![]() |
![]() |
![]() |
![]() |
![]() |
![]() |
![]() |
|
![]() |
|||
Save Pulp
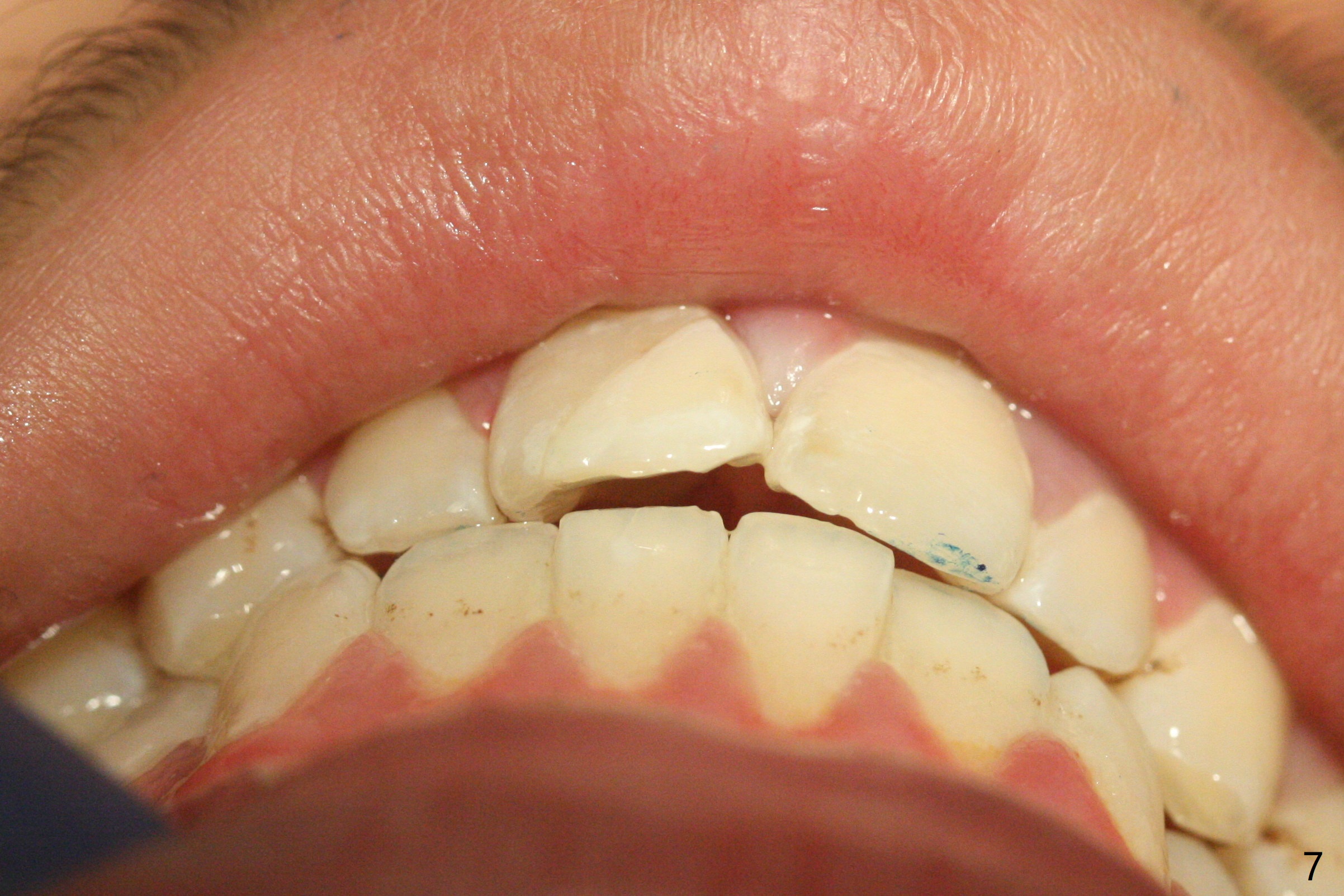
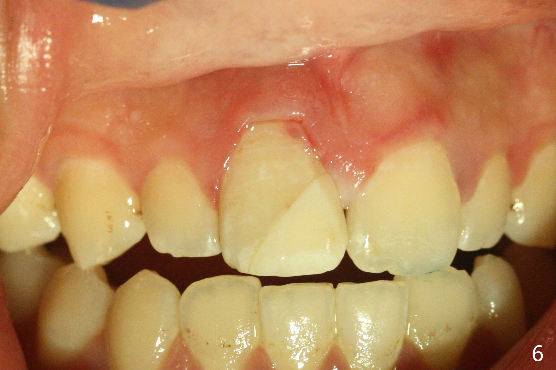
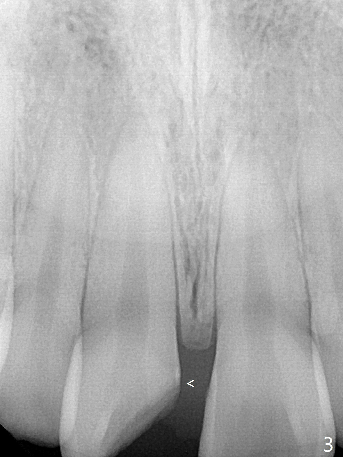
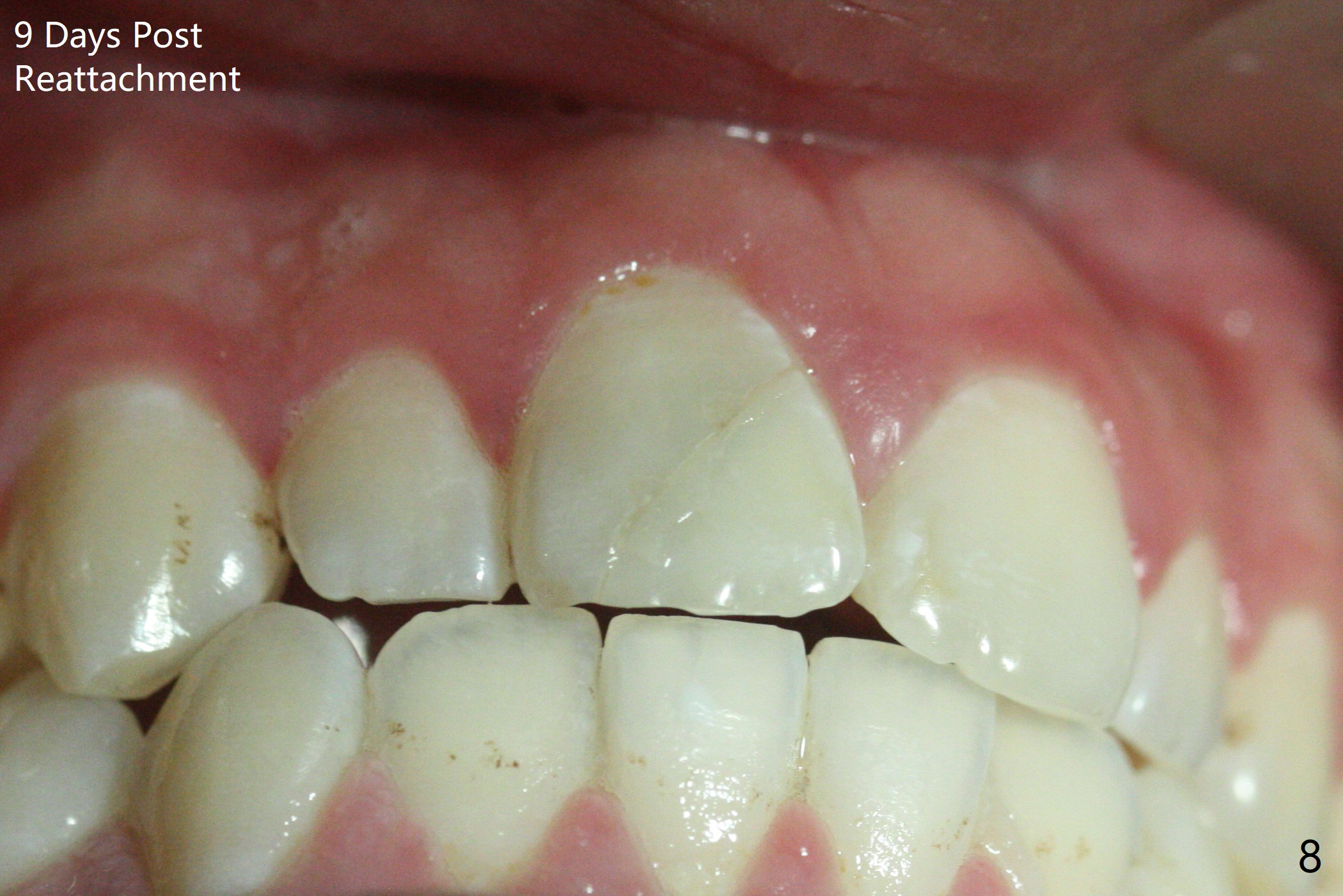
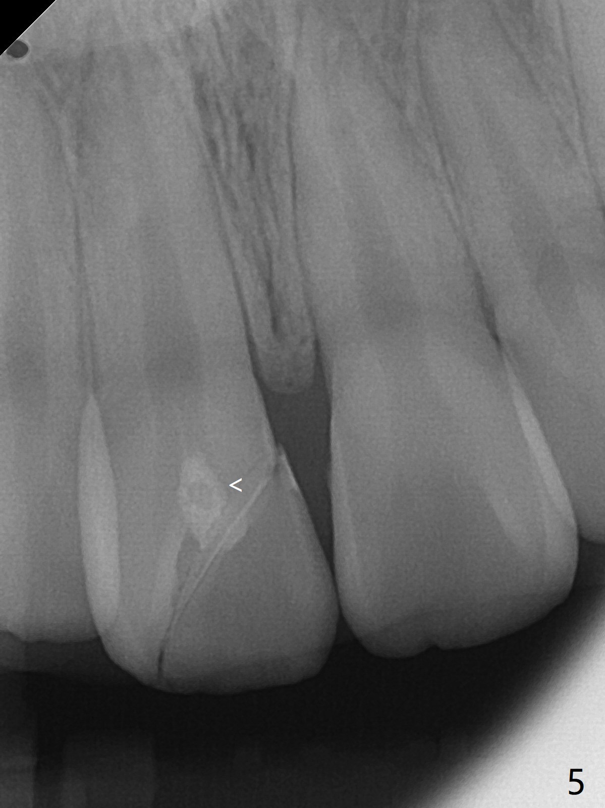
A 16-year-old man fractured the tooth #8 yesterday (Fig.1) with pulpal exposure (Fig.2) and slightly subgingival (Fig.3 <). With 2 gingival retraction cords, rubber dam and floss, the mesial margin is exposed (Fig.4). The mesial pulpal horn is increased slightly with a 330 bur with minimal pulpotomy. MTA is applied (Fig.5 <). A curette is placed over the MTA for hemostasis while it is setting. RelyX Ultimate Adhesive Resin Cement bonding is used to reattach the fracture fragment in place (Fig.6,7). Pulpal vitality will be monitored. A crown will be placed if the tooth discolors due to MTA and the pulp remains vital. Mineral trioxide aggregate (MTA), composed mainly of tricalcic silicate, tricalcic alluminate, bismuth oxide, is a particular endodontic cement. It is made of hydrophilic fine particles that harden in the presence of dampness or blood. The re-attached tooth remains asymptomatic 9 days postop (Fig.8) when he returns for prophy.
16岁男孩,昨天右上中切牙撞击电脑发生折裂(图一),近中牙髓角暴露(图二),裂缘稍微龈下(图三 <),使用两个牙龈牵拉线,橡皮障和牙线,近中折裂边缘暴露(图四)。你会如何处理?使用330钻头稍微扩大髓角开口,去除少量牙髓,填入微量MTA (图五<),希望形成新的牙本质,关闭开口,维持牙髓活性。出血控制后,应用树脂粘合剂将断片固定于原位(图五,六,七)。术后9天牙齿无症状(图八),病人回来洗牙。
Return to Professionals Xin Wei, DDS, PhD, MS 1st edition 07/11/2020, last revision 07/21/2020