![]() |
![]() |
![]() ![]() |
![]() |
Missing Canal or Root Fracture
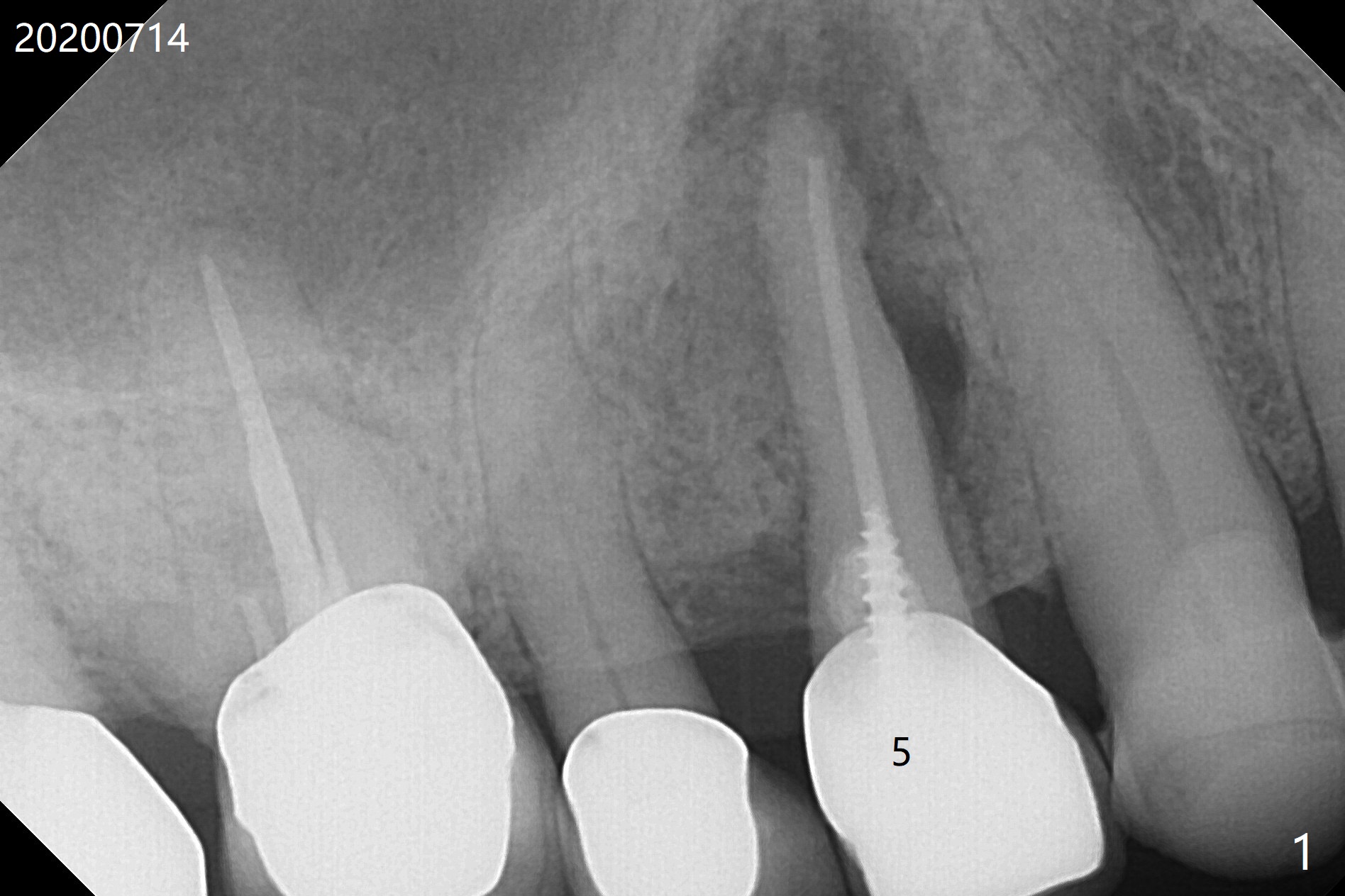
A 90-year-old man (bruxer) has porcelain fracture at #4. PA happens to reveal large PARL at #5 (Fig.1). CT taken a year ago shows missing buccal canal (Fig.2). Bone loss seems to be extensive (Fig.3,4 (root fracture?)). Access to the canal through PFM fails; the crown has to be removed (Fig.5). Fortunately the buccal canal is found and negotiable.
Return to
No Deviation
Clindamycin Metronidazole
No Antibiotic
Professionals
Shield
Webinars
Xin Wei,
DDS, PhD, MS 1st edition 07/16/2020, last revision
07/16/2020