![]() |
![]() |
![]() ![]() |
![]() ![]() |
Immediate Curettage of Fistula after RCT
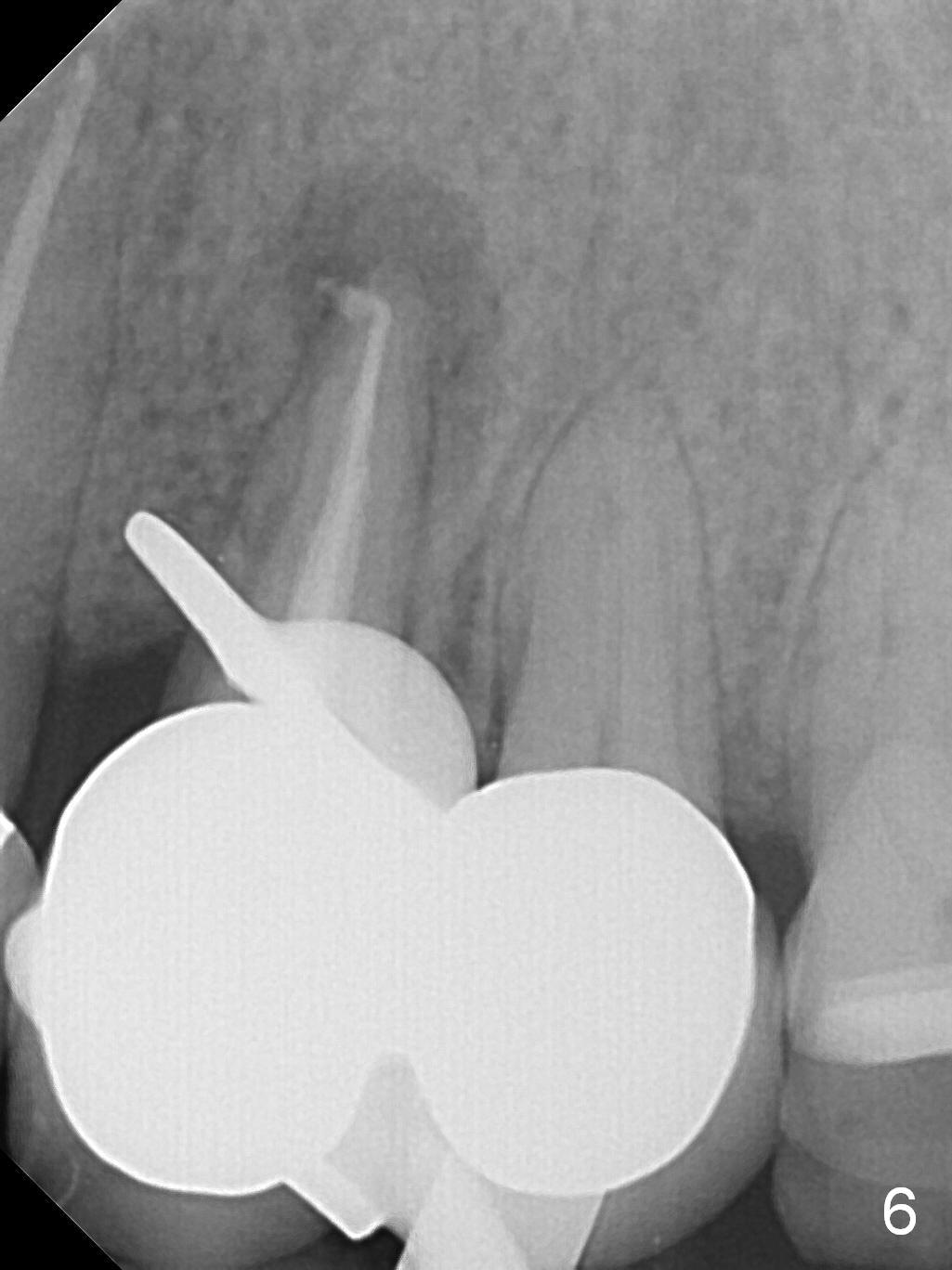
A 43-year-old woman has a persistent, asymptomatic fistula buccal to the tooth #12 (Fig.1,2). Prior to treatment, a #30 gutta percha is inserted into the fistula to confirm diagnosis (Fig.3). Hand files #15 and 20 are inserted to the buccal and lingual canals at 18 mm, respectively (Fig.4). Master cones (30/.04) are inserted buccally and lingually for 18 and 17 mm, respectively (Fig.5). There is minimal paste leakage after finishing RCT (Fig.6). Out of curiosity, the fistula is immediately curetted with removal of 2 small pieces of apparently leaked paste with minimal discomfort (total anesthetic: Xylocaine 34 mg, Epi 17 mcg). The fistula is expected to heal in 2 weeks.
Return to
Professionals
Xin Wei, DDS, PhD, MS 1st edition 12/24/2016, last revision 12/24/2016