![]() |
![]() |
![]() |
|
![]() |
![]() |
![]() |
![]() |
![]() |
![]() |
![]() |
|
![]() |
|||
舌动脉与舌孔
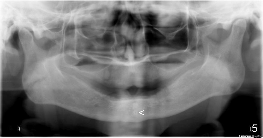
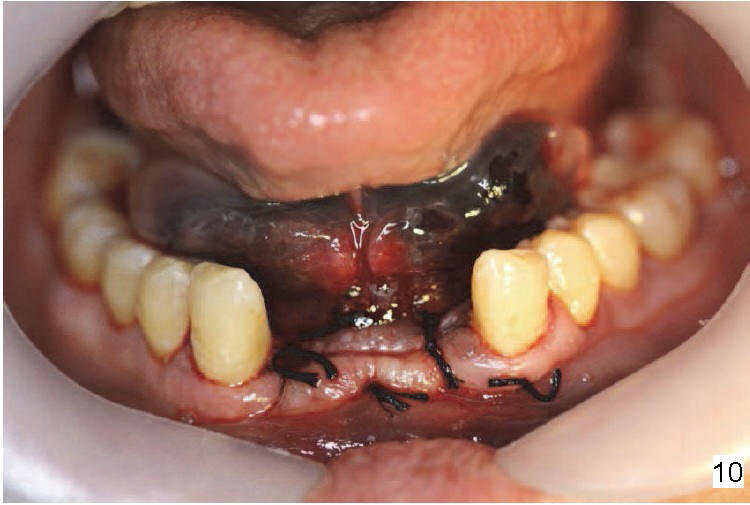
舌动脉(Lingual artery)是颈外动脉(External carotid artery)第二个前分支(图一),舌动脉末分支是舌下动脉(Sublingual artery)。舌动脉行于下颌骨舌侧(图二),它末分支舌下动脉中止于下颌骨切牙舌侧(图三),舌下动脉与颏下动脉(Submental artery,面动脉(Facial artery)分支)有吻合(箭头)。下颌骨舌侧有多个小孔(图四):正中(a, d),侧(c, e)舌孔,主要动脉穿入(1)。全景片(图五),前牙根尖片(图六)可显示舌孔(箭头, Lingual foramen)。舌孔延伸下颌骨舌侧一半(图七),下前牙植牙造成严重出血(图十,十一,2),往往是因为舌侧骨板穿孔,研究表明牙槽骨萎缩是血管意外(舌侧骨板容易破裂)主要因素(3,图八a,图九),预防方法:术前下颌骨舌侧触诊,对危险性大的病例做CT检查;术中钻洞时做下颌骨舌侧触诊,对危险性大的病例,翻瓣,暴露舌侧骨板,保护舌侧结构,使用短种植体。
口底出血好比口底感染(Lugwig's Angina),可造成窒息,双触诊临时控制出血,结扎止血最有效,及时送病人到最近医院,可能需要插管或者气管切开。
Xin Wei, DDS, PhD, MS 1st edition 05/12/2014, last revision 06/22/2014