![]() |
![]() |
![]() |
![]() |
![]() |
|
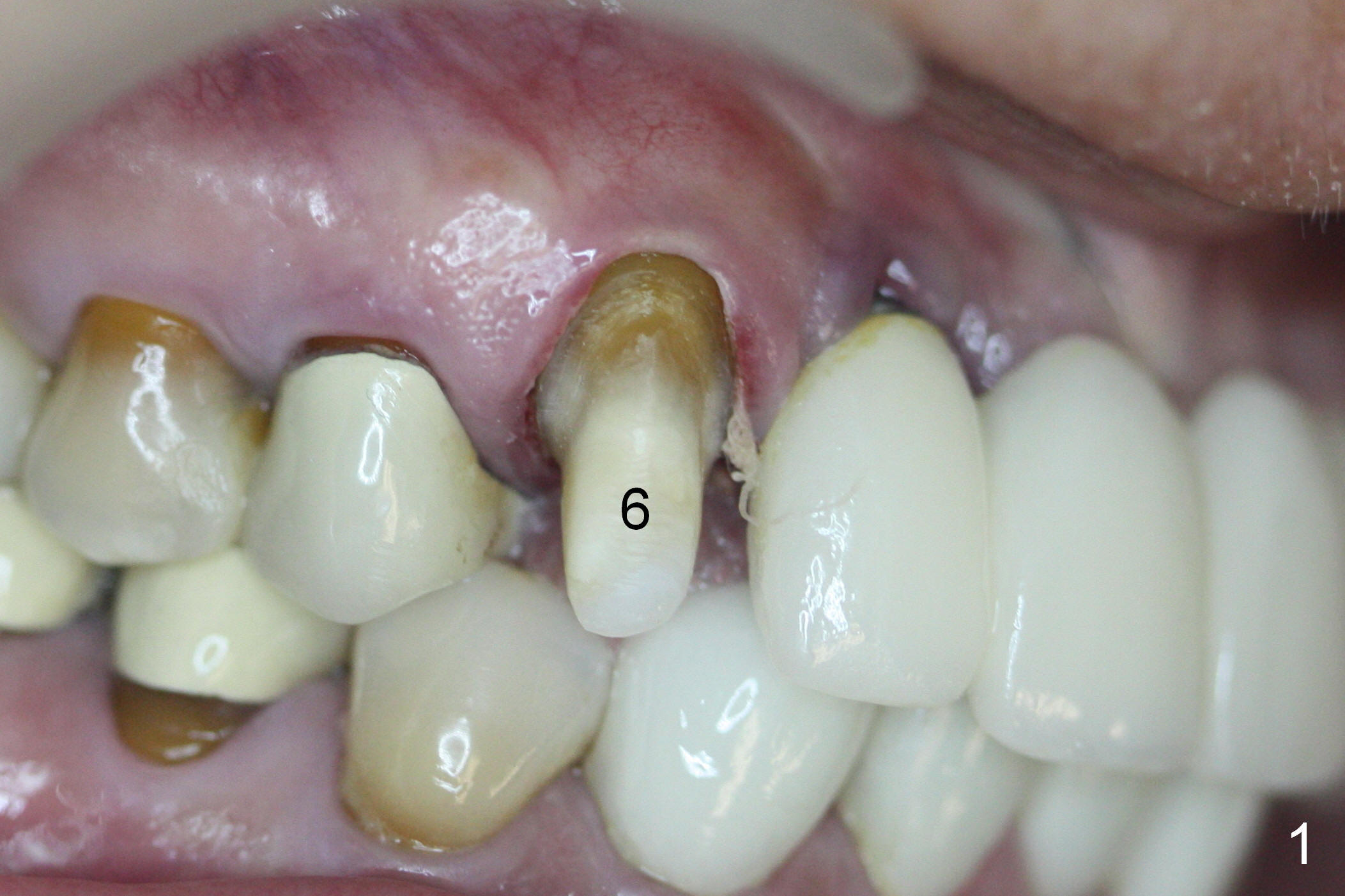
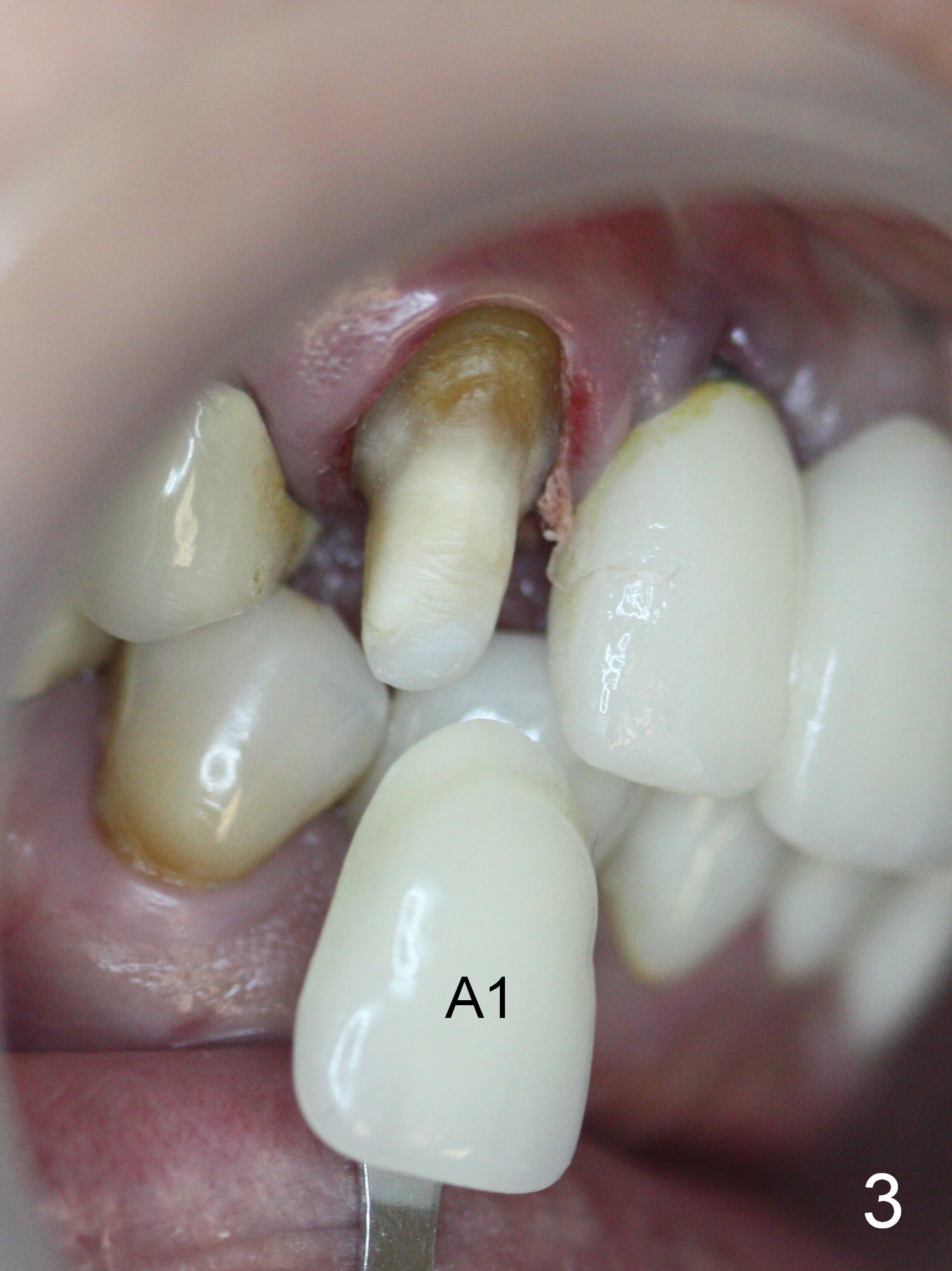
Crown Remade
A 46-year-old lady (SE) has had #6 crown (Fig.1-3), 7-10 implant supported PFM bridge (Fig.5) and #11 veneer (Fig.4,5) for 7 years. The crown is re-prep for a new crown with stump shade (Fig.2) and A1
Return to
Technicians
Xin Wei, DDS, PhD, MS 1st edition 09/17/2015, last revision 09/17/2015