A 4.5x17 mm tap (Fig.2 T) is inserted 8 mm deep with binding to the septum. It appears that the sinus floor (black >) has been penetrated (in fact the septum height is ~5 mm), but the osteotomy has not reached the apex (white >) of the palatal (P) socket.  Then the tap is advanced ~ another 3 mm.  MB: mesiobuccal; DB: distobuccal socket.

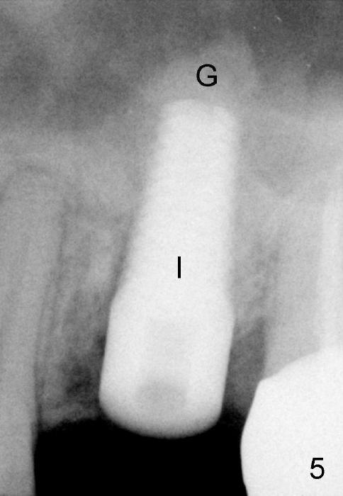
Mixture of autogenous bone from reamer, allograft and synthetic bone is placed in the mesiobuccal and palatal sockets before placement of the 6x17 mm implant (Fig.5 I).  Unfortunately some of graft blocks the apical osteotomy.  To clear the blockage, some of previous osteotome and taps are re-inserted.  The result is in fact beneficial, as bone graft (G) is pushed upward.

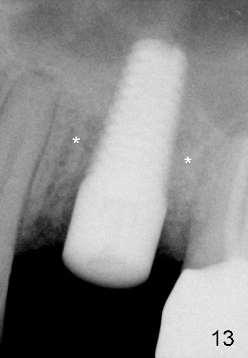
Four months postop, bone around the implant looks consolidated (Fig.13 *).

Return to Why Deep? Last Next

Xin Wei, DDS, PhD, MS 1st edition 05/29/2013, last revision 10/02/2014