![]() |
![]() |
![]() |
![]() |
![]() |
![]() |
通过陶瓷冠做根管治疗
通过陶瓷冠(当中有金属)做根管治疗,有个难题:使用Apex locator测量根管长度时,测量仪过度敏感,田智敏建议使用paper point吸干根管中水,可以正常使用Apex locator。本文介绍一种更简便吸干根管中水的方法。
倪先生左上有一个PFM(porcelain fused to metal)悬臂桥(图一:5-7),五号牙有根尖阴影(*),需要做根管治疗。本来应该撤桥,五,六号牙都需要做根管治疗(六号牙根管治疗不全),七号牙植牙。但是病人不想那么麻烦,好了,我们先做五号牙根管治疗。
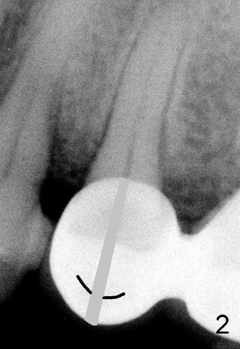
图二显示我们已经打开根管(灰色部分),黑线代表陶瓷牙金属部分,一旦水接触金属,Apex locator就不好用了。如果我们有一种方法使根管中水(图三红色)低于金属,Apex locator就能施展本领。我们在根管开口处插入外科吸管(图三绿色),水可以很快吸掉,水不再接触陶瓷冠金属。
我们平时使用普通高压吸管(图四白色,high vacuum suction tip),做口内修复,但是它头太大了,而外科吸管头特别小(淡蓝色,箭头),容易插入根管开口。
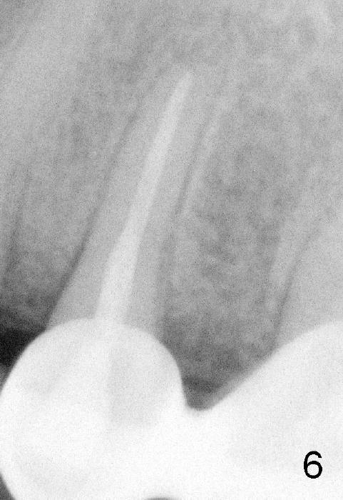
在倪先生五号牙根管治疗中,我们使用外科吸管,Apex locator很容易使用,插入主牙胶尖(图五),顺利完成根管治疗(图六)。
Xin Wei, DDS, PhD, MS 1st edition 07/13/2013, last revision 07/14/2013