![]() |
![]() |
![]() |
![]() |
![]() |
![]() |
![]() |
![]() |
![]() |
![]() |
||
Bond Fractured Lower Incisor
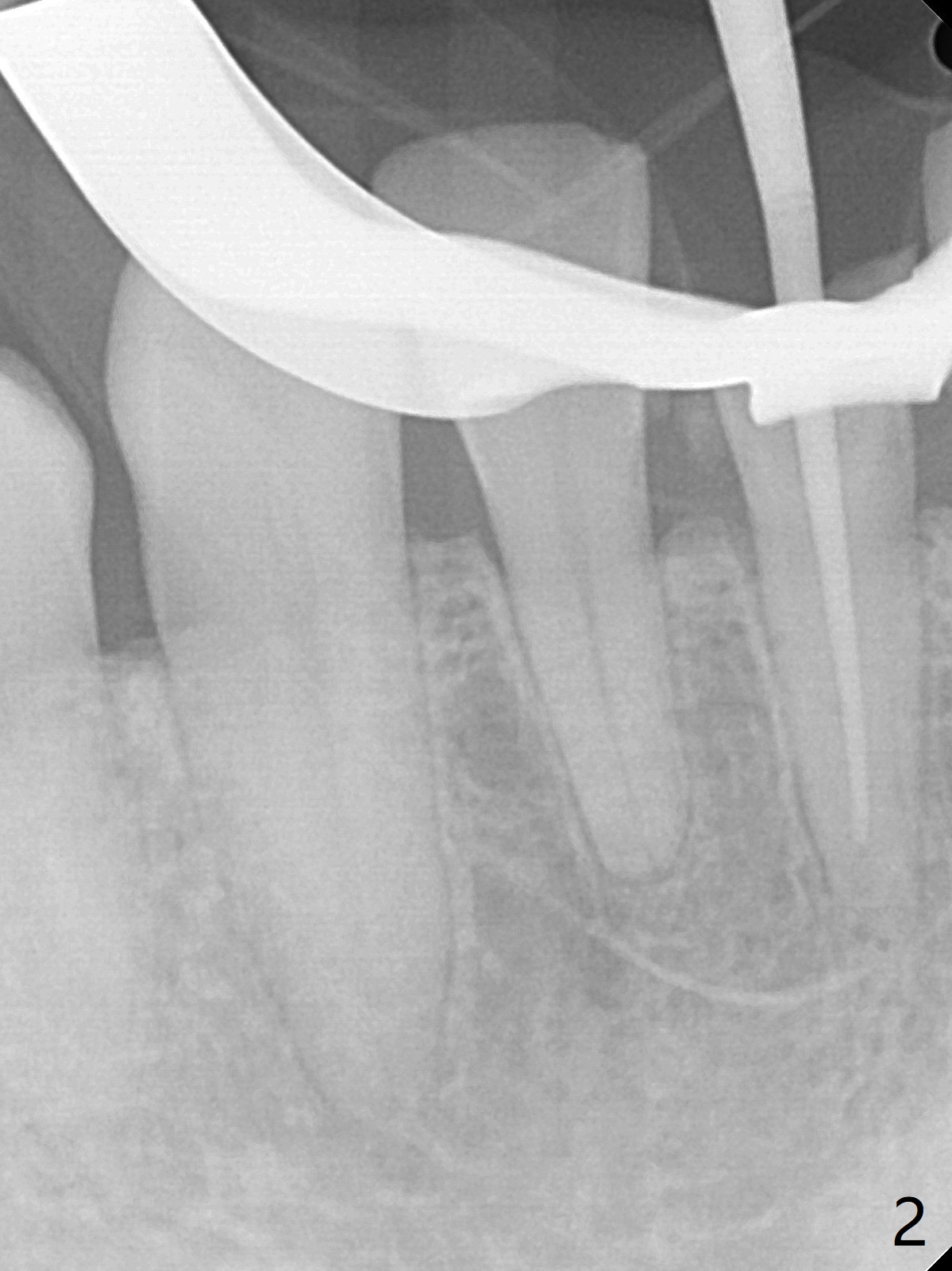
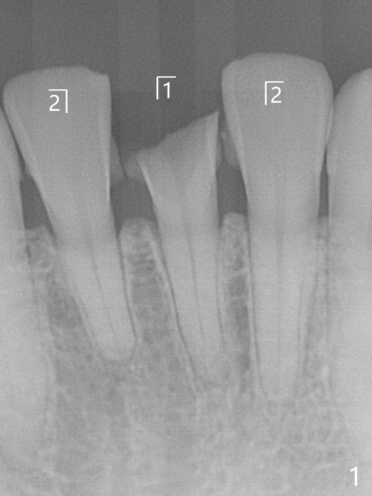
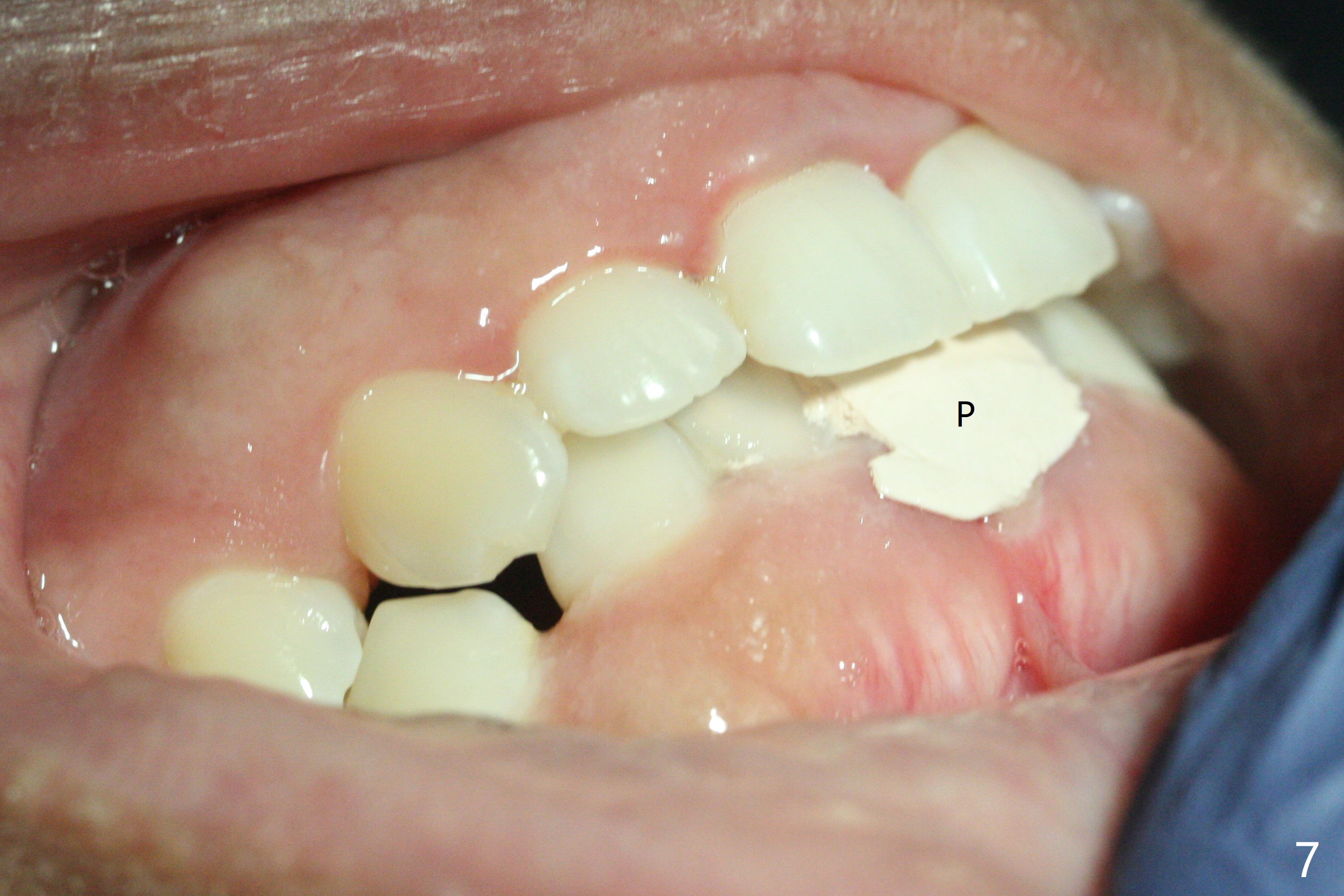
A 31-year-old woman fractured the lower left central incisor when it was hit by her 2-year-old son's head with mesiobuccal subgingival margin (Fig.1). After RCT (Fig.2), gingivectomy is conducted with eletrosurg to expose the fractured margin (Fig.3). In 2 days, a prefabricated fiber post will be bonded with the tooth and the fractured fragment together. To extend the use of the incisor, two implants are required (Fig.4). As scheduled, the patient returns with the fractured portion (Fig.5,6 (buccal (B) and lingual (L) views)). The periodontal dressing is in place (Fig.7 P). After preparation of the post space, the fiber post (Fig.10 (P)) is bonded with resin cement (Fig. 10 ^ and *) to the tooth and fragment with rubber dam (Fig.8). The patient is pleased post occlusal adjustment (Fig.9).
Return to
Professionals
Xin Wei, DDS, PhD, MS 1st edition
02/23/2019, last revision
02/25/2019