![]() |
![]() |
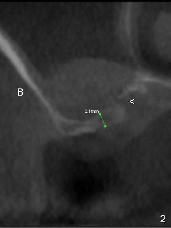
Implant in Thin Sinus Floor
A 48-year-old lady has severe bilateral sinus pneumotization, especially at the right 1st molar (Fig.1 CBCT). The sinus floor is 2 mm thick (Fig.2 coronal section). Sinus lift may require lateral window approach (Fig.2 B (buccal). Implantation may be accomplished at the same time (Fig.1). * in Fig.1: mucocele; < in Fig.2: possible perforation. An implant will be placed at #31 later.
Return to
Upper Molar Immediate Implant
Xin Wei, DDS, PhD, MS 1st edition 12/12/2015, last revision 12/13/2015