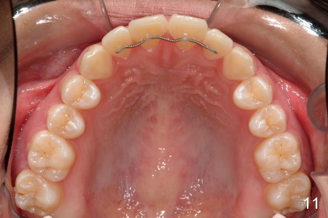
Why do the upper incisors need a lingual retainer?

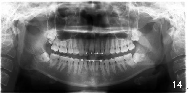
Dr. Shaughnessy: Congratulation.  There is a supernumerary tooth coronal to #1.  Why do the upper incisors need a lingual retainer?

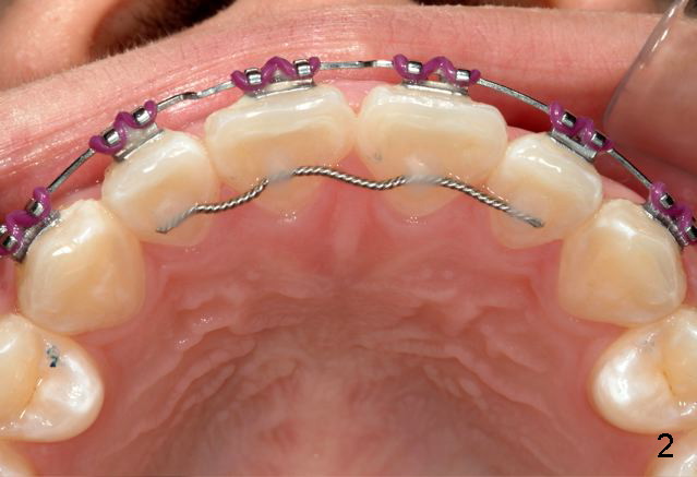
Answer: I was afraid tooth #8 would try to rotate (Fig.).  I do not like U bonded retainers as much as lower but I thought maybe in this case due to #8 initial position.  I have provided 2 removable retainers to fit over for insurance!

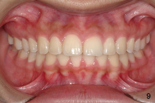
Excellent thinking.  According to the final photos, you must have done something to overcorrect the rotation of the two centrals.  Did you do it with purpose or by accident?  How did you do it, although Amy may not like it.  It seems to me that there is no practical way to overcorrect rotation.
By the way, her parents like the result so much that they even feel that their future grandchildren will not have crowding like them.  Good copy from Amy, not bad copy from them.  Anyway, good result and you will get more cases if you can practice forever.  I am afraid that you should be able to, at least having gut/will to do so.

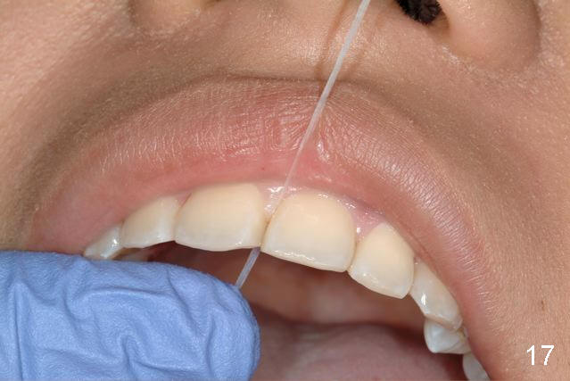
Amy can floss with her retainer...

Return to Professionals

Xin Wei, DDS, PhD, MS 1st edition 08/01/2014, last revision 08/02/2014