![]() |
![]() |
![]() |
![]() |
![]() |
![]() |
![]() |
|||
How to Remove Post Conservatively?
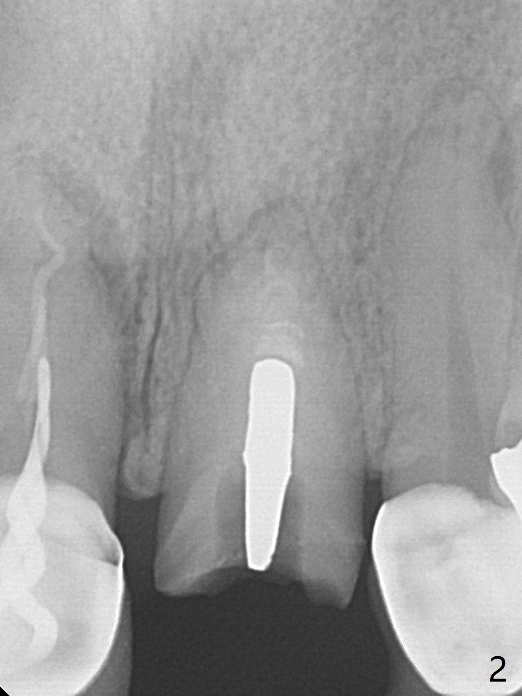
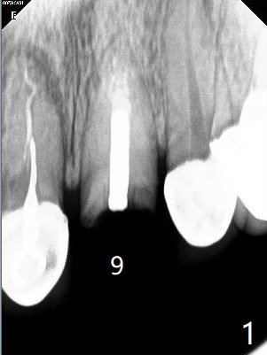
A 51-year-old woman with poor dentition has history repeated dislodged crown and post at #9. Finally the post fracture (Fig.1). After discussion of treatment options, she chooses to save the tooth. Treatment plan is to remove post, possible RCT retreatment, redo post and crown. The post remains stable following lengthy use of Piezo scaler (Fig.2). It appears that Piezo is quite aggressive, removing the tooth structure and the metal. Finally the coronal portion of the post is removed for cast post (Fig.3). There is approximately 2 mm for ferrule effect (Fig.4). The cast post is cemented with RelyX Ultimate and prepared for crown (Fig.5-7).
Return to
Professionals
Xin Wei,
DDS, PhD, MS 1st edition 06/12/2020, last revision
06/23/2020