![]() |
![]() |
![]() |
![]() |
![]() |
![]() |
![]() |
![]() |
Occlusion for Peg Laterals
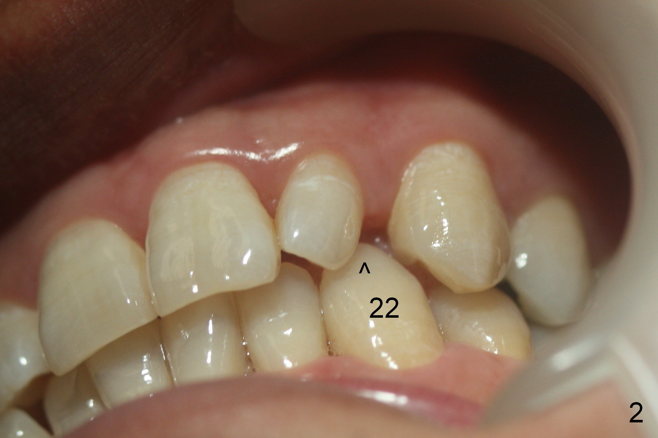
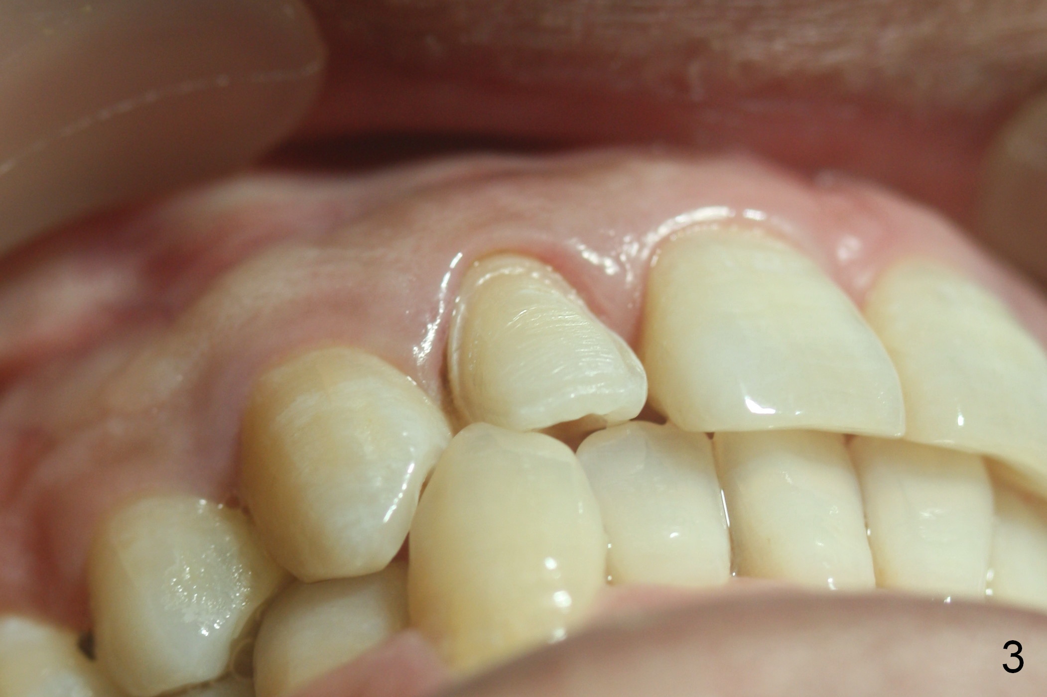
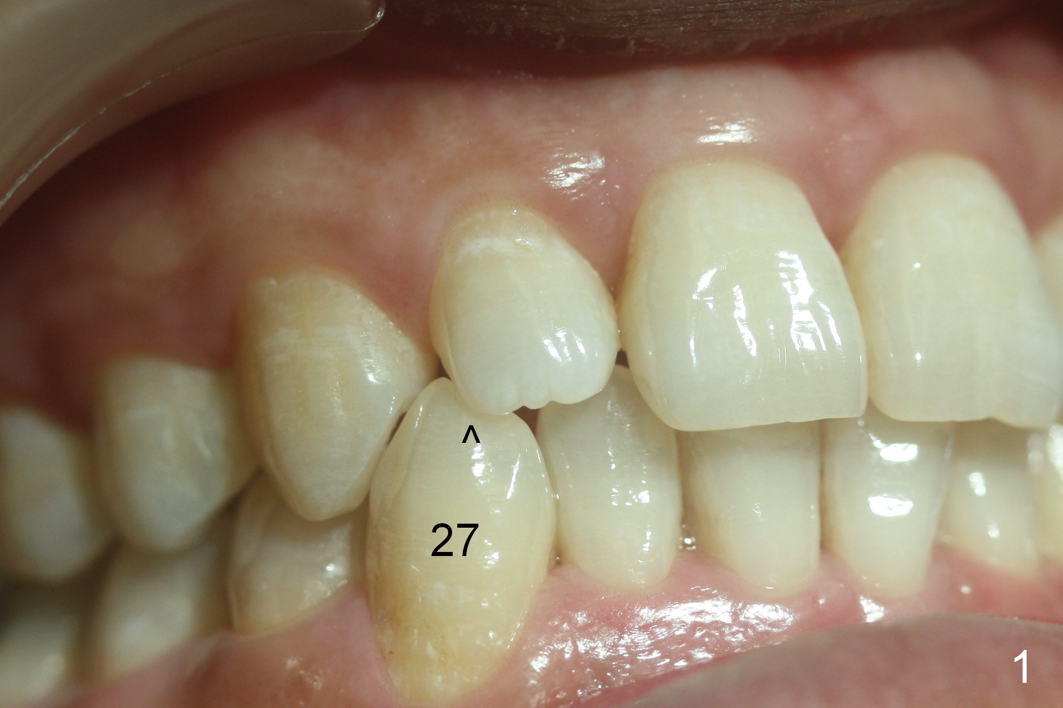
A 36-year-old man (YD) has peg laterals and wants to improve the appearance. To make the laterals look wider and longer, the interference on the opposing teeth (#22,27 in Fig.1,2) may need to be removed (^). Please make note of such adjustment. It seems that pre-prosthetic orthodontic treatment is more ideal.
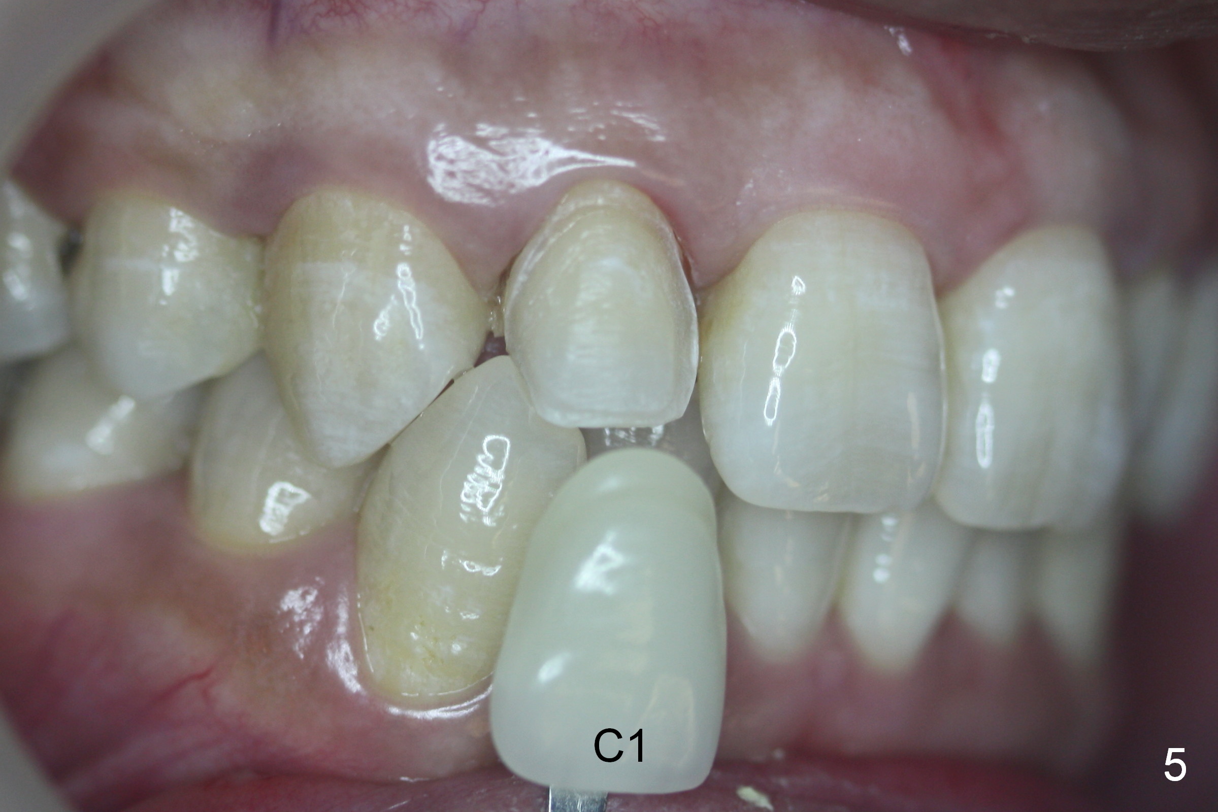
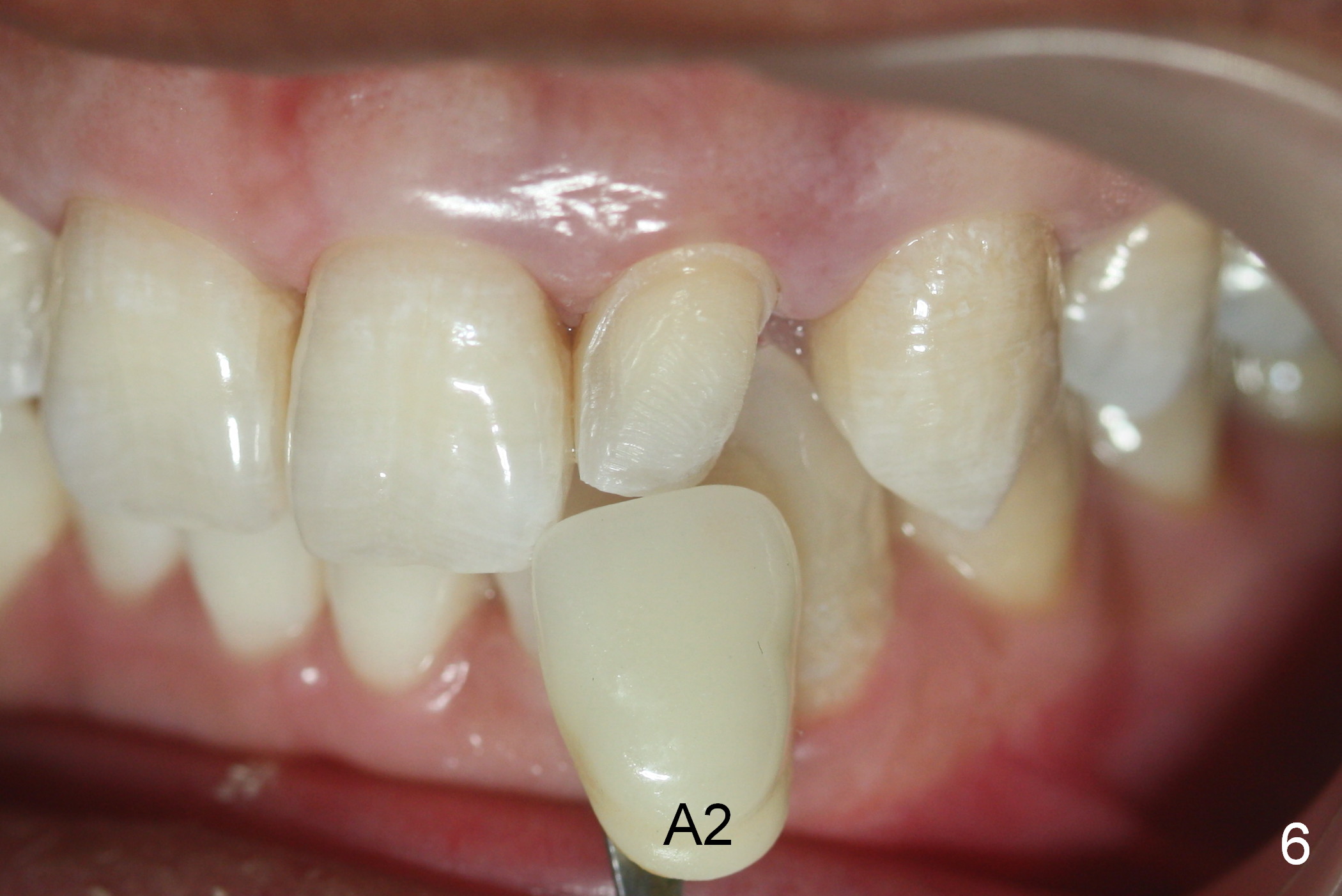
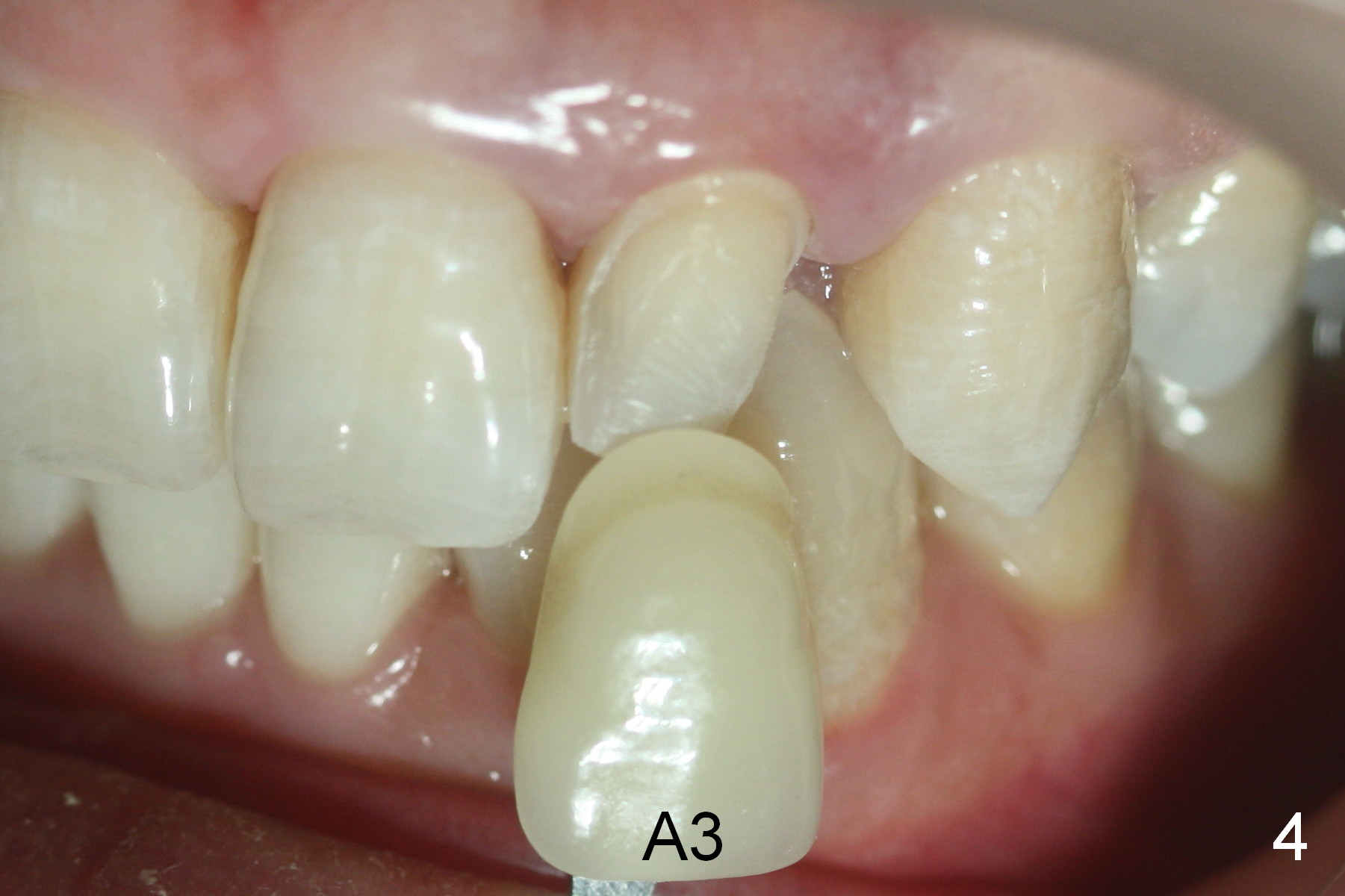
Clinically, C1 appears to be the most appropriate shade for this case (body and incisal portion, Fig.5), while A2 for the cervix (Fig.6). Please call me about the proper material for veneers after you review the case. Thanks.
Veneer cementation is special.
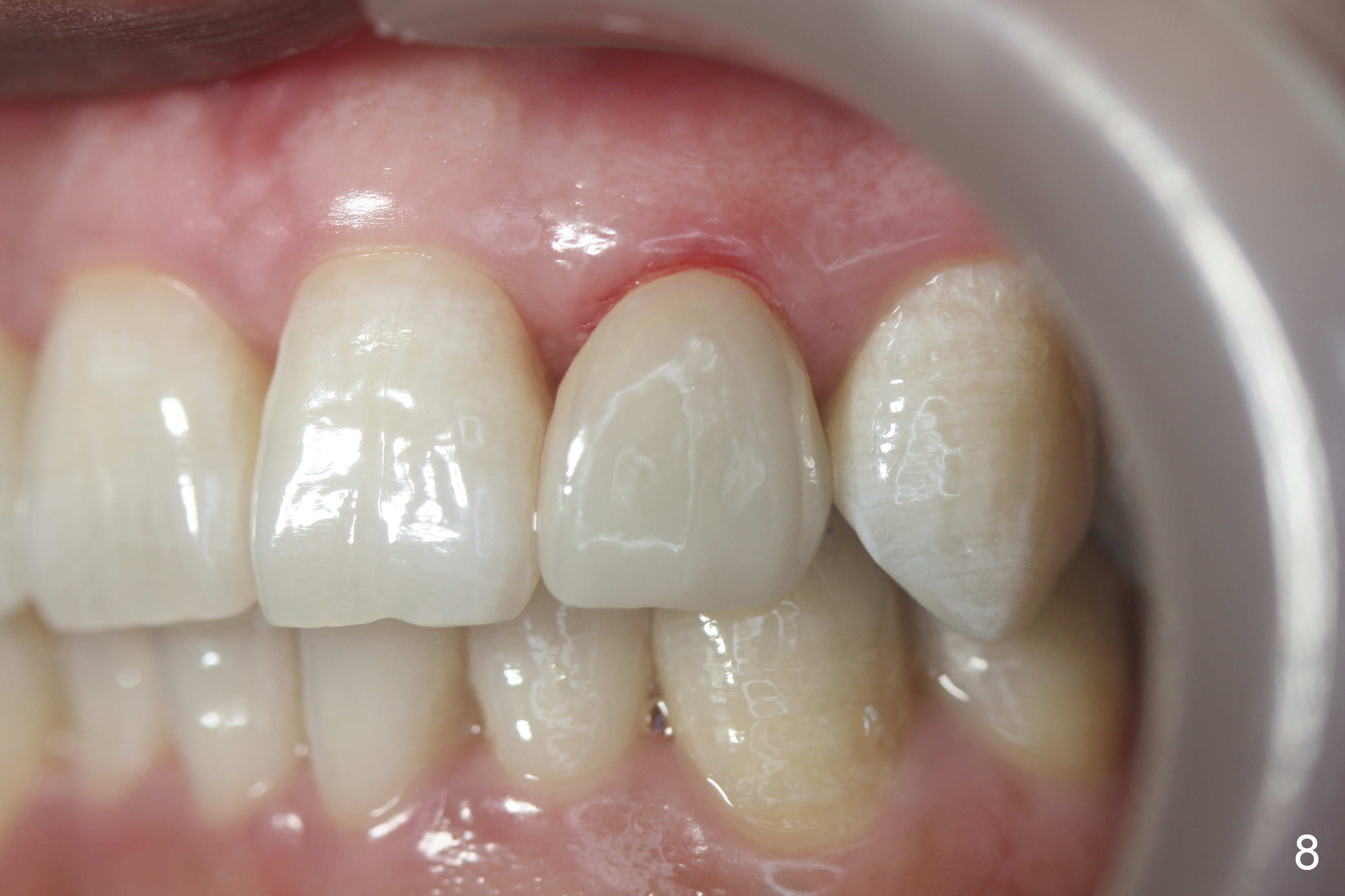
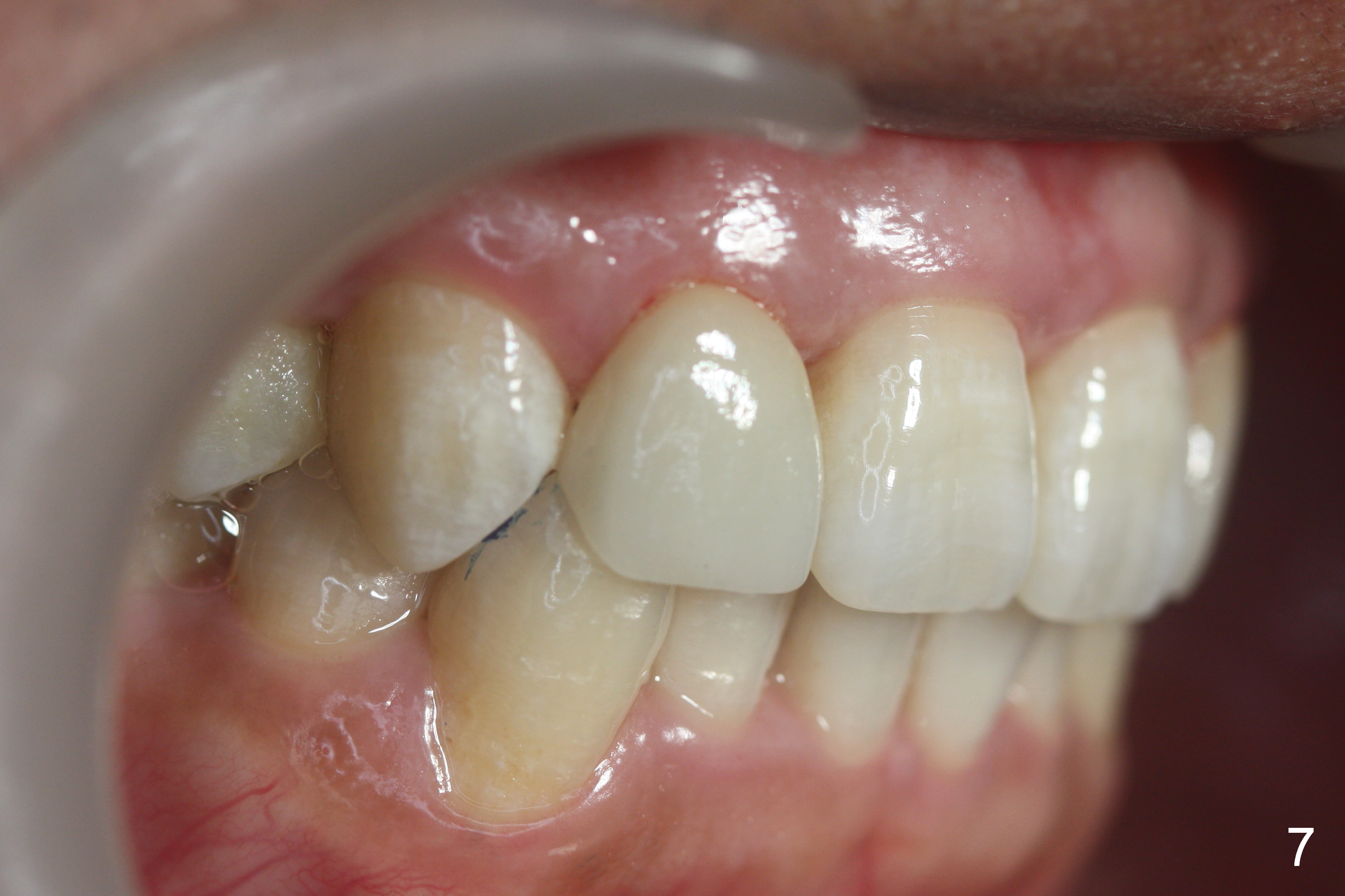
Fig.7,8: Immediately post cementation.
Return to
Technicians
Xin Wei, DDS, PhD, MS 1st edition 06/26/2016, last revision 07/12/2016