![]() |
![]() |
![]() |
![]() |
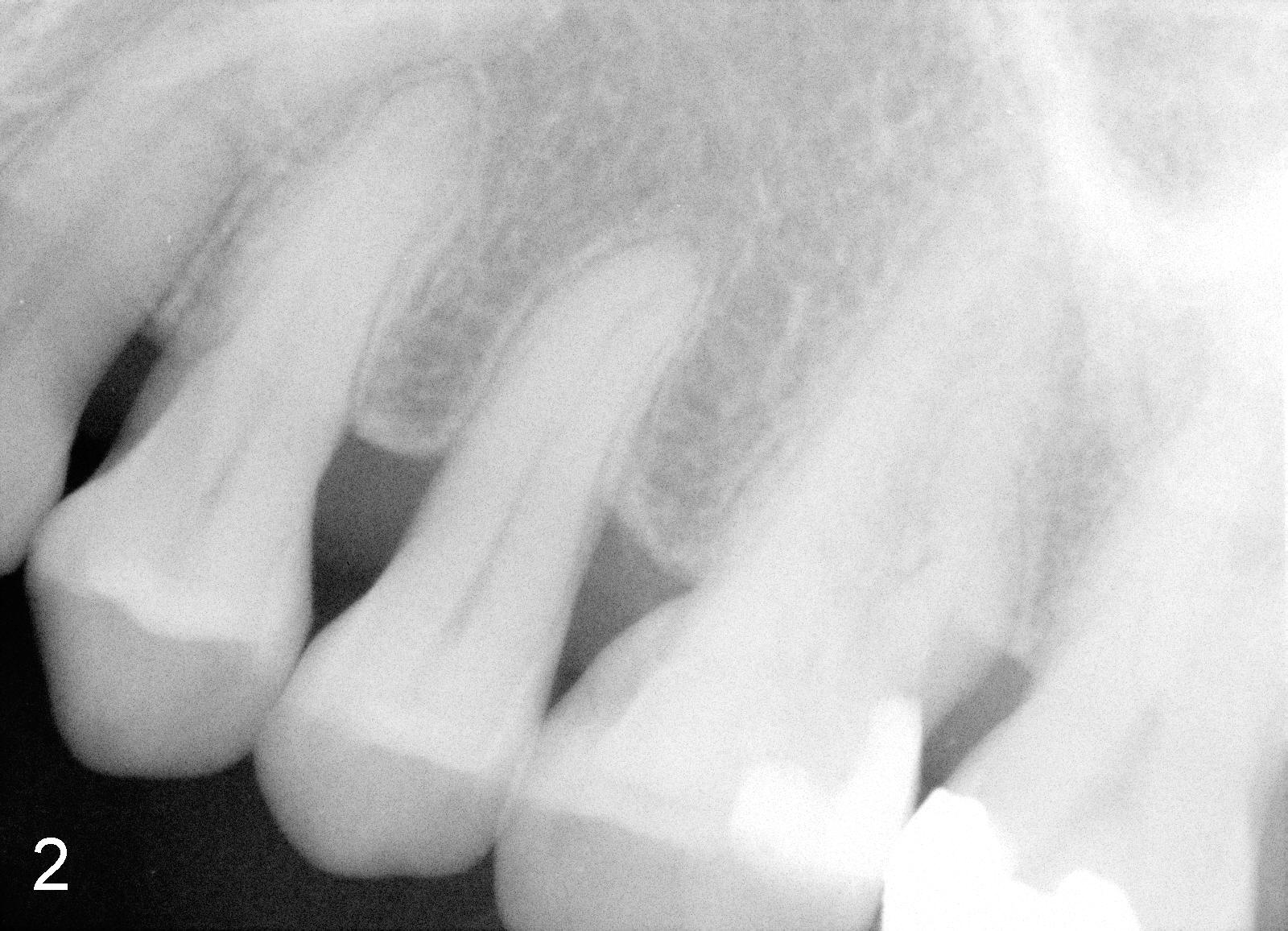
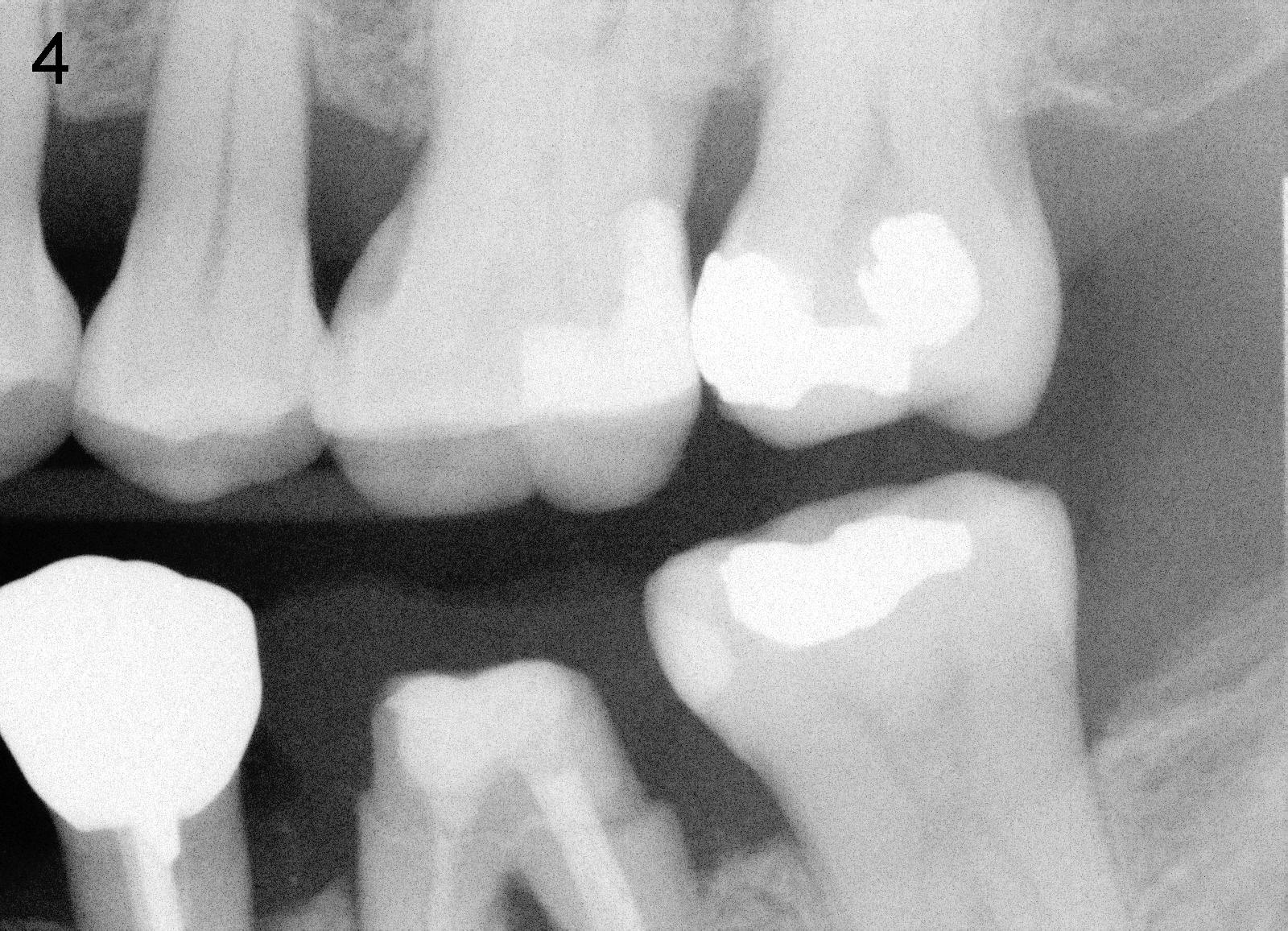
Bitewing and PAs for Upper Left Quadrant
X-ray was taken on 01/18/2010 (Fig.1) and 06/11/2011 (Fig.2-4). Clinically there is no gross lesion in the upper left quadrant, although pain is vague in position, according to the patient.
Answer from Dr. Lau: 08/12/2011
I think you have done a remarkable job. The mesial root is untreatable with the furcation and poor oral hygiene. I would advise the patient to keep cleaning the area with small brush and irrigate with salt water to furcation area. If pain persist and become intolerable, advice patient for extraction. I don't think she needs to see me at this time.
Xin Wei, DDS, PhD, MS 1st edition 07/30/2011, last revision 08/12/2011