![]() |
![]() |
![]() |
![]() |
Delayed
Eruption
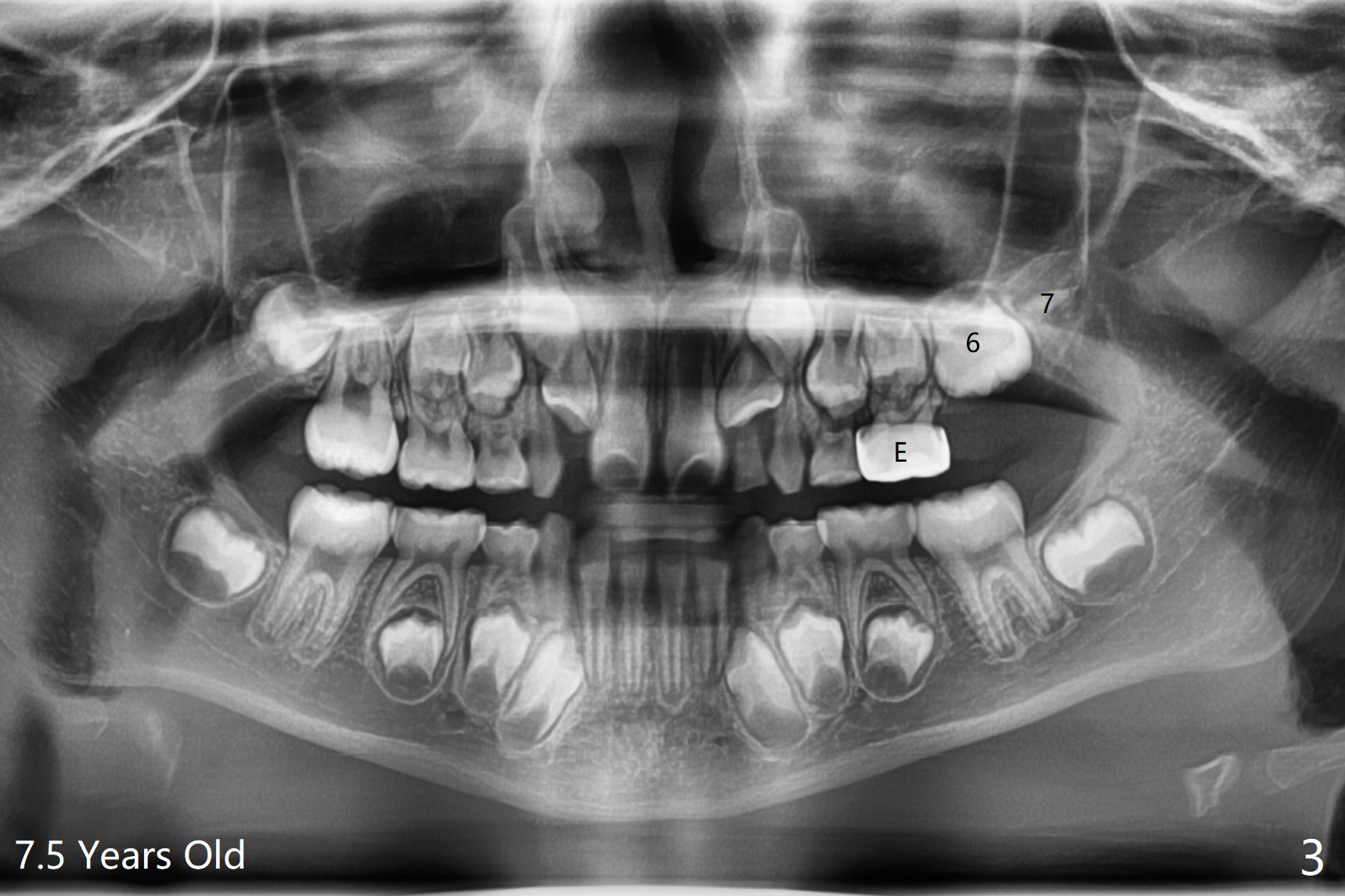
The upper left 1st permanent molar of a female remains unerupted between the age of 6 and 8 years old (Fig.1-4). The distal root of E is resorbed (Fig.3), which may be a reason of blockage. It appears that the upper left molars are underdeveloped, including 7. Or UL6 is congenitally missing? What is the treatment plan? Wait or surgery?
I have seen this before where a 6 looks like a 7! It behaves like a ‘9-year
molar’ in terms of root development and eruption! It is a variant.
Tim
So we can wait? Thanks
Yes Xin. Sit tight. It will be a while before that root development causes it to erupt.
Return to
Professionals
2Xin Wei, DDS, PhD, MS 1st edition
02/04/2019, last revision
08/08/2019