![]() |
![]() |
![]() |
![]() |
![]() |
![]() |
根管治疗要领
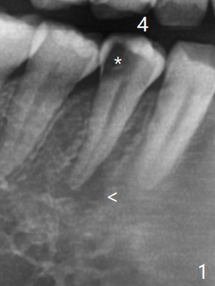
25岁硕士生,女,要求右下4补牙(图一:第一前磨牙),经过解释,欣然接受根管治疗。后者要领基本四条:无菌,根管笔直通畅,使用根尖定位仪和旋转式锥形扩大针和锥形牙胶尖。为了无菌,局麻后常规使用橡皮障(图二 *)。防止断针,尤其是旋转式锥形扩大针,根管治疗开口尽量大(图二箭头),保持扩大针笔直。开始根尖定位仪有点毛病,使用15号锉测定根管长度,不小心超越根尖大约3毫米(图三)。后来倒退4毫米,并得到根尖定位仪证实,主牙胶尖(30/.06)好像长度合适(图四),反复冲洗,最后再插入一个细牙胶尖一次性完成根管治疗和补牙(图五,六)。
承松根管治疗步骤:失活,开髓,抽髓,根测量长度,扩根,封药,根充
Return to
Professionals
Xin Wei,
DDS, PhD, MS 1st edition 08/24/2020, last revision
08/24/2020