![]() |
![]() |
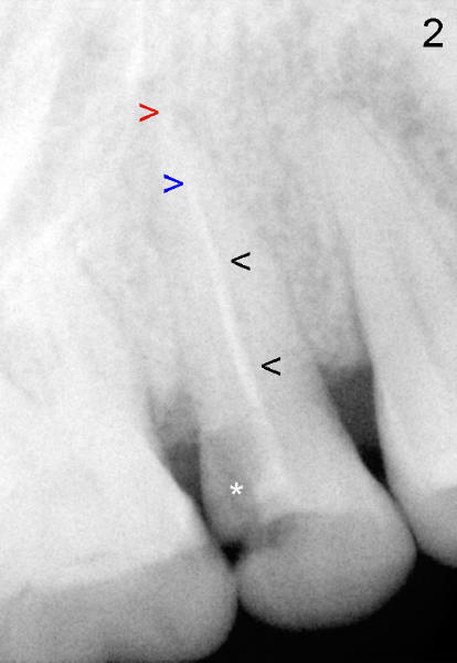
Why does this Premolar Become Reinfected after RCT (Introduction)?
A 50-year-old oriental lady comes to our clinic with chief complaint "I have toothache after filling comes out. Can you just place a filling back?". She had RCT done in her home country. Exam shows that the upper right 2nd premolar (#4) has DO caries (* in Fig.1 (mirror view after placement of rubber dam) ) and occlusal composite (arrowheads). This tooth has severe percussion and moderate mobility. X-ray confirms the DO carious lesion (Fig.2 *). It appears that root canal filling is short (between red and blue arrowheads) and that the filling is not solid. There is a space lateral to the filling (black arrowheads). It seems logical to redo the RCT by removing the old RC filling, extending debridement to the apex and condensing the space better. On re-opening the access, the situation is quite different. Can you guess what it is?
Xin Wei, DDS, PhD, MS 1st edition 07/15/2011, last revision 07/16/2011