![]() |
![]() |
|
|
|
|
Immediate Implant in a Upper First Premolar
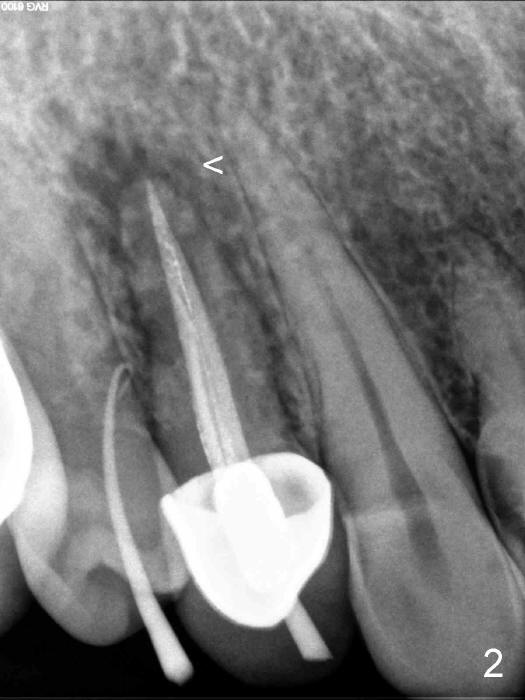
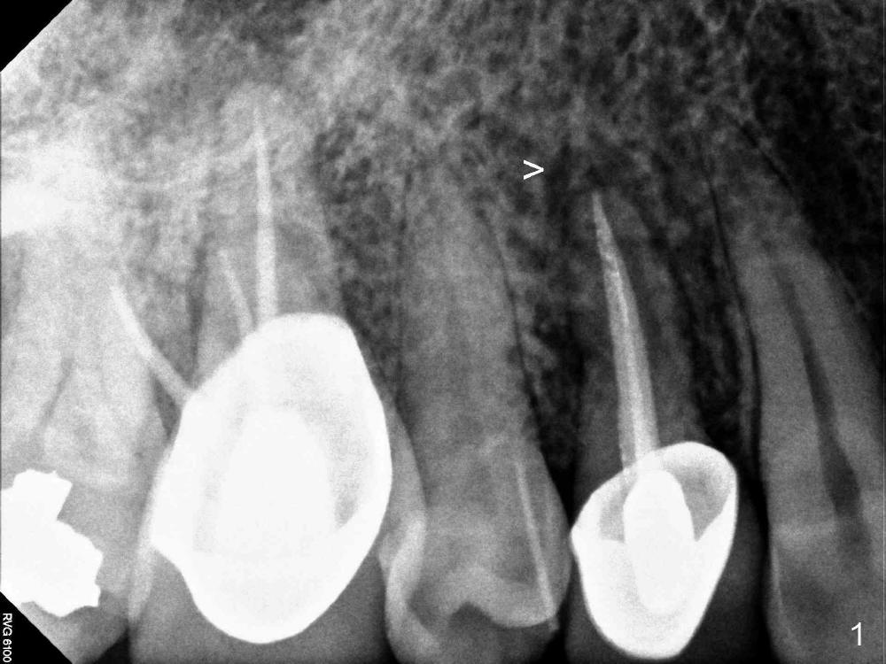
A 60-year-old man has had a fistula for several months (Fig.1,2). Plan A is to place a SM implant (4.5x14 mm, Fig.3), cemented abutment and immediate provisional. After atraumatic extraction, a 2 mm pilot drill is used to create osteotomy at the depth of 14 mm, followed by 2.5 and 3.0 mm reamers at the same depth and insertion of 4.5 mm tap drill with slow handpiece to determine whether there is enough stability. If yes, place the implant mentioned above. If not, use a longer implant. Do you have a 18 mm bone-level implant (UF)? If not, I will bring a 4.5x20 mm gingiva-level tapered or straight implant.
The socket of an upper first premolar is oval (Fig.5), whereas majority of implants are rounded. It is always a mismatch. An implant that matches the shape of the socket most closely is "D" Plateau Implant (Fig.5 insert, Fig.6). The D implant that is appropriate for your case is called D2. It is 20 mm long (Fig.4). On cross section is 5.5 mm wide and 3.5 mm tall at crest (widest portion, Fig.6 insert). The D implant is tapped in. Immediate provisional can be installed. Are you interested in the D implant? Crown forms are needed for the provisional.
I may return for restoration if necessary.
What does CT exam offer to design of implant placement?
Xin Wei, DDS, PhD, MS 1st edition 02/25/2014, last revision 03/02/2014