Frenectomy after Diastema Closure?

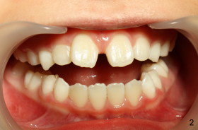
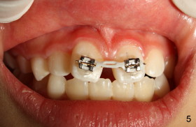
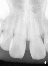
Eight-year-two-month girl has diastema between the maxillary central incisors.  It appears that the upper labial frenum (Fig.3 arrowheads, mirror view) bisects the interdental papilla (Fig.5).  Frenectomy is planned before orthodontic closure of the diastema.  Fig.4 is pre-op X-ray. Five months later, the diastema is closed.  The frenum appears to recede upward (Fig.6).  The bisected papilla seems to fuse (Fig.6,7).  Although the diastema has tendency to relapse when power chains are not used, fixed lingual retainer is planned to prevent the relapse when brackets are to be removed.  It appears that frenectomy is not so highly necessary for this purpose.

The patient's mother wonders whether frenectomy can improve the short upper lip (Fig.1).  What is your opinion?

Answer from Paul Dominique, DDS 08/14/2011

Not sure frenectomy will help with upper lip. But it will help with preventing relapse of diastema. Do frenectomy then after its done, at same appointment place powerchain to close diastema.

Answer from Tim Shaughnessy, DDS, MS 08/20/2011

I evaluated the pics and I would only do a frenectomy if when you pull upward/outward on the lip, you see the marginal tissue blanching.  I have not heard of a doing a frenectomy to lengthen the upper lip.  I like the idea of a fixed retainer with her being 8 y.o.  This way she will not require a removable retainer in the mixed dentition.  You have shown me something I have never seen documented, the frenum moving superiorly as you close pace orthodontically!  Wow.  Good job.

Xin Wei, DDS, PhD, MS 1st edition 08/11/2011, last revision 08/20/2011