![]() |
![]() |
What is
Diagnosis?
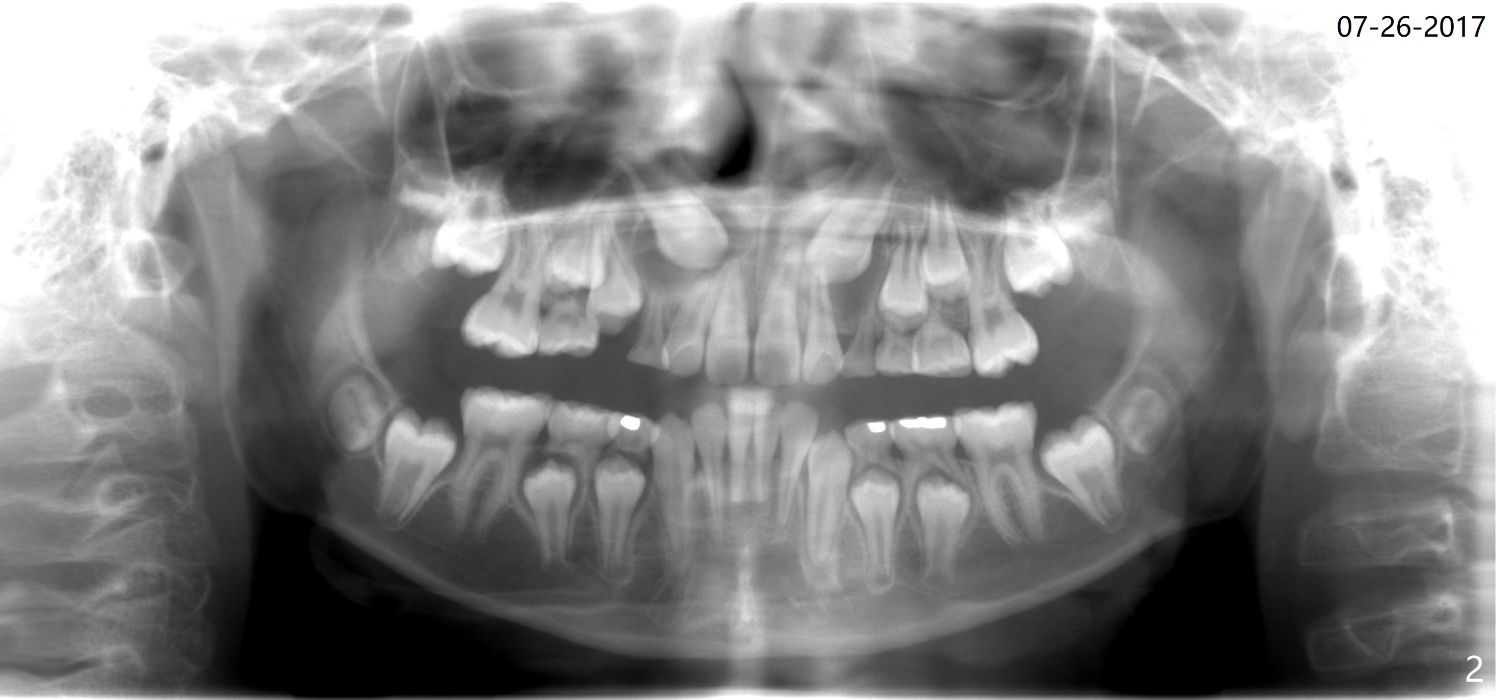
A 13-year-old boy with Class III malocclusion returns with mother from an orthodontic office for extraction of the tooth H with panoramic X-ray taken last year (Fig.1). An interesting finding was present, but not diagnosed a year earlier (Fig.2).
A cystic lesion around each of the impacted permanent upper canines. A normal dental sac or dentigerous cyst?
Return to
Professionals,
Wechat
2Xin Wei, DDS, PhD, MS 1st edition
01/09/2019, last revision
01/10/2019