![]() |
![]() |
![]() |
![]() |
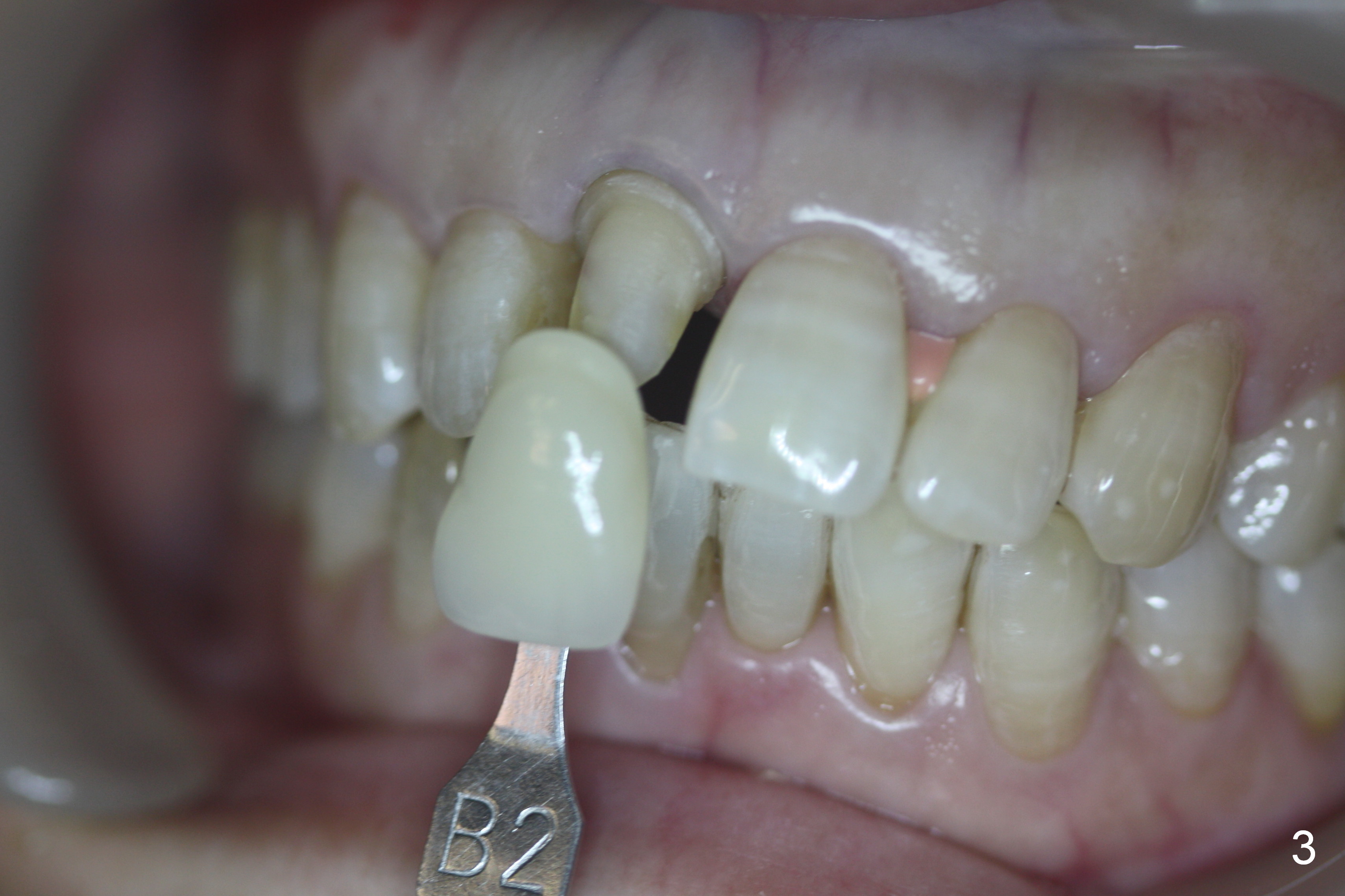
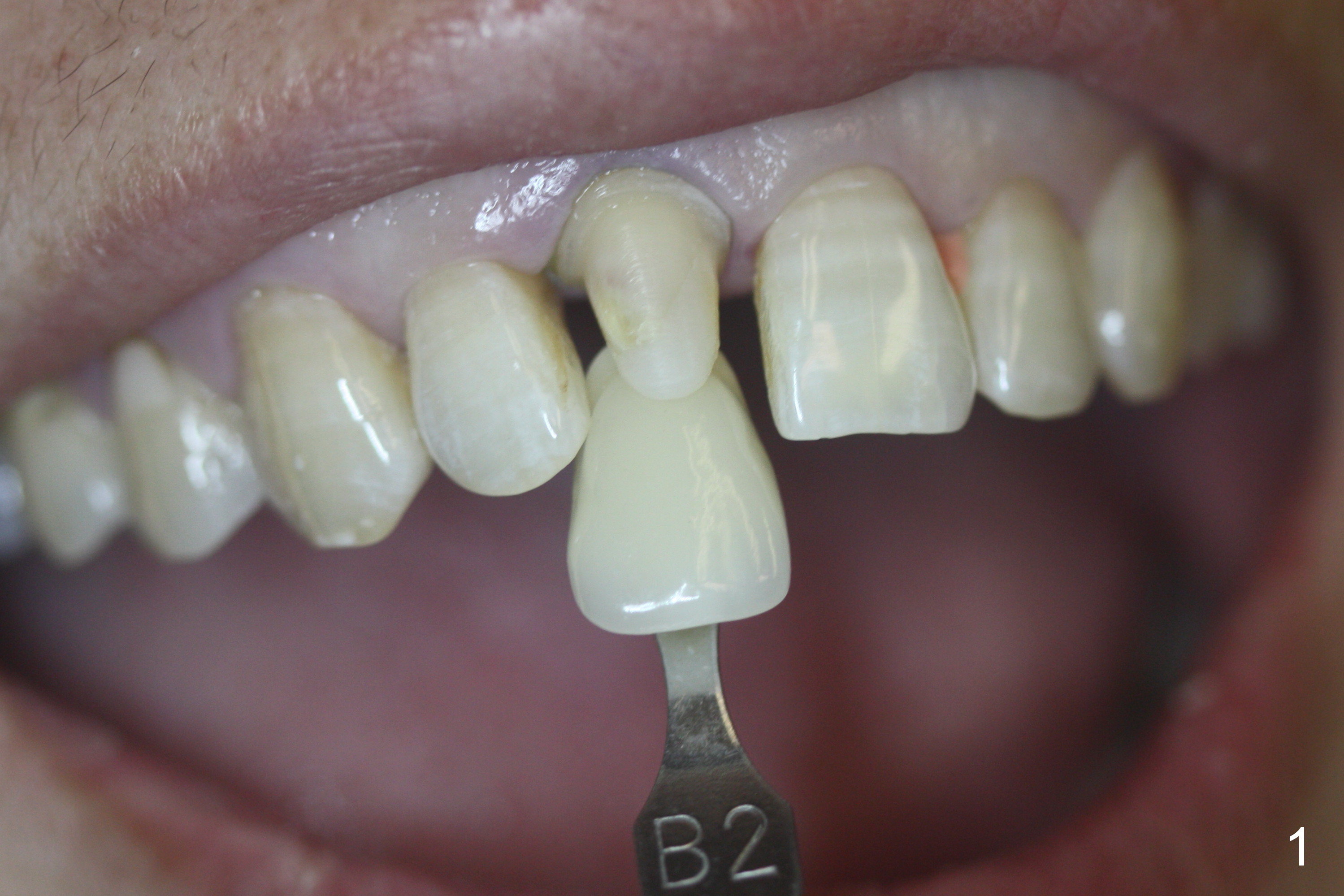
Shades for Mrs. Tang's Fractured Central
A 50-year-old woman fractured the upper right central incisor on fall in the ground. Crown is prepared after composite build up. Please paint stripes in the crown.
Return to
Technicians
Xin Wei, DDS, PhD, MS 1st edition 04/05/2016, last revision 04/05/2016