![]() |
![]() |
![]() |
![]() |
![]() |
![]() |
Super-numerary Lateral
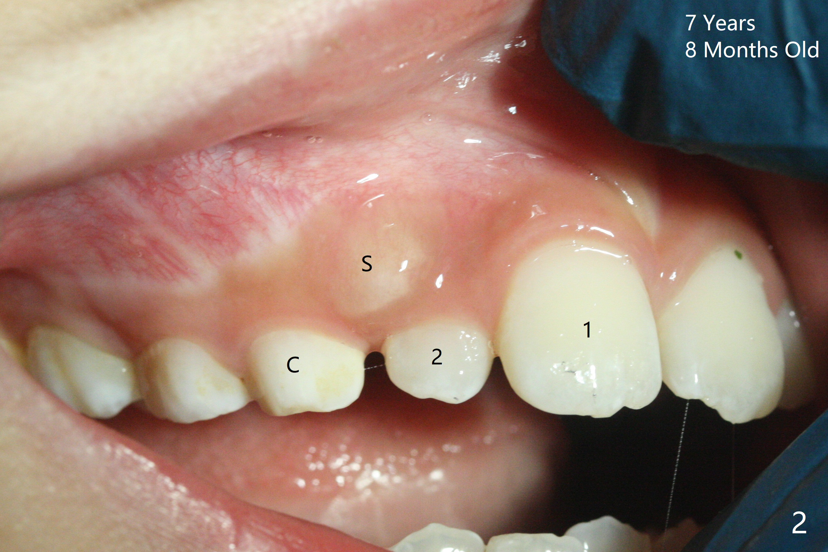
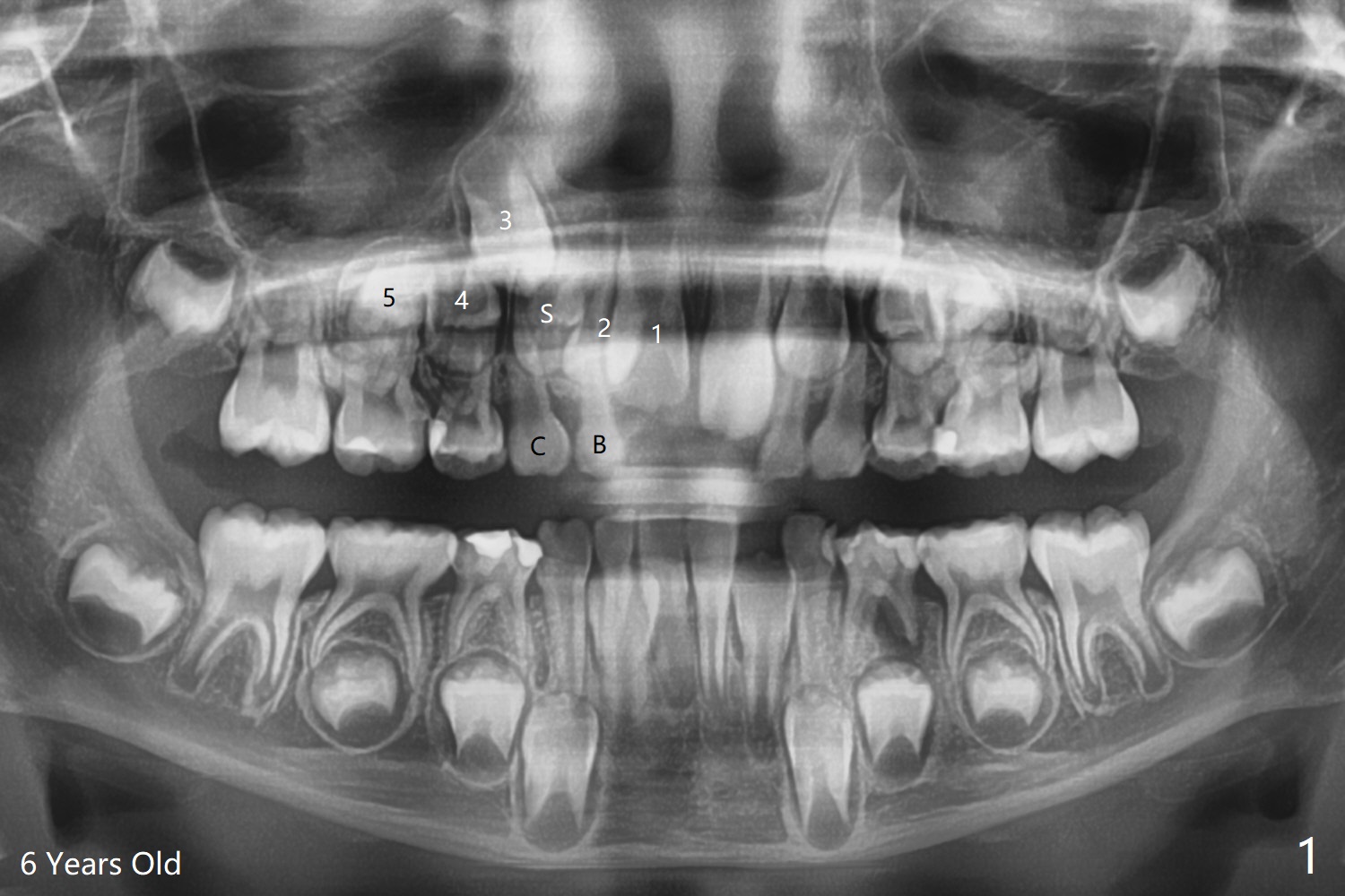
A 6-year-old woman presents to office for limited exam for caries (Fig.1). What was neglected is a super-numerary tooth (S) between UR2 and 3. One year later, the extra tooth appears to be erupting (Fig.2) and linguali-zing UR2 (Fig.3 arrow). PA shows that the extra tooth looks like a lateral (Fig.4). CT will be taken to decide which tooth needs for extrac-tion. The super-numerary tooth (S) blocks UR3 descent, as compared to that of UL3 (Fig.5). The super-numerary tooth with an abnormal cingulum (Fig.6 *) and dens in dente (Fig.6 ^) should be extracted.
Return to
Profe-ssionals
Xin Wei, DDS, PhD, MS 1st edition
02/24/2020, last revision
03/03/2020