![]() |
![]() |
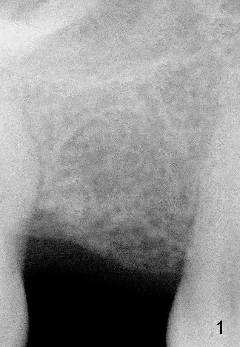
The bone density in the middle of the edentulous area is low (Fig.1 (PA taken immediately pre-implantation; 3.5 years post-extraction ), corresponding to the residual roots (Fig.1' (3 years prior to extraction). Bone expansion and condensation is necessary.
Bone Expander & Implant Last Next
Xin Wei, DDS, PhD, MS 1st edition 12/12/2014, last revision 08/22/2019