When to Extract Mesiodens?

A 3-year-old boy with attention deficit and autism has several incipient caries.  Panoramic X-ray reveals that two of mesiodens (Fig.1 *) block eruption of the upper central incisors (1), as compared to the lateral ones (2).  When is the best time to extract the mesiodens?

Hi Xin, I do believe that you will need to extract the supernumerary teeth. It is a question of when. I think I would delay until this patient is old enough to have half the permanent central incisors root formed-so that extraction really does help them erupt. I wish I could just blink and have them removed because I hate that 8 and 9 are already higher than 7 and 10.
I will send this case to two of my pediatric friends.  Tim  Sunday, October 29, 2017 6:37 PM
I agree with you Tim about delaying the extraction decision of any primary or supernumerary teeth at this time and monitoring the development of the root structures of the U 1's with a future decision on extractions timing and then also a decision on pre-surgical orthodontic brackets and wire progression to heavy wires to allow potentially same day surgical exposing and bonding of the central incisors with forced eruption. 

Of course that would be a decision to make at the time of the decision of removal of the inverted supernumerary teeth...one surgery and monitor or one surgery and planned bonding and forced eruption.

It would be optimal to obtain a 3D of the area likely about  age 5-6 to determine the actual position of the supernumerary teeth to the permanent central incisors.

I have always been informed that there is a concern for iatrogenic damage to the permanent teeth when there is minimal root formation. 

I agree that it appears obvious that the supernumerary teeth are and will likely continue to affect the position of  the developing centrals.  However I don't believe this would develop into a scenario that could not be managed in the early mixed dentition that would aid in preventing a severe malalignment and spacing issue.

A 3 D view would be paramount at the "right" time.

I hope Hank thinks he taught me well...

GD Mick Mayhew October 29, 2017 at 8:48:19 PM EDT

CBCT taken on 11/03/2017 confirms the findings mentioned above (Fig.2-4).  These 2 supernumerary teeth are close palatally (Fig.3 (for UR1), 4 (UL1)).

Dear Dr. Shaughnessy: Thanks for forwarding the message.  Since the mesiodens are so superficial (palatally), iatrogenic damage will be minimal.  If the permanent tooth buds are popping out, they can be put back immediately without too much ill effect.  I may refer the case to a pediatric OMFS at Emory.  I cannot help doing it in my chair.  Last week composite was done with local anesthesia without too much hassle.  Here is a case we discussed several years ago (2).  It seems appropriate to me to have early intervention.

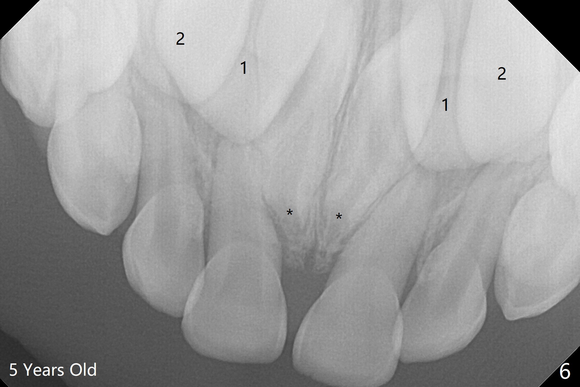
PA is taken 10 months later (Fig.5).  The roots of the supernumerary teeth (*) elongate, while the permanent centrals (1) have descended as the same level as the laterals (2).  The divergent centrals seem not be able to cause root resorption of the deciduous ones.  The parents have hesitated to accept surgical removal.  This PA (Fig.6) is taken 6 months later (as compared to Fig.5).  The apices of the supernumerary teeth (*) appear to have closed, while the permanent centrals (1) remain as the same level as the laterals (2).  The divergent centrals seem not be able to cause root resorption of the deciduous ones.  The patient is superactive.

Reanalysis of 3 D images (Fig.7 (frontal view), 8 (posterior view), 9 (lateral view), 10 (lateral view with section) of CT taken 1 year 3 months earlier shows that the mesiodens (*) and the permanent lateral incisors (2) are palatal to the permanent central incisors (1) and canines (3) and the deciduous central incisors (A).  The supernumerary teeth do block the eruption of the permanent central incisors (Fig.10).

While the lower centrals are erupted and the lower laterals are erupting, the upper deciduous centrals are mobile 6 years 11 months old.  It appears that the upper centrals are divergent and causes root resorption of the decidous incisors (Fig.11).

Professionals

Xin Wei, DDS, PhD, MS 1st edition 10/27/2017, last revision 12/25/2020