![]() |
![]() |
![]() |
![]() |
![]() |
Collagen plug is used to repair the perforation before placing a short (5x7 mm) IBS implant with ~ 25 Ncm (Fig.2). After placing a 6.5x5.7(3) mm abutment, allograft is placed around the most coronal exposed implant thread (^).
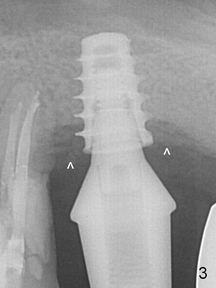
New bone forms apically and coronally 4.5 months postop (Fig.3^). After changing to 6.5x6(2) mm abutment, a new provisional is fabricated so that it can undergo progressive loading for a few months before final impression. The definitive restoration is delivered 7.5 months postop (Fig.5). The bone density apical to the implant becomes apparently denser nearly 5 months post cementation (Fig.6). The bone density in the crest increases 2 years post cementation (Fig.7 *).
Xin Wei, DDS, PhD, MS 1st edition 06/05/2019, last revision 06/05/2019