![]() |
|||
![]() |
![]() |
![]() |
![]() |
Use Mini-implant for Uprighting and Body Movement
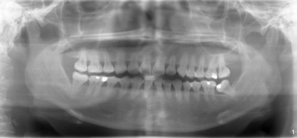
Thirty-four-year-old lady has history of ortho, but the tooth #18 tilts mesially, causing caries and food impaction between #18 and 19 (Fig.1). Chronic periodontitis is under control.
Treatment plan is to place a mini-implant between #19 and 20 (white circle in Fig.2) to upright #18 (pink outline in Fig.3), and then place single-tube brackets/band on #19-21 and double-tube bracket/band on #18 (Fig.4). A rigid rectangular wire (blue) is inserted into the lower tube of #18. The lower end of this wire is at the same level of the mini-implant. Under tension using a closed coil spring or power chain (yellow), the tooth should undergo body movement mesially (Fig.5).
Xin Wei, DDS, PhD, MS 1st edition 02/25/2012, last revision 02/26/2012