多生牙

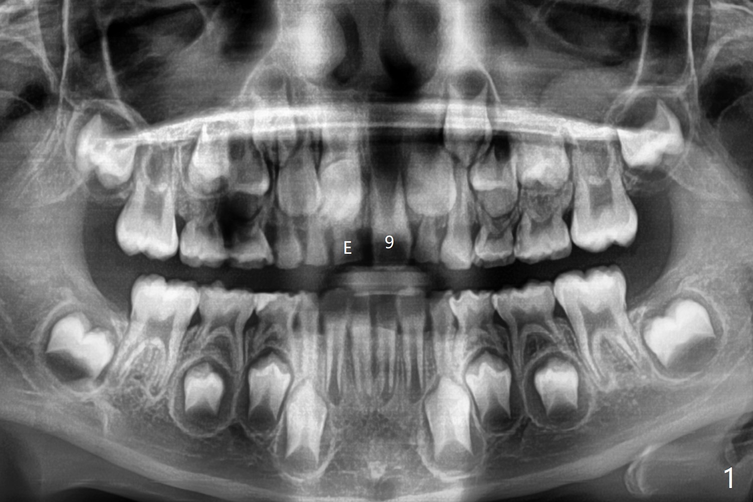
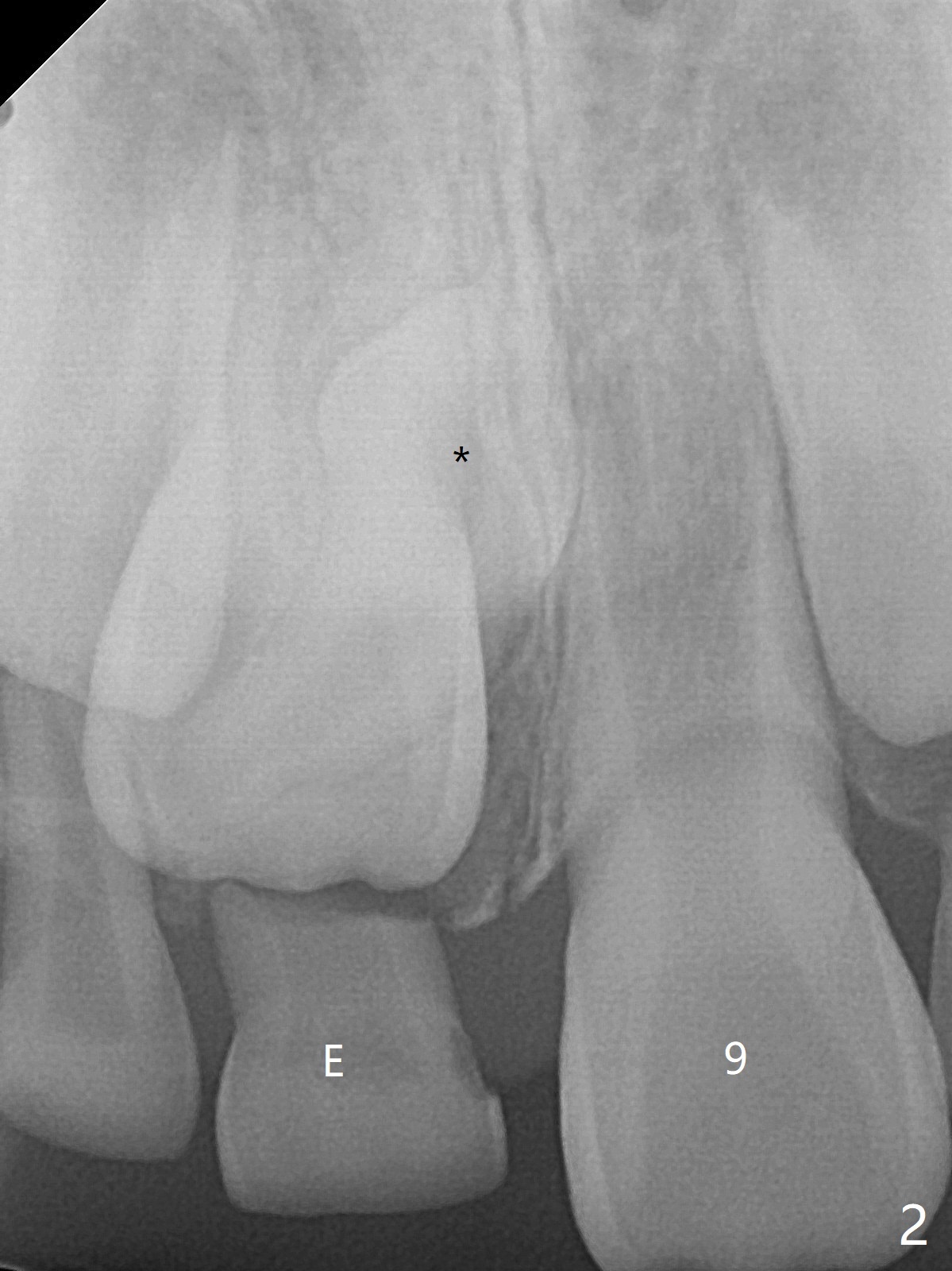
8岁男,右上乳中切牙滞留(图一,二:E),全景片,根尖片显示多生牙(图一,二:*),CT表明它位于腭侧(图三:P)。病人将今天(八岁八个月)回来拔除,腭侧牙龈缘切口应该容易暴露。

Return to Professionals
Xin Wei, DDS, PhD, MS 1st edition 08/13/2021, last revision 08/13/2021