![]() |
![]() |
![]() |
![]() |
![]() |
![]() |
![]() |
![]() |
Lower Incisor
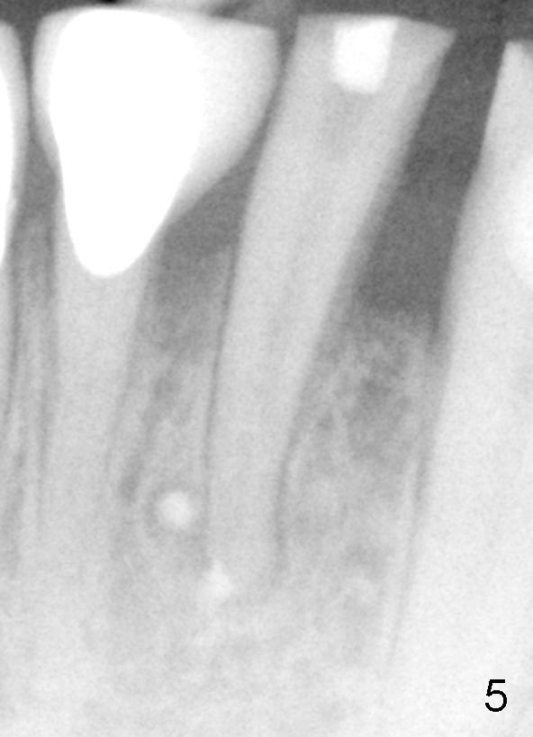
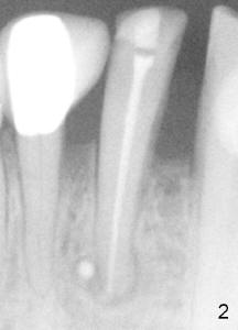
Sixty-two year old Chinese man presented to my office for new patient exam in June 2009. He has history of bruxism and wears night guard (Fig.1). The tooth #25 has incisal composite (*) with mild percussion. PAs show + PARL associated with #25 (Fig.2) and possible missing one canal (Fig.3; arrowheads point to possible 2nd root). RCT retreat was suggested. Extraction and implant were proposed as an alternative. In the next two 6-month appointments, he complained of mild pain in lower front tooth sometimes. RCT retreat was initiated on June 16, 2010. After removing composite, GP was removed with Chloroform and hand files. WL was determined by Root XZ at 15 mm. Debridement was done with hand files until #20 and rotary files until 30/.06 (Fig.4). The second canal was not found. It appears that some of GP was pushed outside of apical constriction (Fig.5 after Cavit). Twelve days later the patient returned to finish RCT retreat. It appears that symptoms improved after initiation of RCT retreat, although percussion is still mild. After removing Cavit and redebridement with #30 hand file, #10 precurved K file was inserted several times at different directions, hopefully getting into 2nd canal, which was not found. RCT filling was finished using AH Plus paste, master cone, lateral condensation with 1 medium fine accessory GP and vertical condensation (Fig.6). Composite build up was done immediately. Six months later, the patient insisted that pain is reduced substantially, but there is still mild percussion. PA shows persistent PARL (Fig.7 with outline with 2nd root (arrowheads)). Twelve months after RCT retreat, the patient is symptom-free, but objectively is not (including mild percussion and slightly enlarging PARL (Fig.8)). The 2nd canal is apparently lightly filled (red arrowhead).
What should we do now or if the tooth becomes symptomatic, RCT retreat, or apicoectomy? Placing an implant in the narrow space should be challenging. Bruxism is another fun game to play.
Xin Wei, DDS, PhD, MS 1st edition 06/14/2011, last revision 06/15/2011