![]() |
![]() |
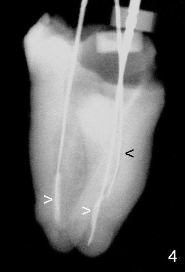
Why does RCT Fails in Abutment Tooth?
The void in the mesial root turns out to be a missing mesiobuccal canal (Fig.4,5 black <). Initially, RCT filling material is difficult to remove from apical portion of the distal and mesiolingual canals (Fig.4 white >), while the apical portion of the mesiobuccal canal is obliterated.
The most apical portion of the distal canal is found to be blocked (Fig.5 white >) when filling material is removed. The blockage is pre-existing, since it is present in Fig.4. The mesiobuccal canal (Fig.5 black <, #10 hand file) fuses with the mesiolingual canal (*, 30/.06 rotary file) before exit at apical foramen. Return to main text
Xin Wei, DDS, PhD, MS 1st edition 09/20/2011, last revision 09/21/2011