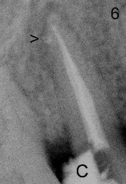
The lateral canal appears to be filled (Fig.6 arrowhead).  It is also shown during prefabricated post placement (Fig.6 P: post).  Return to the main text

Xin Wei, DDS, PhD, MS 1st edition 07/16/2011, last revision 07/16/2011