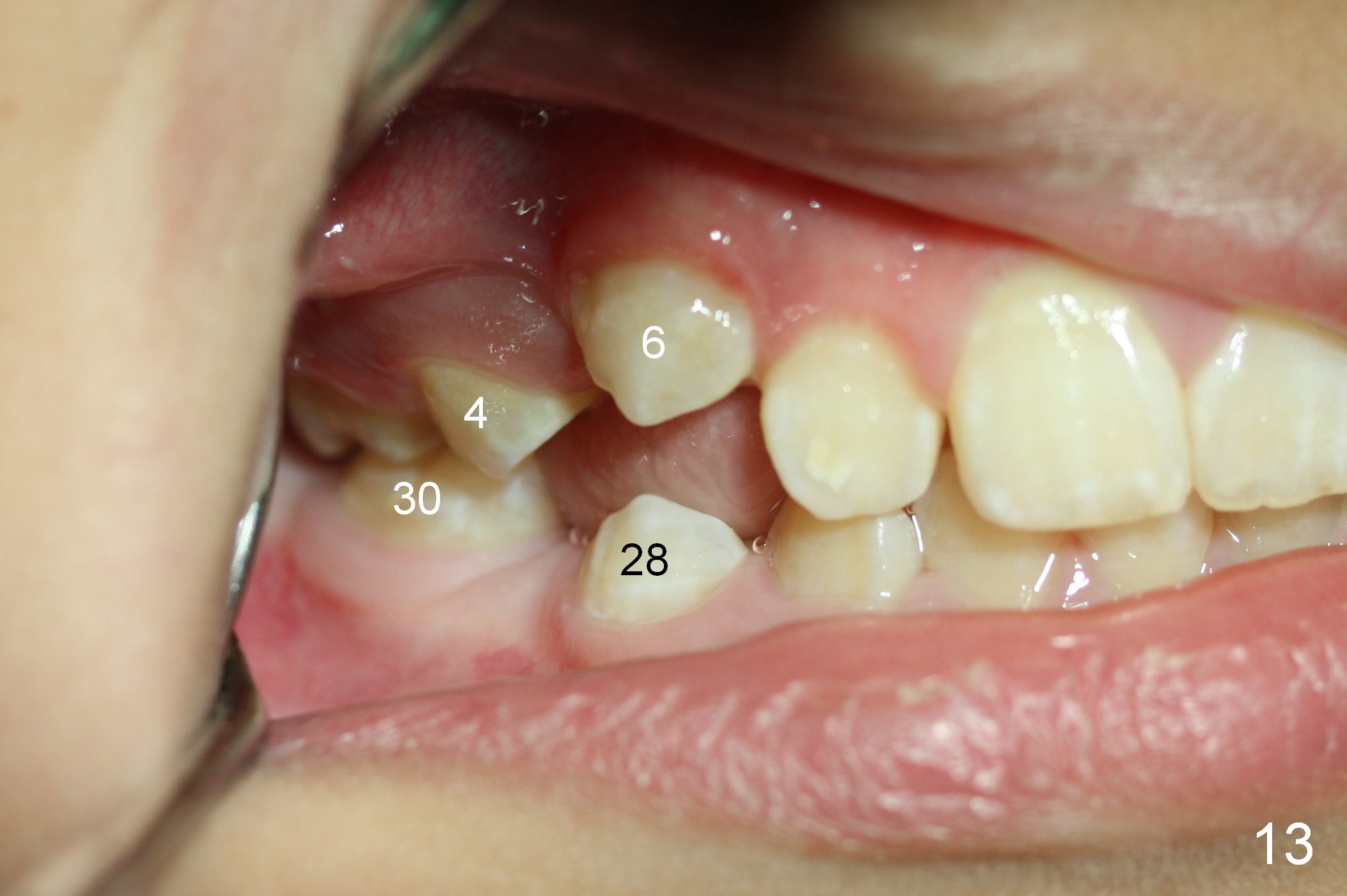
Two months later (9 years 8 months old), the teeth #4 and 6 are partially erupted (Fig.13), while the tooth #29 needs surgical extraction. The tooth #20 is erupting; the spacer is going to be removed (Fig.14).
Return to Professionals,
Ortho
Cases
Xin Wei, DDS, PhD, MS 1st edition 05/17/2016, last revision 09/18/2016