![]() |
![]() |
![]() |
![]() |
![]() |
怎么解决临时牙冠颜色?
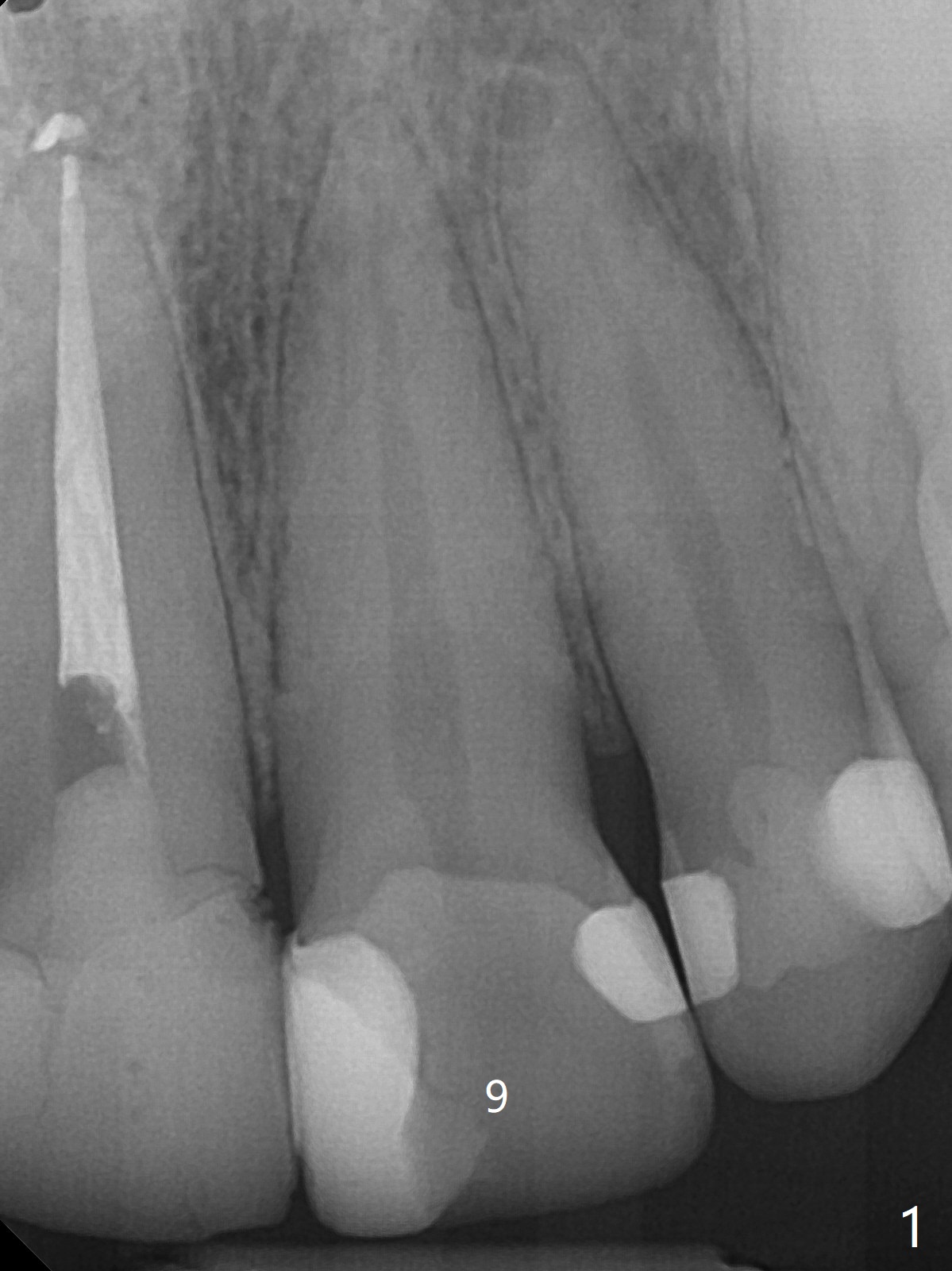
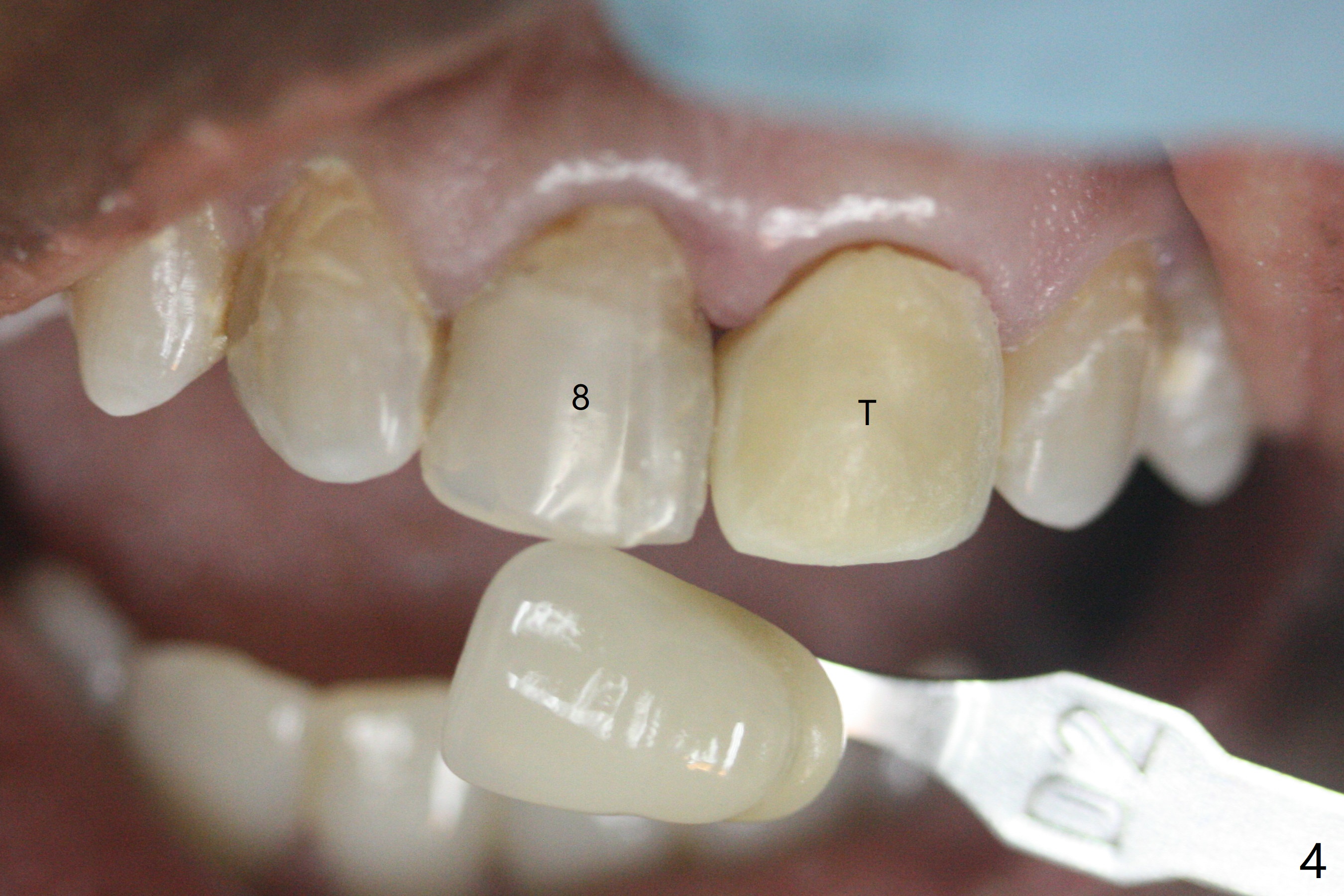
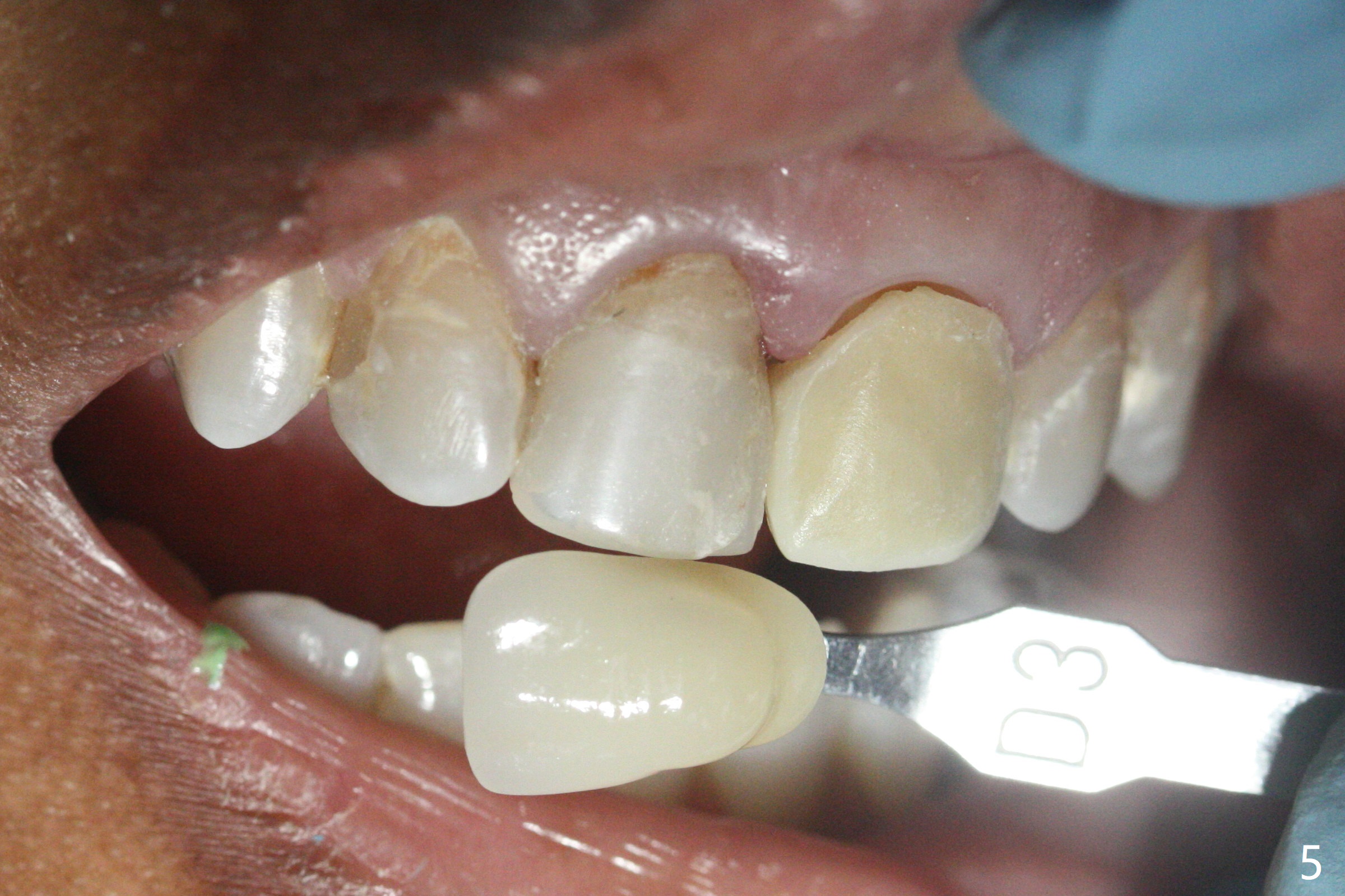
36岁女,9号牙树脂修补多次(图一),最近对冷热敏感,计划牙冠制备(如果不再敏感,再约一次与8号牙一起制备取模;如果敏感,9号牙根管治疗),使用Polycarbonate
Crown(图二,三)和Bosworth Trim II (Temporary Resin Acrylic
(D3)做内衬里)做临时牙冠。由于前者显得黄,而病人牙齿灰,她突然不满意,后来我们把临时牙冠表面磨掉,用Temporary
Resin Acrylic (D3)做外衬里(图四,五),勉强过关。大家如何处理这个难题?能买到类似Omnichrome树脂(composite)临时牙冠外壳?反映下面牙齿颜色。海平:临时牙冠facial
表面磨掉,加Composite。卢勇:我建议临时牙冠不要做的太好。如果你的临时牙冠做的太好了,病人会对最后的牙冠的期望值更高,门牙的单颗牙冠是很难做的跟旁边对称的,到那时麻烦更大。
我会竭力劝说别人做两颗门牙冠。如果做一颗,我一定要事先千方百计的降低她的期望值,不管是临时牙冠和最后牙冠。
Return to
Professionals
Xin Wei,
DDS, PhD, MS 1st edition 06/12/2021, last revision
06/13/2021