Crown Discoloration Shortly after MTA

Lisa is 9 years 11 months old when she came to office with mother on June 1, 2011.  Chief complaint is "she has pain when eating apple".  Dental history shows that she fell from bike a year earlier with mobility of  the tooth #9.

Initial exam shows that the crown of the tooth #8 is slightly discolored (not photographed) and #9 slightly labially shifted with mesioincisal edge chip.  There is no percussion, palpation pain or fistula associated with #8 or 9.  Pulpal vitality test (Endoice) shows that the teeth are reduced in response as compared to #7 and 10.  Pre-op PA shows that #8 canal is obliterated, whereas that of #9 is wide with open apex and + periapical radiolucency (Fig.1).

Tentative diagnosis: #8,9 s/p trauma, #8 degenerative change, #9 apical periodontitis.  Treatment plan: #8 RCT, #9 apexification with Ca(OH)2 and MTA

RCT was initiated on the same day of diagnosis.  The pulp of #8 is vital, whereas that of #9 is necrotic.  Debridement was finished with 40/.06 rotary file for #8 and #100 hand file for #9 with lubricant and copious irrigation with 3% sodium hypochlorite.  Apical portion of paper point was lightly stained with blood and exudate.  Ca(OH)2 paste (Ultradental) was applied to the canals of #8 and 9.

One month later (July 12, 2011), RCT was finished with gutta percha for #8, and white MTA (Dentsply, Tulsa) for #9 (M in Fig.2).  Approximately 8 mm of MTA was left in the canal.  Due to insurance coverage, composite build up was finished for #8, but not for #9.

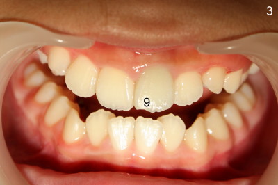
Two months later (September 03, 2011), the tooth #9 is found to be slightly discolored (Fig.3,4).

Treatment plan is to remove Cavit and cotton pellet from #9, start take-home and in office (if necessary) internal bleaching and finish composite build up.

Questions from Lisa's mom

Good Morning Dr. Wei,
 
Thanks for your email. I checked your website this morning and  have few questions:
1. Lisa's No. 8 tooth's color doesn't change, does it mean it will not change in the future?
2. For her No. 9 tooth, Lisa still need to come back one more time to finish the root canal, when do you suggest the bleach?
3. Does the insurance cover it? If it's covered, does Lisa has any available this year?
 
Thank you very much for answering my questions.
 
Lisa's Mom:
1.  The chance for #8 to change color is very little.  When root canal was done, the tooth was not dead, whereas #9 is.  Anyway, it is extremely difficult to remove permanent filling from #8.  In contrast, it is very easy to remove temporary filling from #9 for bleaching
2. Bleaching needs to be done as soon as possible to prevent further discoloration, although it is not obvious to you.  It would not take long for her to stay in my office for next visit.  After color changes to normal, permanent filling (white, composite) will be done immediately
3. Insurance does not cover it.  The fee should be within your budget

Discoloration of the tooth #9 is improved approximately 1 month of take home internal and external bleaching (Fig.5).  Fig.6 is a lateral view after brief in office bleaching (due to in-cooperation) and composite build up.

Xin Wei, DDS, PhD, MS 1st edition 09/05/2011, last revision 01/16/2012