![]() |
![]() |
When and How to Treat Congenitally Missing Deciduous Lower lateral Incisor?
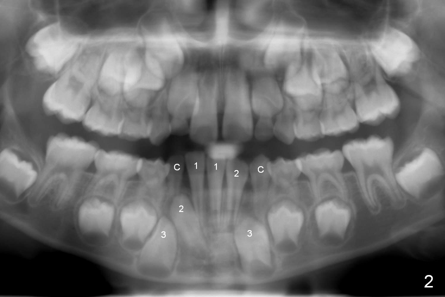
The lower right deciduous lateral incisor of a 5-year-old boy is congenitally missing (Fig.1). When he is 8 years old, the succedaneous tooth is unerupted (Fig.2). When the lower left canine (C) is exfoliated, extract LR C and LR 2 so that LR 3 has a chance to erupt normally.
Return to
Professionals
Xin Wei, DDS, PhD, MS 1st edition 12/10/2016, last revision 12/10/2016