![]() |
![]() |
![]() |
![]() |
![]() |
![]() |
![]() |
根管治疗完成前漂白
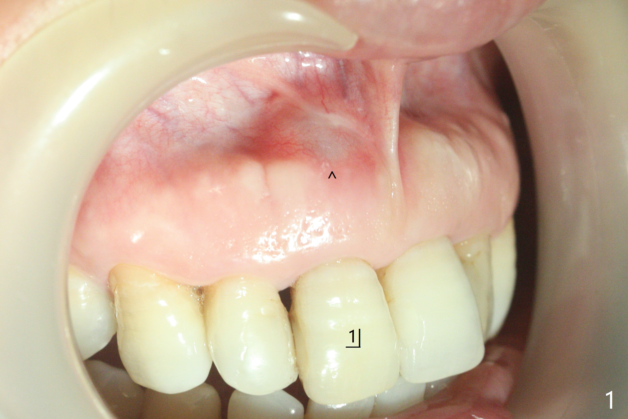
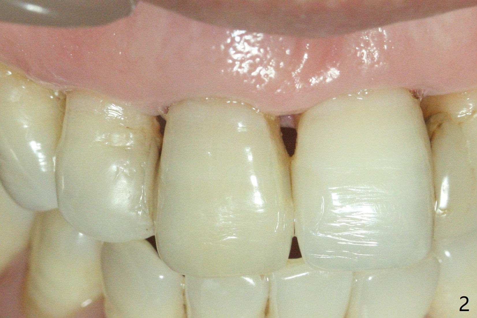
单个门牙变色往往是牙髓坏死所致,根管充填后做漂白,防止漂白泡沫跑到根尖孔之外,这种顺序可以改变吗?53岁女右上1根尖无痛性红肿(图一:^),牙冠变色(图二),牙髓测定:死髓,伴有根尖阴影(图三),中切牙需要根管治疗,什么时候漂白最好,步骤便利?根管治疗后做内漂白,必须把牙胶尖取出,釉牙骨质交界处之下,牙冠长,如这个病例,取出可能困难。我们准备尝试根管治疗当中做漂白,由于死髓牙,根管治疗可以不需要局麻,三个牙齿暴露在橡皮障之外(图四),以便术中漂白观察。根管治疗当中使用大量漂白水,好象并没有改善颜色(图五)。所以在根管口(图六)注入35%双氧水(漂白液,胶状),适当超越釉牙骨质交界处。万一双氧水气泡跑出根尖孔,我们将用生理盐水冲洗,不过这个意外没发生。双氧水也放置在患牙表面(外漂白),两次漂白后(每次20分钟),病人满意牙冠颜色改变(图七)。冲洗,擦干后,在根管中放置氢氧化钙糊剂。预约一个月后完成根管充填,如果牙冠颜色反弹,再次漂白。充填前需要多次冲洗,清除残余双氧水,后者抑制树脂固化。
Return to
Professionals
Xin Wei,
DDS, PhD, MS 1st edition 10/13/2020, last revision
10/13/2020