![]() |
![]() |
![]() |
![]() |
![]() |
![]() |
![]() |
![]() |
![]() |
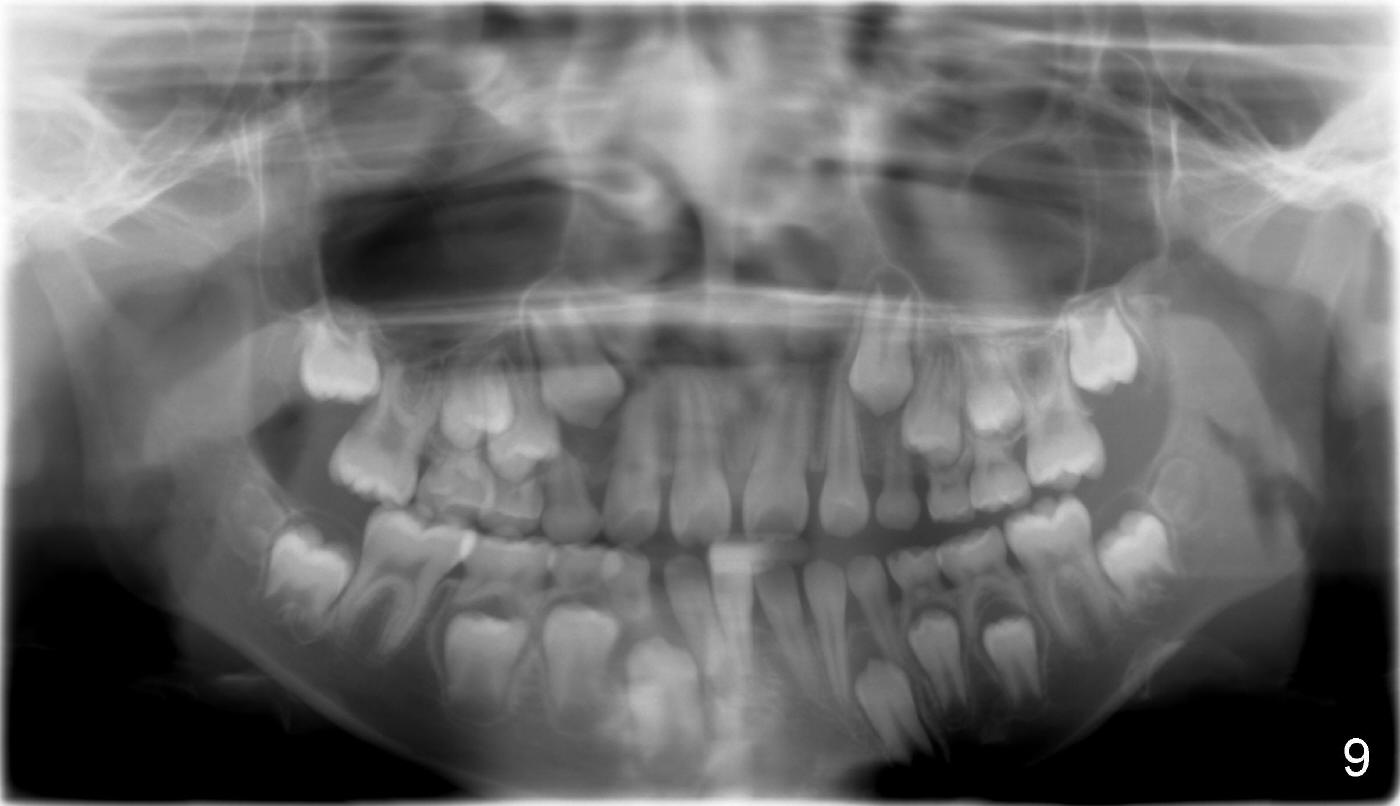
Unilateral Condylar Hyperplasia
A 10 year 5 month old Chinese boy has no history of trauma. His mother reports that he sleeps on the right side of the mandible. He always rests his right mandible on the table when he is reading.
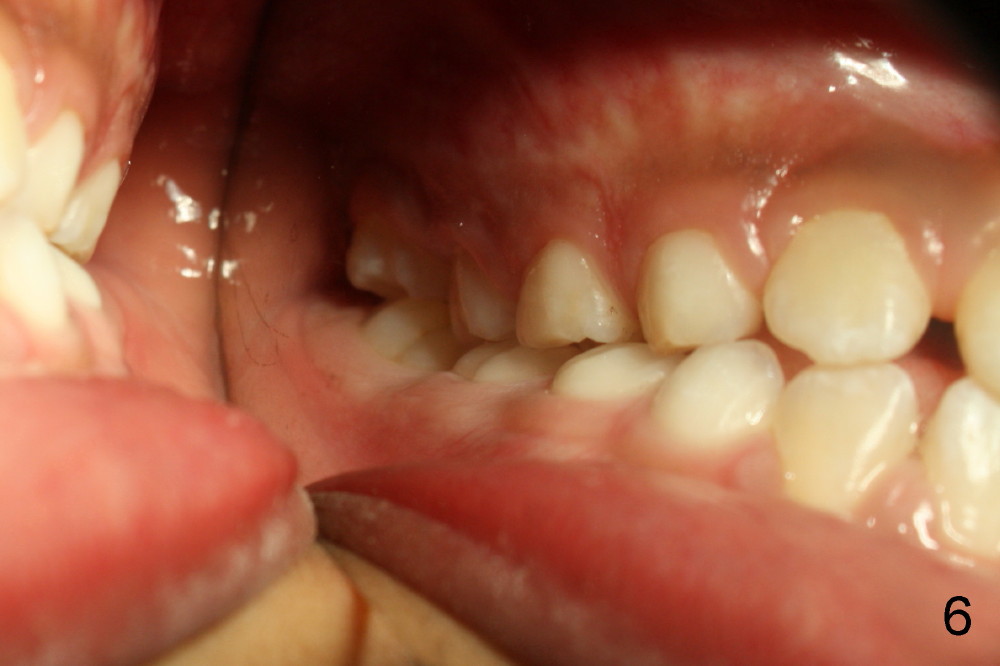
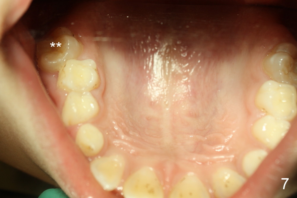
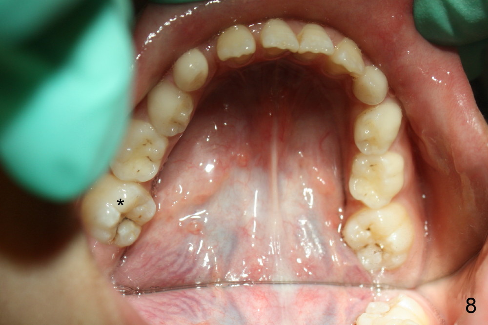
It appears that the chin deviates to the left (Fig.1). The lower dental midline also deviates (Fig.2,4). Profile shows possible bimaxillary protrusion (Fig.3). There is cross bite (deep overjet?) on the right side of the first permanent molars (Fig.5 mirror image), whereas the left posteriors apparently present edge-to-edge occlusion (Fig.6). Fig.7,8 are mirror views of the upper and lower arches, respectively. Panoramic X-ray demonstrates elongation of the right condyle (Fig.9). The right ramus appears to be longer than the left.
Xin Wei, DDS, PhD, MS 1st edition 10/18/2013, last revision 10/18/2013