![]() |
![]() |
![]() |
![]() |
![]() |
![]() |
![]() |
![]() |
|
![]() |
![]() |
![]() |
Immediate Provisionals for Sinus Graft
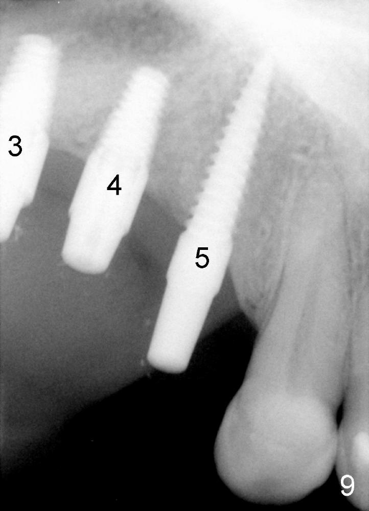
When the patient arrives at the office for sinus graft, the most important thing for her is to have two provisionals in the premolar region postop (Fig.1: #4,5; >: suture left from previous surgery). These existing provisionals appear to interfere with sinus lateral window incision and removed. So is the mini-implant.
When the sinus membrane is lifted, osteotomies are made at the sites of #2-5 (Fig.2) with insertion of taps at #2 and 3 and reamers at #4 and 5.
A 3.5x17 mm one-piece implant is placed at #5 and a 4x11 mm two-piece at #4 with crack line buccally (Fig.3 <), while a 4.5x11 mm tap is in place at #3.
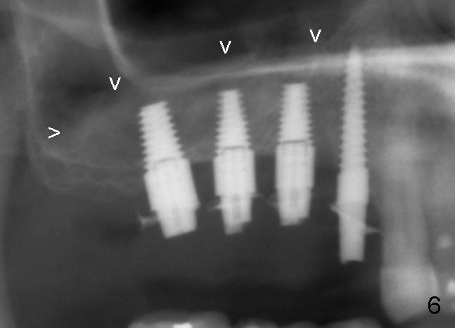
Fig.4 shows 4 implants in place with implant apex sticking into the sinus (>, which will be covered by bone graft). Fig.5 is a PA taken post bone graft, while Fig.6 is a section of panoramic X-ray showing the boundary of bone graft (arrowheads) after cementation of a provisional bridge. The latter satisfies the patient's request for cosmetics.
The patient has symptoms of coughing, purulent nasal discharge approximately 10 days postop in spite of the fact that oral Amoxicillin is changed to Augmentin 7 days postop. Flagyl is added 12 days postop. It appears that discharge is reduced, although coughing is persistent.
The provisional bridge is removed for exam 15 days postop. There is no oral infection. The bridge is recemented. Pan is taken (Fig.7). Finally the sinus infection resolves.
Three months postop, new bone appears to form (Fig.8 red line) on the top of the existing bone (white line). The vertical PA taken at the same time (Fig.9) shows bone formation around the other implants.
There is no apparent bone loss around the implants 13 months post immediate provisional, 5 months post cementation of non-splinted permanent restoration (Fig.10,11).
Return to Sinus Graft,
Posterior Immediate Provisional
Xin Wei, DDS, PhD, MS 1st edition 05/30/2014, last revision 06/20/2015