![]() |
![]() |
![]() |
![]() |
![]() |
|
What is Diagnosis?
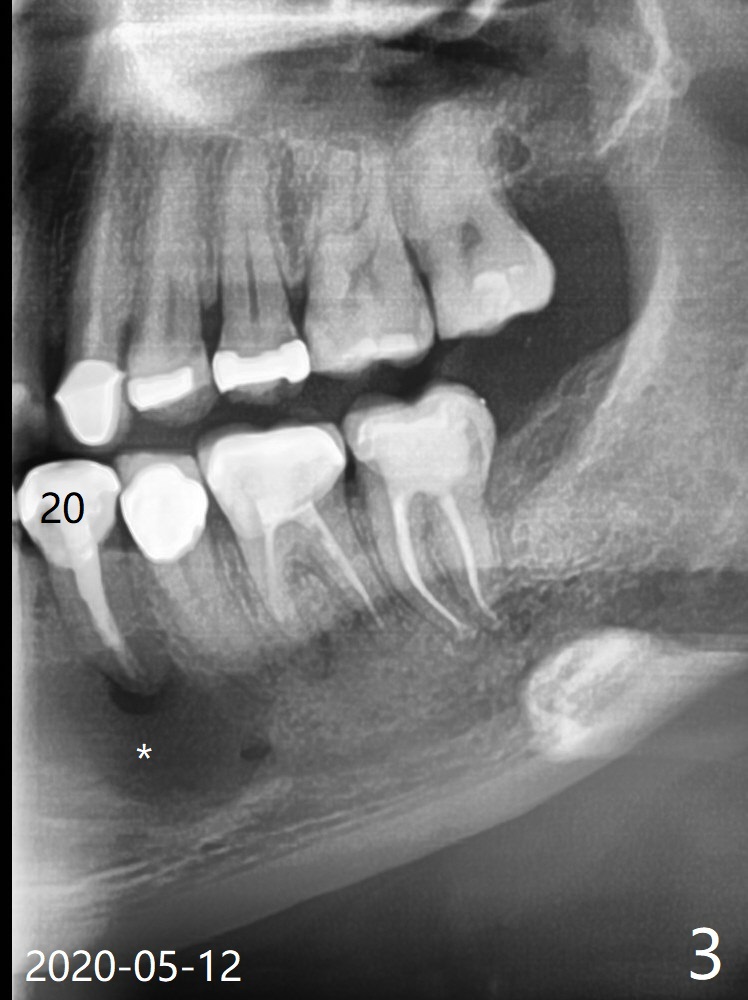
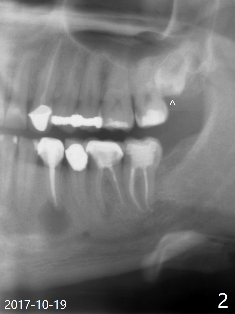
A 37-year-old man complains of food impaction between #14 and 15, which may be related to mesioangular impaction of #16 (Fig.1 ^ (* a supernumerary premolar; #20 asymptomatic after RCT retreatment)). When the third tooth is removed, it is smaller than expected. Intraop X-ray reveals a normal sized 3rd molar in situ (Fig.2 ^). Therefore the microdontia removed is a supernumerary tooth. The tooth #16 is then extracted. The diastema appears to persist 2 years 7 months postop (Fig.3), although gingival swelling and pain reduces. There is a significant increase in PARL at #20, supported by 2 PAs (Fig.4,5). The tooth has no mobility with normal periodontal pockets. There is no paresthesia of the lower left lip.
Return to
Professionals
Xin Wei, DDS, PhD, MS 1st edition
05/16/2020, last revision
05/16/2020