![]() |
![]() |
![]() |
![]() |
![]() |
根尖形成
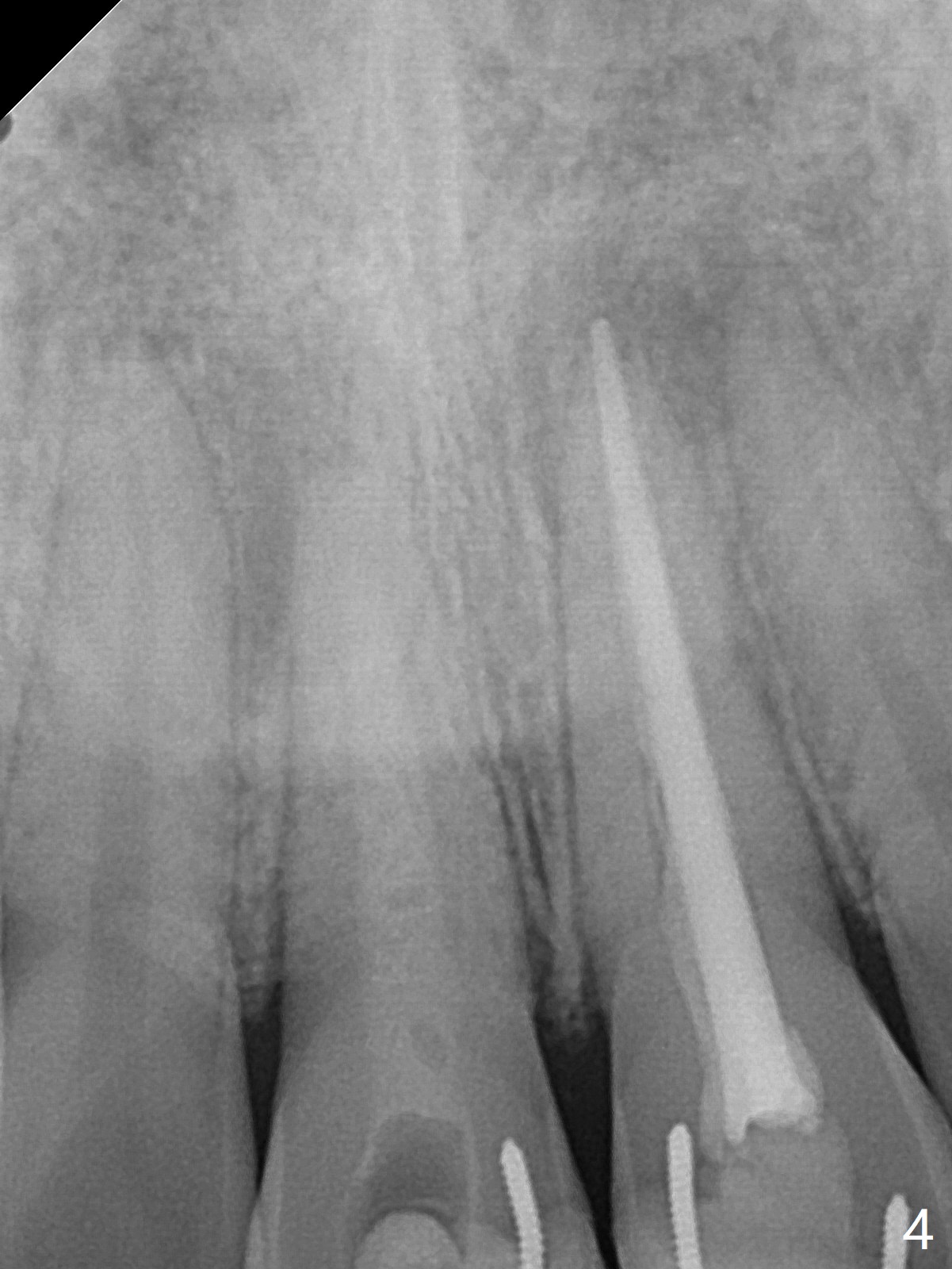
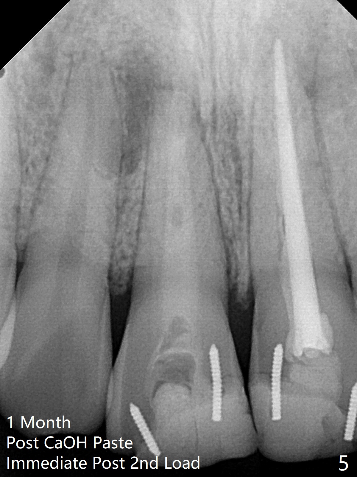
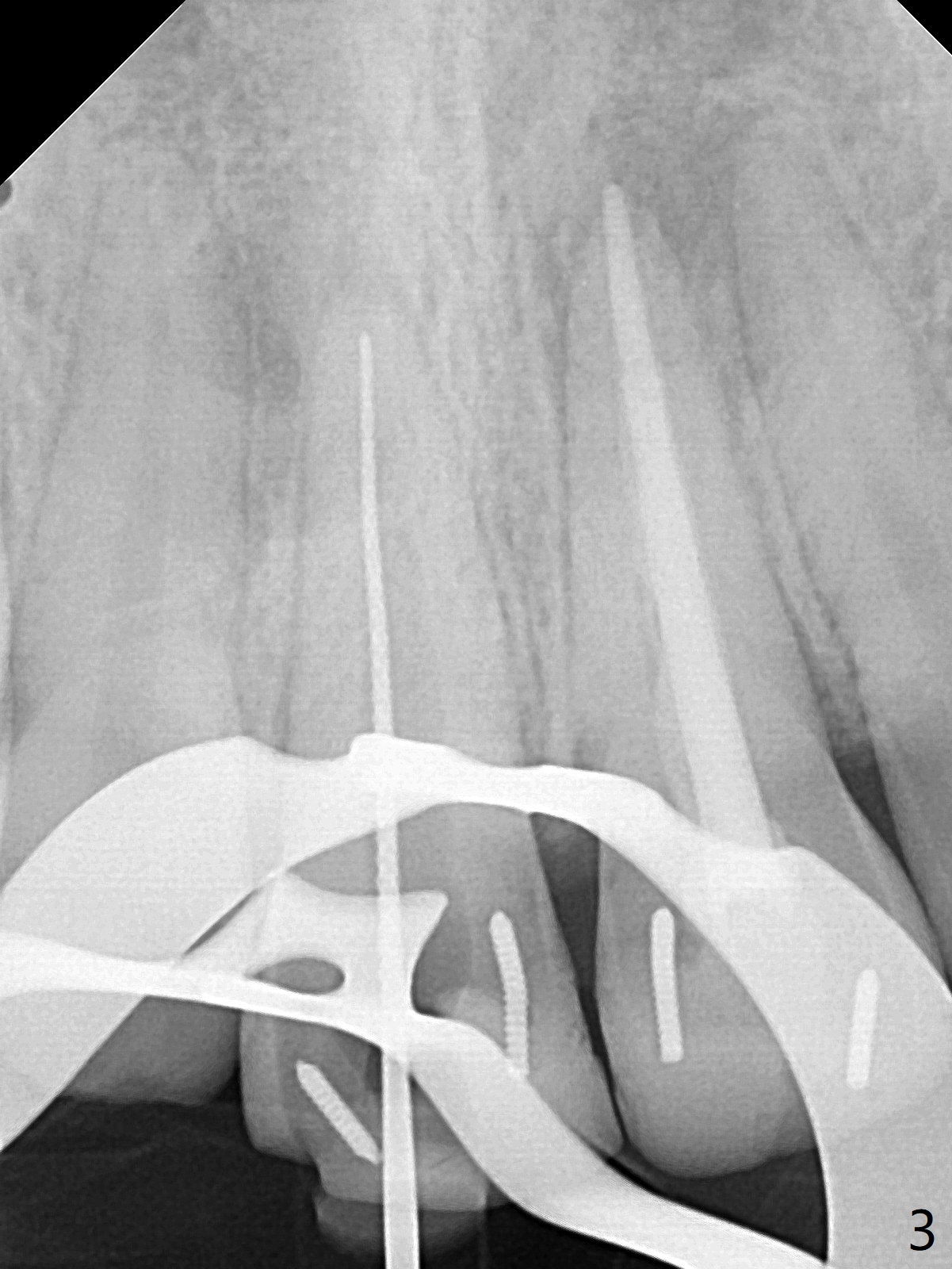
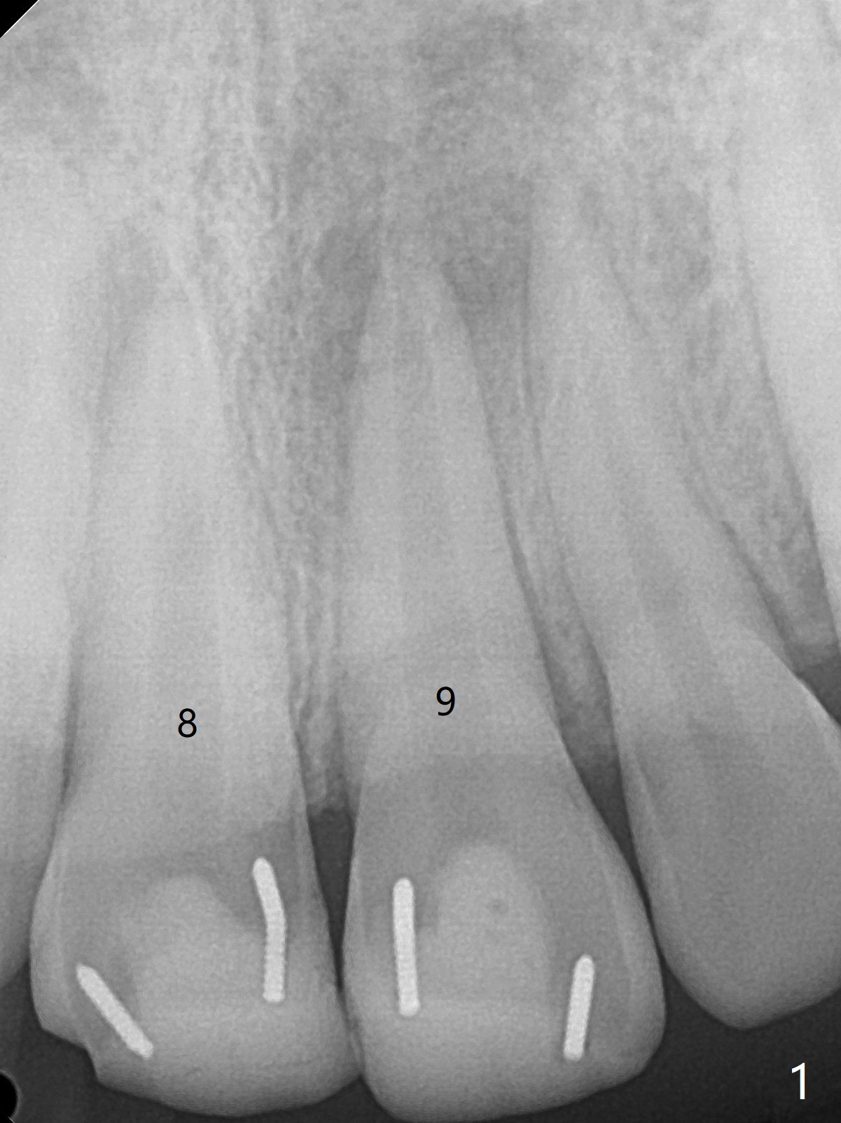
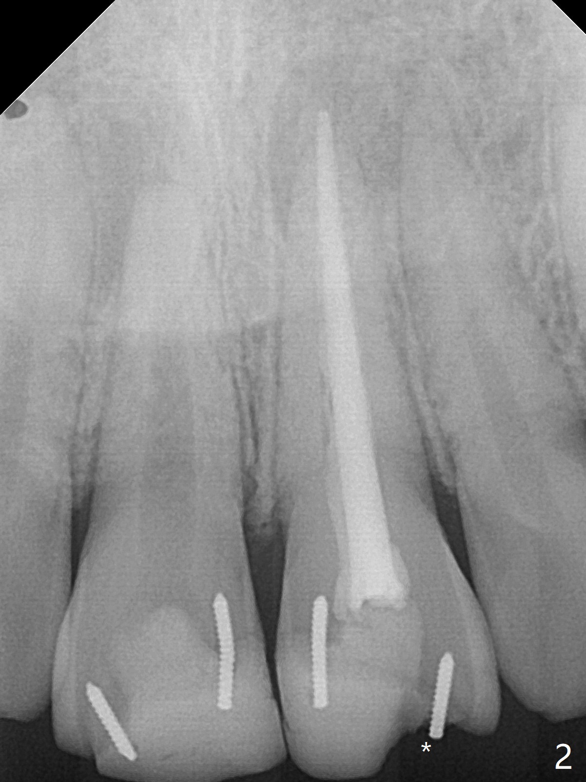
15岁男去年急诊来诊所左上1疼痛(图一:9号牙),两个中切牙8-9岁外伤,侧切牙活性测定:活髓,建议8,9 apexification。一年后(这个月)他又回来要求9号牙树脂修复(图二:*),他在马来西亚看望爸爸时,突然牙痛在那里做根管治疗。现在两个中切牙颊侧根尖都有触痛。树脂修补后,他回来做8号牙牙髓治疗,想象根管宽大,但是根尖2-3毫米根管弯曲,必须事先弯曲10号扩大针才能进入,最后扩大针是rotary file, 40/.04, 21.5毫米(图三),好像工作长度不够,仅仅增加半个毫米,使用15号扩大针,病人觉得疼痛(没用局麻药),不再扩大,保持原来根尖狭窄(可以吗?)。反复冲洗后放置氢氧化钙糊剂(图四),根管仿佛挺粗的,根尖根管还需要扩大吗?根尖片清晰度不好,看不出根尖闭锁与否,需要拍摄CT吗?需要使用MTA促进根尖关闭吗?
Return to Professionals Xin Wei, DDS, PhD, MS 1st edition 10/25/2020, last revision 12/07/2020