![]() |
![]() |
![]() |
![]() |
![]() |
![]() |
![]() |
![]() |
![]() |
![]() |
![]() |
![]() |
![]() |
![]() |
How to Handle Underdeveloped Lower 2nd Bicuspid Tooth Buds?
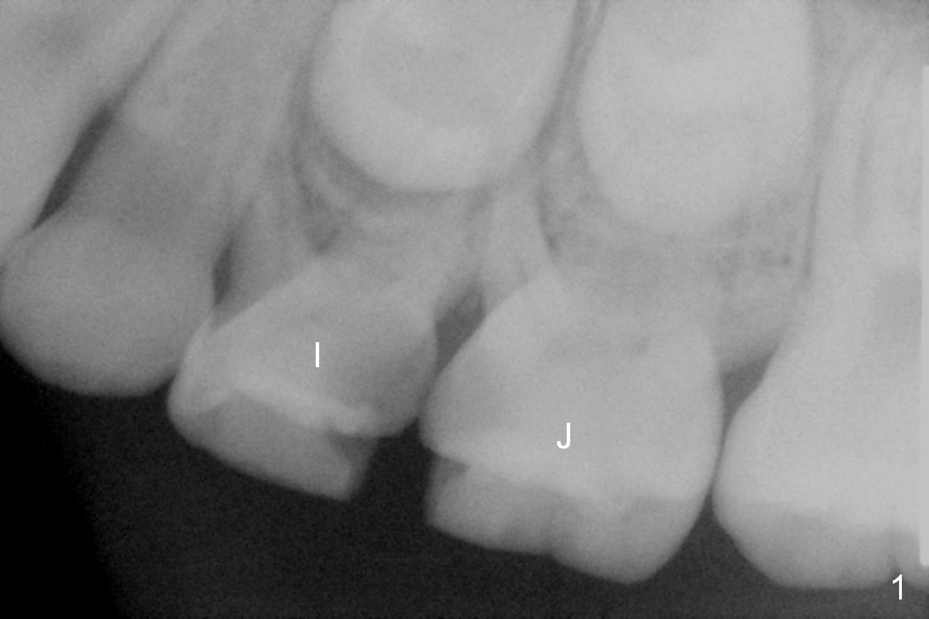
A 11-year-old girl returned to clinic, two years after last visit (Fig.1). The carious teeth I and J were extracted and space maintenance was fabricated in another office later. The latter dislodged without recementation.
While the upper right bicuspids have erupted, the upper left ones are unerupted and blocked (Fig.2, 6). It appears that the tooth #14 has been mesially shifted (compare Fig.4,5). A space regainer is fabricated (Fig.9). It is not completely seated when cemented, especially at H. The wire holding open coil spring fractures next day. It appears that H is not a good anchor with mobility II. It should be extracted. The mesial anchor will be the tooth #10. If there is sign of anterior tooth protrusion after regainer activation, a mini implant (Tomas, Fig.10 red circle) should be placed in the anterior palate parasagitally and bonded to the cross palatal wire (^).
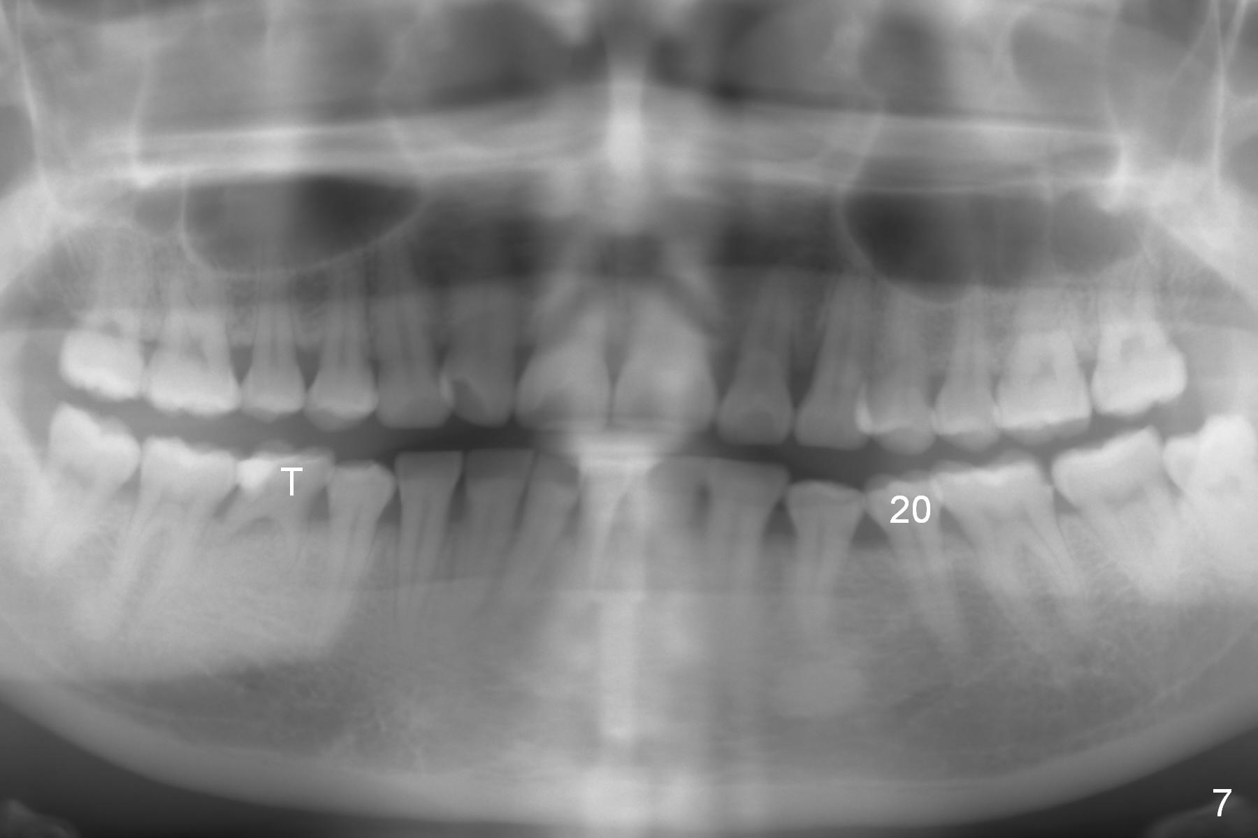
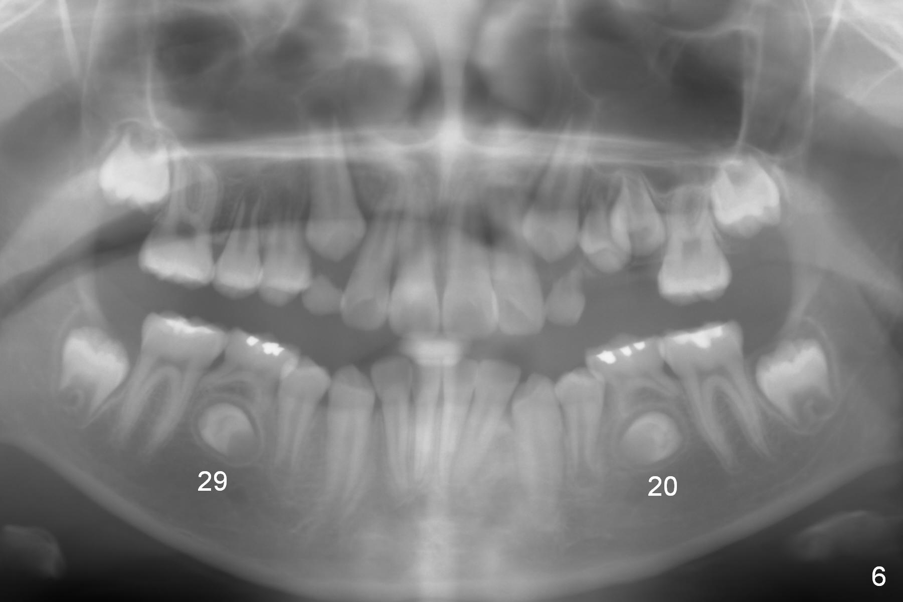
Panoramic X-ray shows underdevelopment of #20 and 29 tooth buds (Fig.6), which is related to K and T being retained (Fig.3). What should be done for K and T as well as 20 and 29?
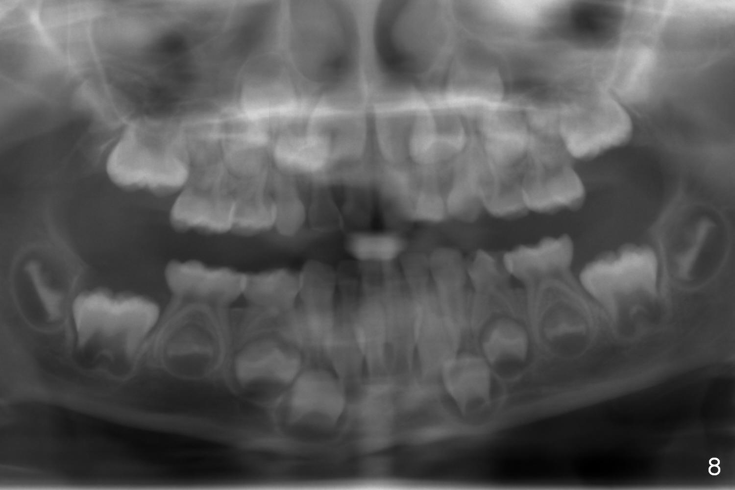
The patient's mother is 38 years old. She reports that her tooth #20 took long time to erupt. The tooth T remains retained (Fig.7). The patient's 5-year-old sister appears to be normal in tooth bud development (Fig.8).
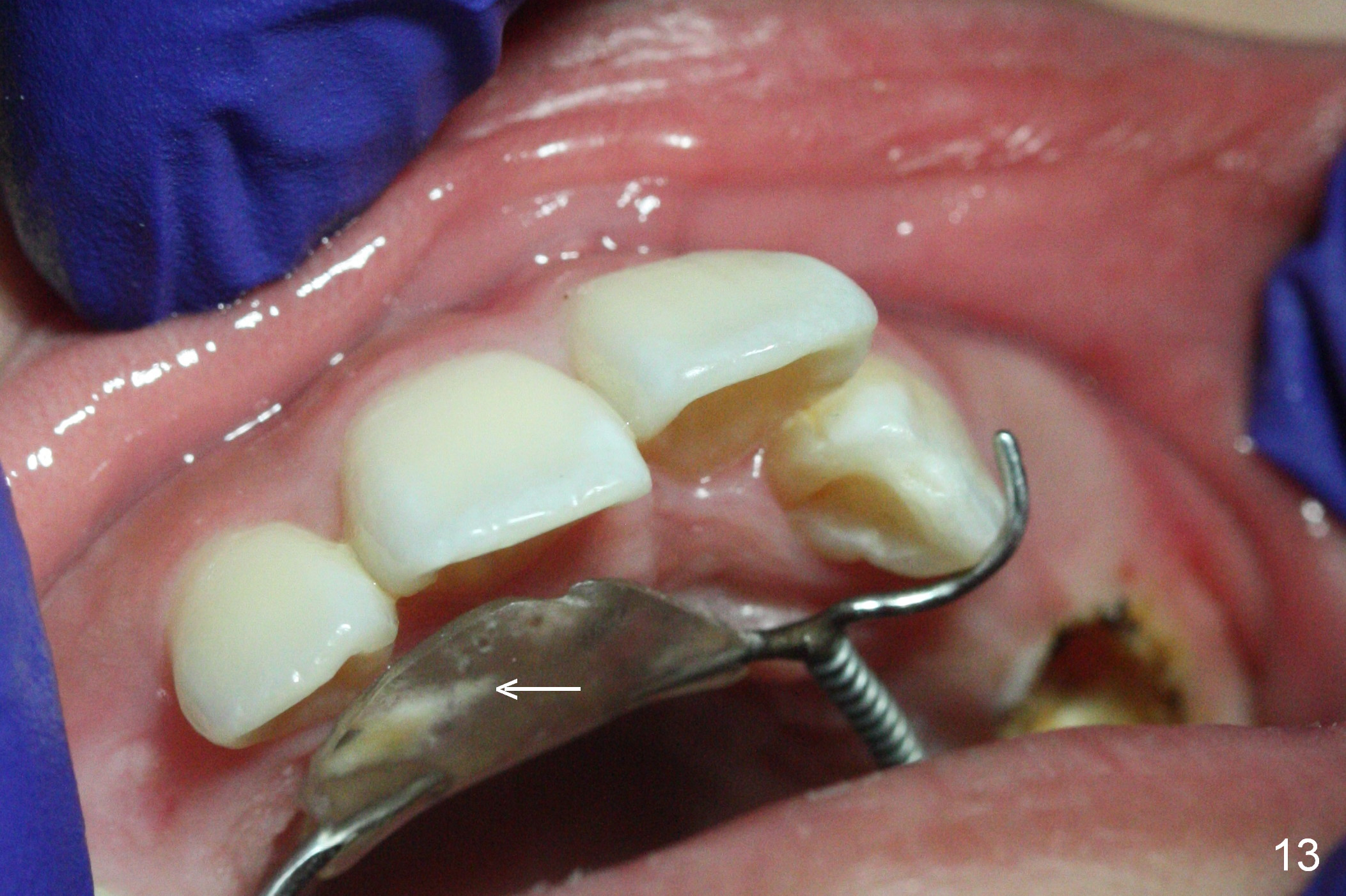
Nearly 2 months post regainer placement, UL6 appears to have been distalized (Fig.11 arrow), but UL4,5 have not erupted (Fig.12), while UL1,2 are displaced (Fig.13). Diode laser is used to expose the tooth buds, which are deeply seated (Fig.14). If they do not erupt soon, a mini implant should be placed for anchorage (Fig.10). Use several power chains to retract the anterior arm, while drill through the Nance appliance (high speed handpiece) for mini implant placement.
Return to
Professionals
Xin Wei, DDS, PhD, MS 1st edition 10/11/2016, last revision 03/19/2017