![]() |
![]() |
![]() |
![]() |
![]() |
6近中面龋齿什么时候补最好?
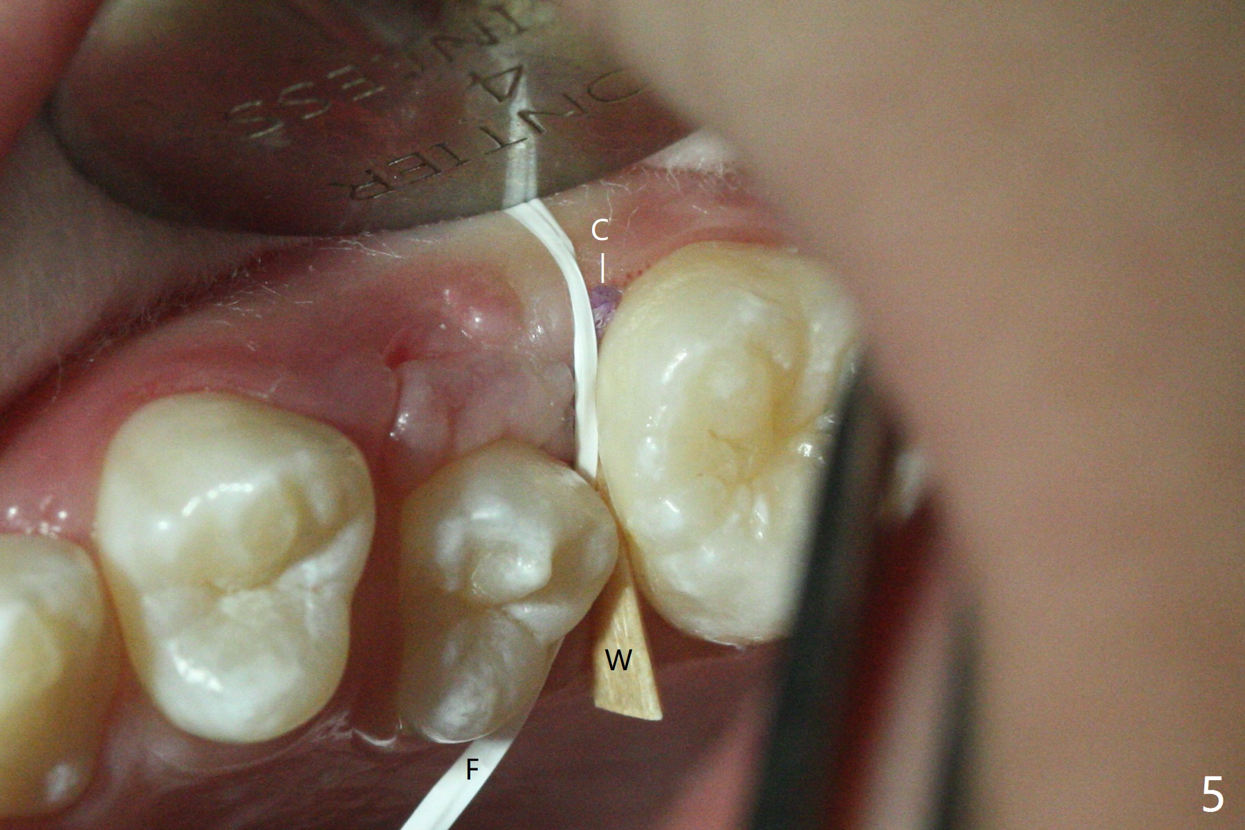
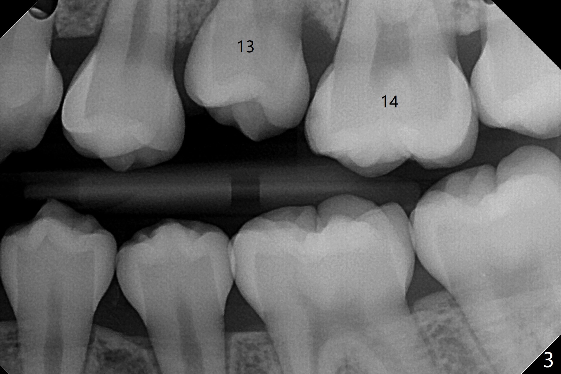
10岁半女孩上颌第二乳磨牙远中龋好像造成第一恒磨牙近中龋(图一)。要求妈妈当乳磨牙脱落时,带她回来补牙。由于新冠病毒,女孩1年3个月后才回来,右上第二前磨牙已经基本完成萌出,右上6近中龋被掩盖了(图二),而左侧前磨牙腭侧部分萌出(图三,四),磨牙近中龋(表现为脱钙,图四:箭头)正好暴露。塞入gingival retraction cord(图五:C)和wedge (W),去龋,填入树脂,两牙之间通过牙线(F),光固化。之后不需要抛光。
Return to
Professionals
Xin Wei,
DDS, PhD, MS 1st edition 01/04/2021, last revision
01/04/2021