![]() |
![]() |
![]() |
![]() |
10 Year Follow-Up for RCT
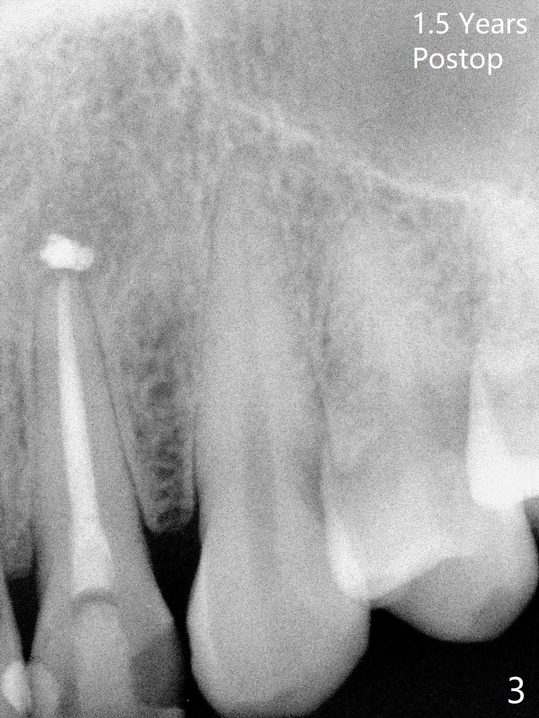
A 47-year-old woman with multiple restoration has PARL at #10 (Fig.1 *). RCT is done with paste leakage (Fig.2). PARL reduces and disappears 2.5 and nearly 10 years postop (Fig.3,4).
Return to
Professionals
Xin Wei,
DDS, PhD, MS 1st edition 08/05/2020, last revision
08/05/2020