![]() |
![]() |
![]() |
![]() |
![]() |
![]() ![]() |
||
近中根尖阴影
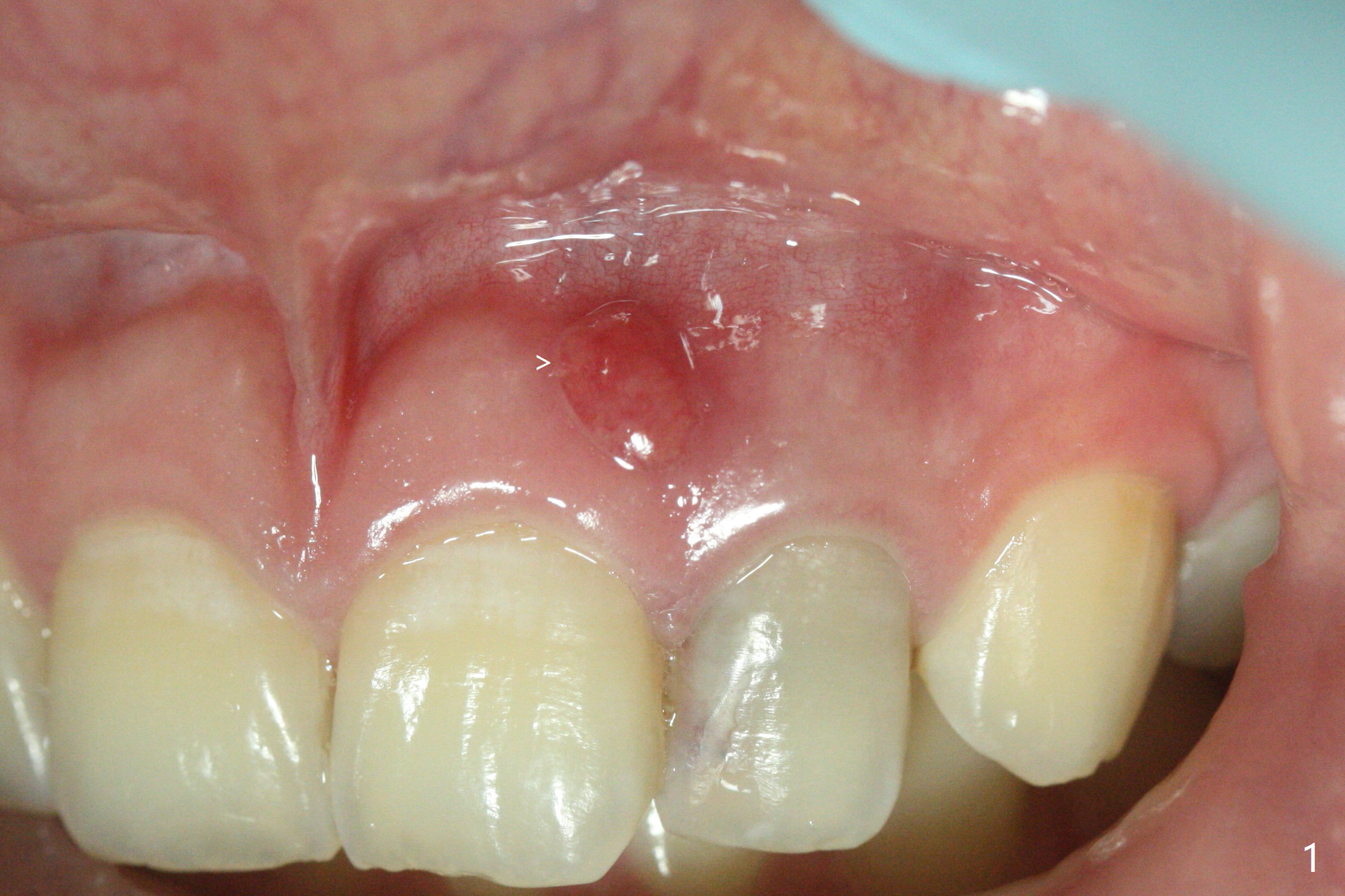
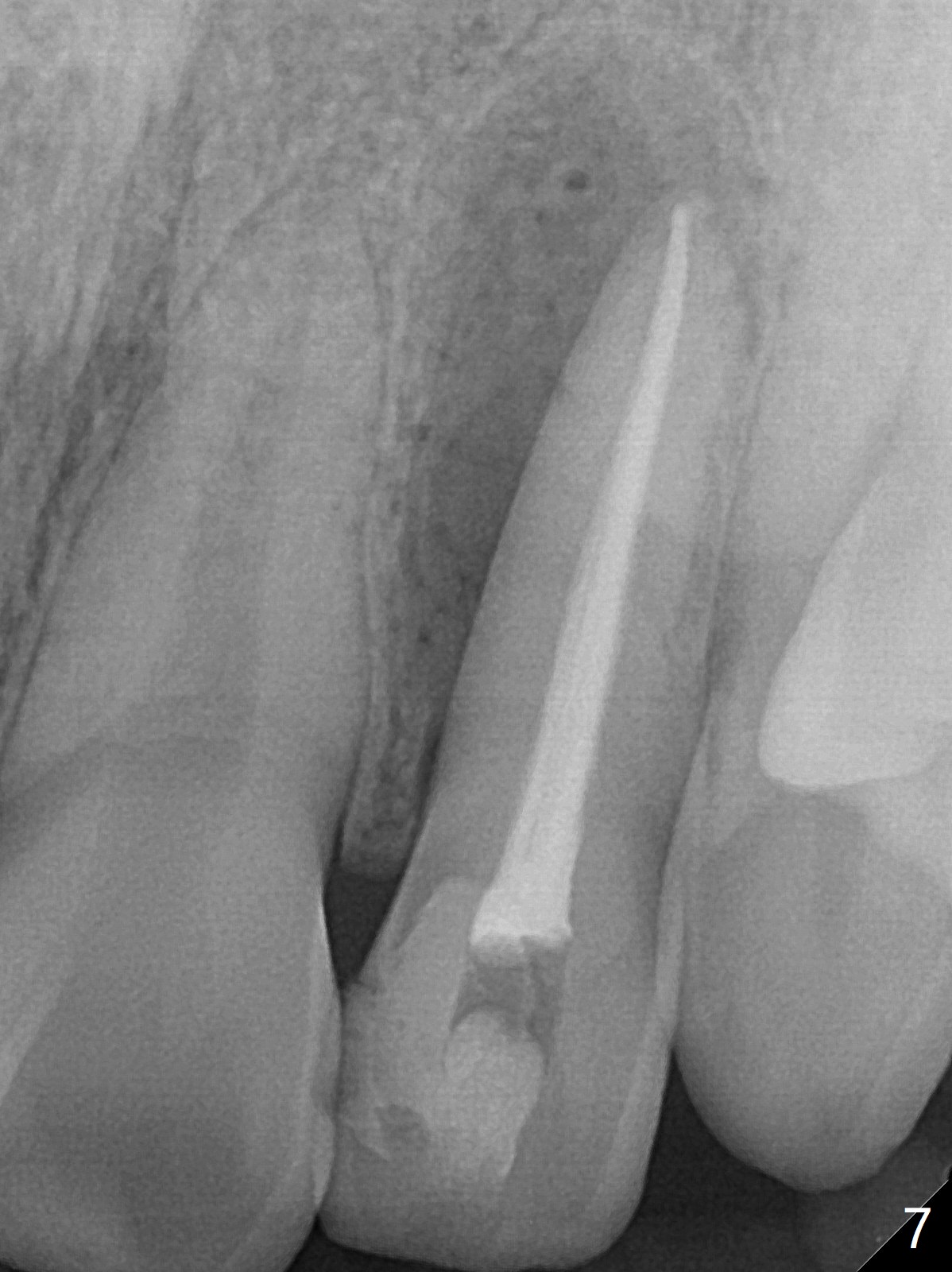
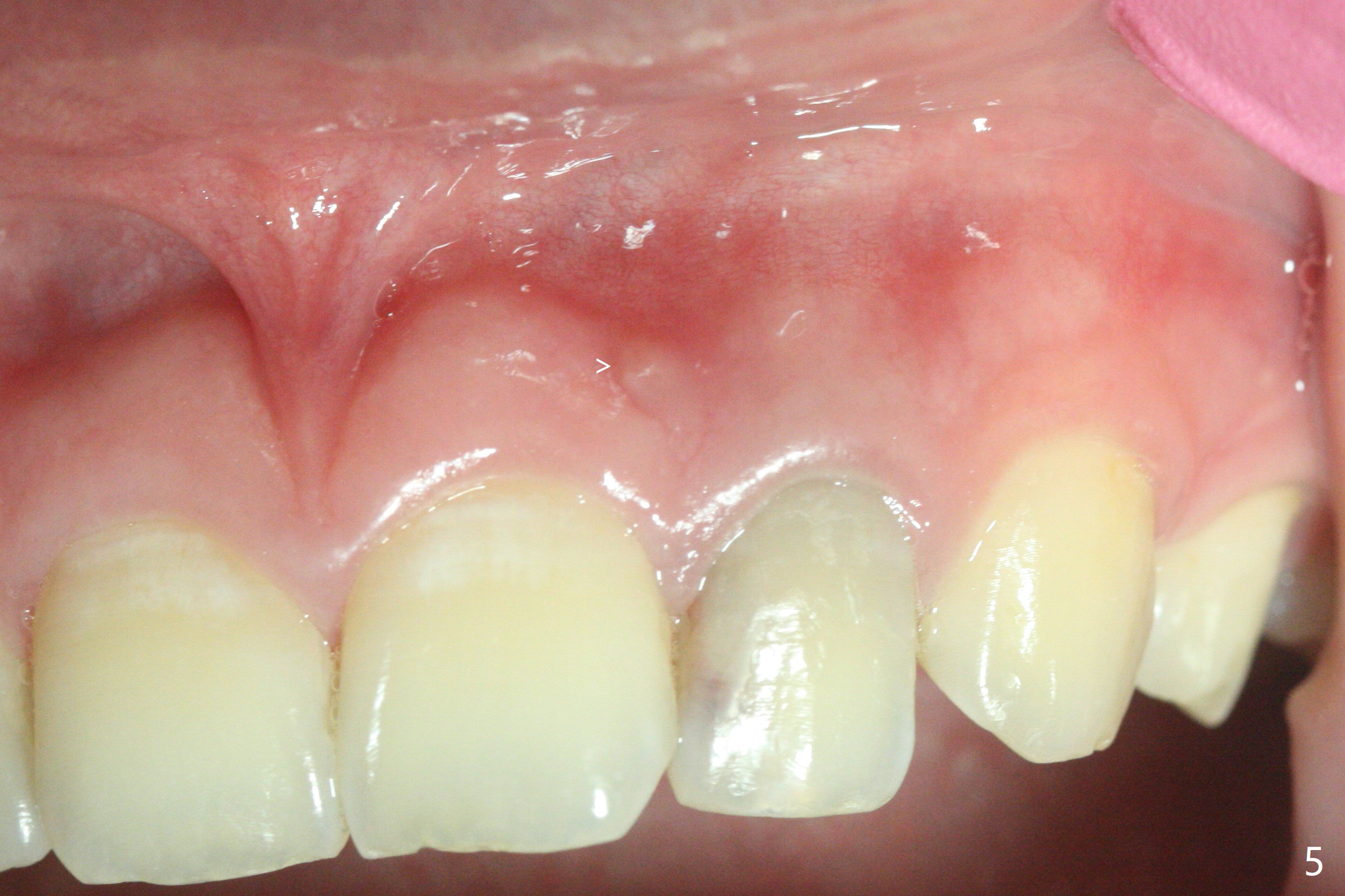
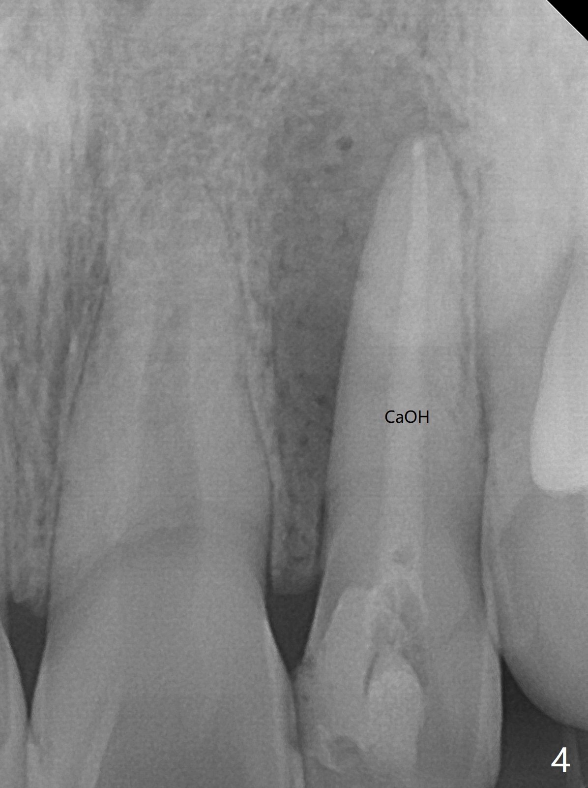
21岁女左上侧切牙根管治疗在别的诊所完成后出现瘘道(图一),近中阴影相当大(图二),应该如何处理?单独重做根管治疗足够吗?牙齿似乎没有松动,牙周袋正常,龋齿易感性高。牙列完整,仿佛没有咬合创伤迹象。可能由于经济问题,家长迟迟不带她去看专家。上个月我开始重做(图三:40/.04),能一次完成治疗吗?保险起见,放置氢氧化钙糊剂(图四)。一个月后病人回来,瘘道减小(图五),多次根管冲洗后,放置主牙胶尖(图六:40/.04),我当时在想根侧方阴影这么大,是不是有侧枝根管?如果扩根完善,根充时可能显示!是吗?其实这是最后根尖片(图七),40/.04主牙胶尖加三个fine, fine accessory gutta percha,并没有显示侧枝根管。
Return to
Professionals
Xin Wei,
DDS, PhD, MS 1st edition 01/27/2021, last revision
01/27/2021