![]() |
![]() |
![]() |
||
![]() |
![]() |
![]() |
||
RCT without Crown
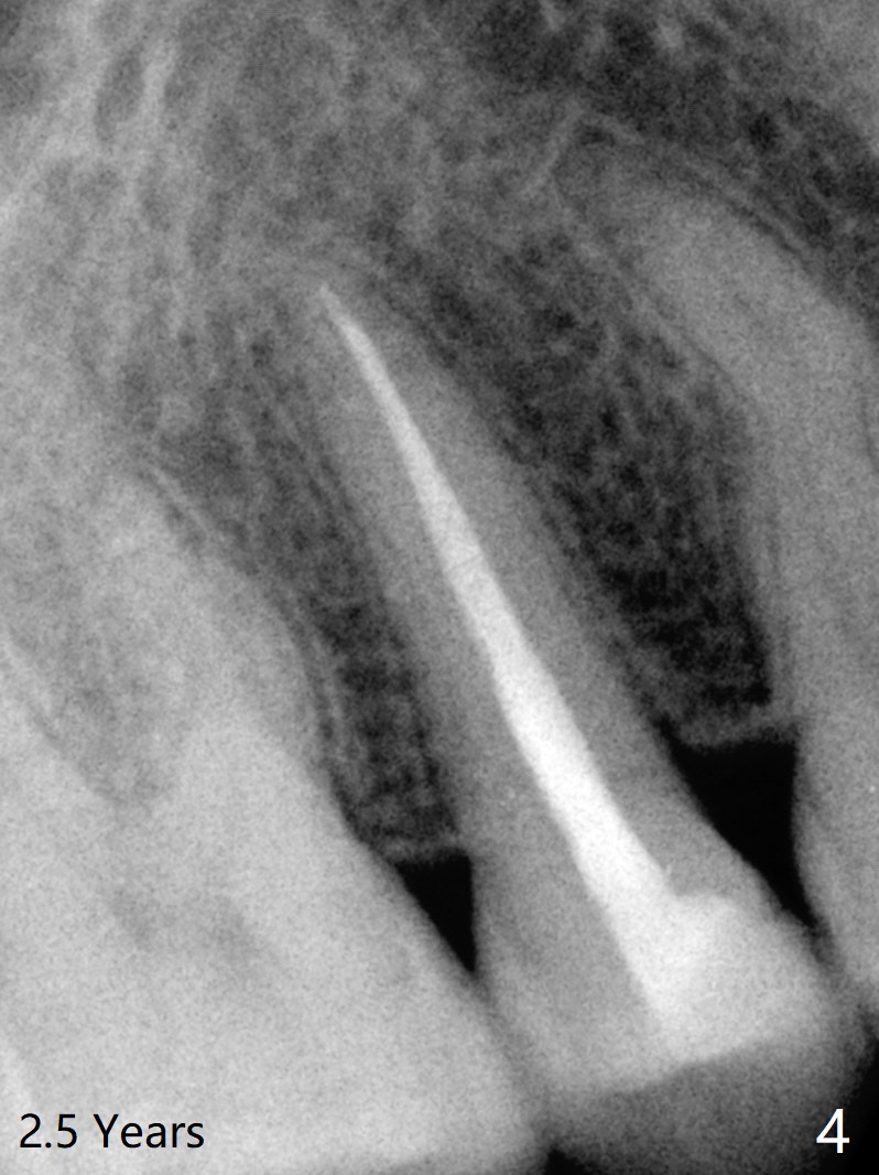
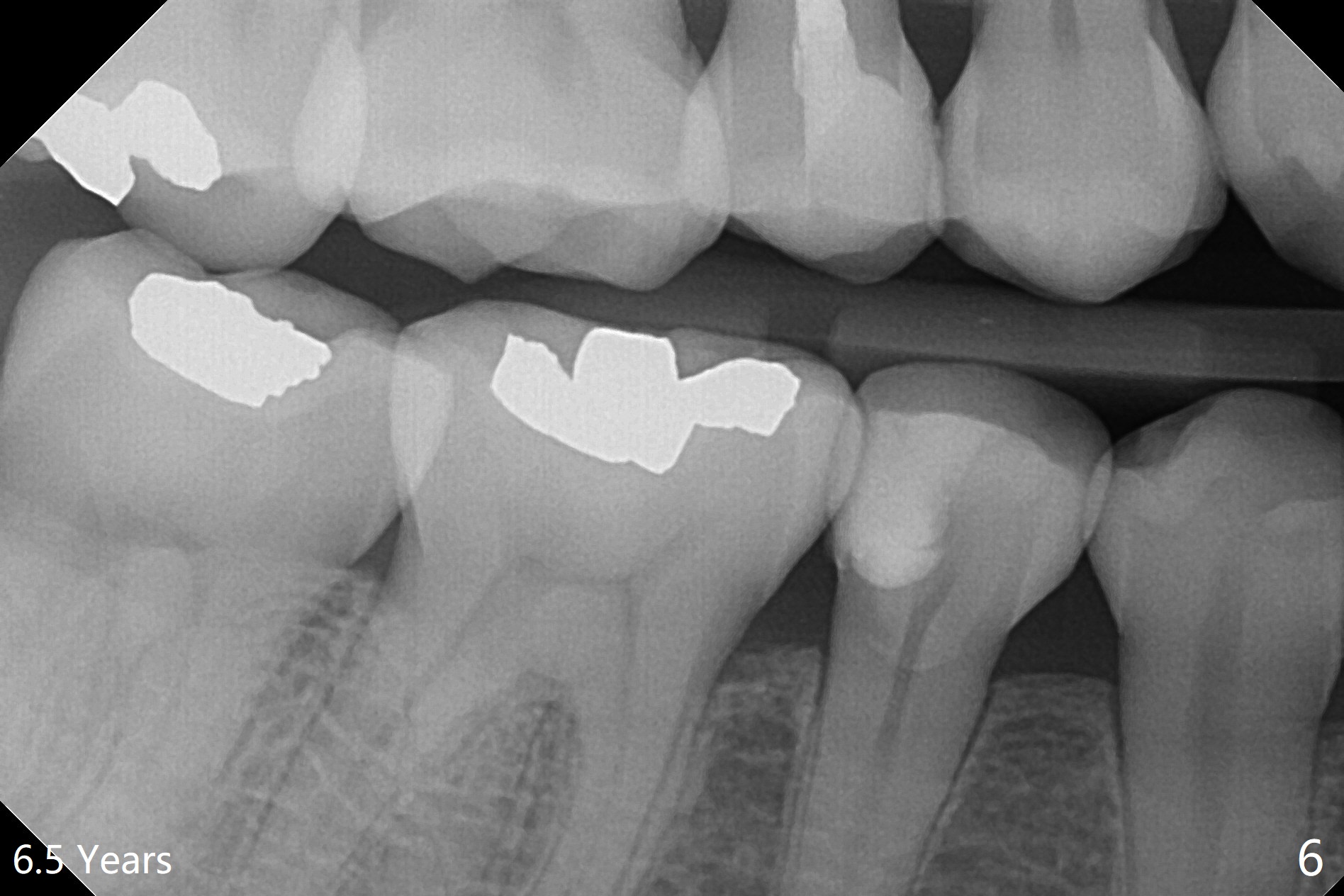
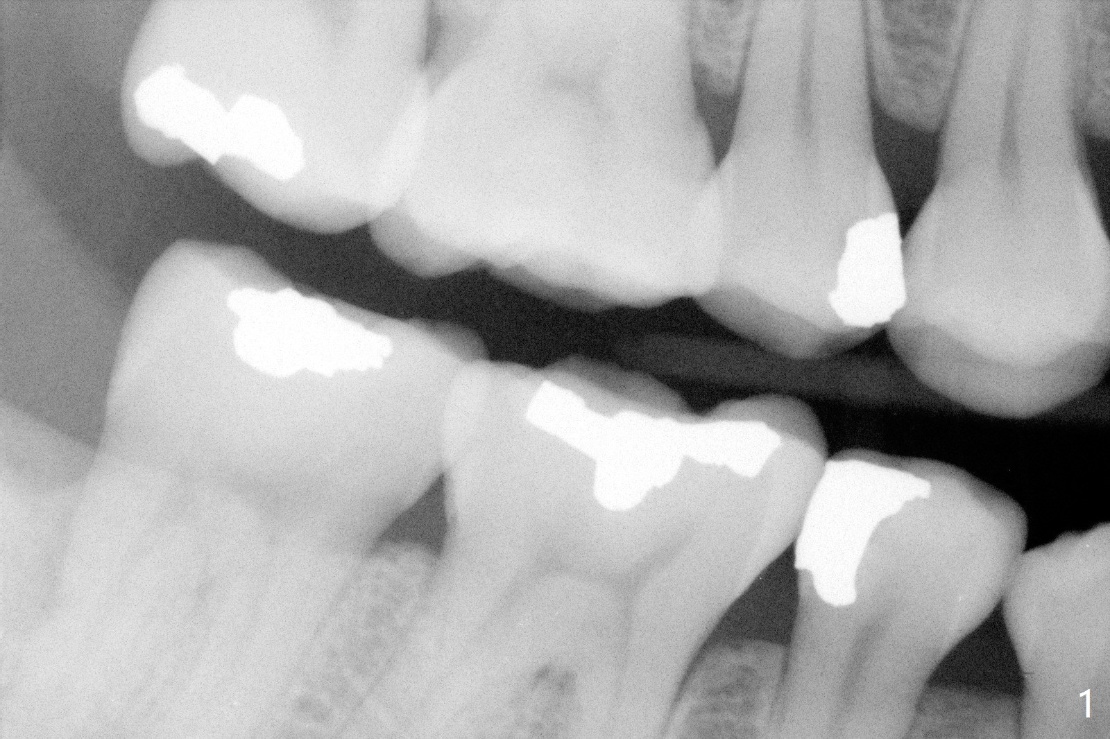
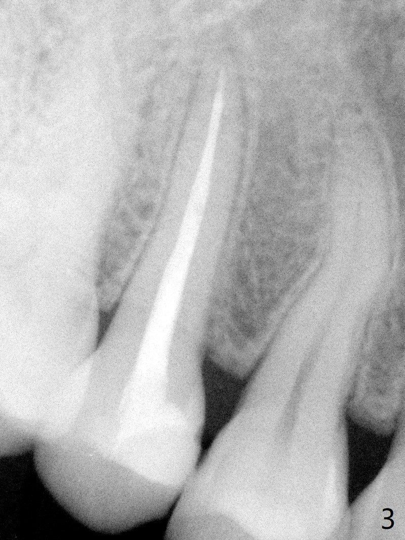
A 29-year-old woman presented to office with multiple amalgam restoration 7 years ago. The tooth #4 developed acute pulpitis 7 months later (Fig.2). The tooth has 2 fused canals; after RCT, composite was placed; after discussion, the patient chose no crown (Fig.3). There is no recurrent periapical radiolucency or tooth fracture 2.5 (Fig.4) or 6.5 (Fig.5,6) years postop.
Return to
Professionals
Xin Wei, DDS, PhD, MS 1st edition 09/13/2018, last revision 09/13/2018